
支援総額
目標金額 230,000円
- 支援者
- 51人
- 募集終了日
- 2023年1月16日
【残り日数・6日になりました】近況報告
写真・皆様にご心配おかけしています
12月に突然現れた怪我猫ちゃん
「おちいちゃん」です。
【2023年1月9日・成人の日】
新成人おめでとうございます
これからもご活躍を心よりお祈り申し上げます
₍写真・みけこさん)
ご支援・拡散等ご協力をいただいております皆様
本当にありがとうございます。心強い日々を新年も過ごしています。
クラファン挑戦期間は残り少なくなりましたが
猫達等々に温かい見守りをいただけますと幸いです。
【修繕修理の報告】
猫ちゃん騒動で慌ただしく、
肝心のファンディング内容の状況報告が遅れました。
本文にも記載しましたが老朽化に伴い雨漏り等々で、
漏電の恐れなどもありましたので
昨年の被害直後から至急に修繕修理を行いました。
(修繕後は幸い大雨が無いので未知ではありますが)
ホースで放水確認では漏れも無く、
昨年12月に完了です。
・屋根周辺工事の様子は(台風被害の転倒物で落下と漏電の恐れの為)
最新情報画面「11月・12月近況報告」に記載しました。



![]()
(雨漏り修繕/内装工事の様子)

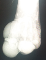
【12月保護猫近況・おちいちゃん】
前足の違和感は「遺伝性骨形成異常症」です。

12月の捕獲保護直後は、
かかりつけ獣医が急病で緊急休診で、Σ(゚Д゚)
セカンドオピニオンに診察治療を受けました。
現在、傷はかなり回復しています。

違和感の足は『遺伝性骨形成異常症』で
傷になった箇所は怪我をしたと言うよりも
急な野外でアクシデントなどの衝撃や、酷使でも痛みが伴い
頻繫に舌で舐めたので化膿していたのではないかと診断です。
(当方に至るまでの経緯が不明ですので状態での判断です)
野外生活はかなりのリスクで完治は出来ない困難な病。
かかりつけ獣医とセカンドオピニオンは
双方ベテランの獣医で二人が同様の見解でした。
生活ペースにも慣れて、かなり「おきゃんでお茶目」((笑))
「安心してゆっくりと過ごしておくれ~」(心の叫び)
治療等々も病と上手く付き合いながらで行いますので
懸命で生きる無邪気で元気な「おちい」をお見守り下さい。
リターン
1,000円+システム利用料

【1000円】感謝メール
感謝のメールを送ります。
- 申込数
- 22
- 在庫数
- 制限なし
- 発送完了予定月
- 2023年1月
3,000円+システム利用料

【3000円】感謝メール
感謝メールを送ります。
- 申込数
- 13
- 在庫数
- 制限なし
- 発送完了予定月
- 2023年2月
1,000円+システム利用料

【1000円】感謝メール
感謝のメールを送ります。
- 申込数
- 22
- 在庫数
- 制限なし
- 発送完了予定月
- 2023年1月
3,000円+システム利用料

【3000円】感謝メール
感謝メールを送ります。
- 申込数
- 13
- 在庫数
- 制限なし
- 発送完了予定月
- 2023年2月

救う命を選ばない。どんな犬猫も保護し続け福岡の里親さんを増やしたい
#動物
- 現在
- 3,156,000円
- 支援者
- 296人
- 残り
- 1日

老病ねこたちが最後まで安心して過ごせるおうちを守っていきたい!
- 現在
- 1,980,000円
- 支援者
- 155人
- 残り
- 8日

行き場のない猫たちに幸せな明日を届けたい。保護猫たちの医療費支援を
- 現在
- 1,774,000円
- 支援者
- 138人
- 残り
- 29日

絶滅の危機に瀕しているシマアオジ 彼らのいる景色を取り戻したい
#国際協力
- 現在
- 4,301,900円
- 寄付者
- 365人
- 残り
- 4時間

置き去りにされた猫に手術を行いたい
- 現在
- 366,000円
- 支援者
- 63人
- 残り
- 3日

ごかつら池どうぶつパーク|命を守り、次世代へ繋ぐ小さな動物園の挑戦
- 現在
- 5,672,000円
- 支援者
- 352人
- 残り
- 36日

済生会川口乳児院|子どもたちに安心と愛を。46年ぶり施設建て替えへ
- 現在
- 13,242,000円
- 寄付者
- 670人
- 残り
- 22日












