
支援総額
目標金額 1,500,000円
- 支援者
- 215人
- 募集終了日
- 2023年3月15日

ANGELSサポーター募集中|シニア犬・猫たちにも温かく輝く未来を
#動物
- 総計
- 23人

行き場のない猫たちに幸せな明日を届けたい。保護猫たちの医療費支援を
#動物
- 現在
- 1,755,000円
- 支援者
- 134人
- 残り
- 29日

出会った命を守りたい!マンスリーサポーター募集中!
#動物
- 総計
- 160人

マンスリーサポーター募集中|引退馬たちに素晴らしい余生を
#動物
- 総計
- 35人

JWCサポーター大募集中!傷付いた野生動物を救いたい
#子ども・教育
- 総計
- 253人

にゃんこのしっぽサポーター募集★石垣島の捨てられた猫たちに治療を!
#動物
- 総計
- 124人

11年目のNPO法人高齢猫が増え、活動資金のご支援をお願いしたい
#まちづくり
- 総計
- 51人
プロジェクト本文
終了報告を読む
2月14日追記
2月9日に、小麦が亡くなりましたので、皆様にお知らせいたします。
沢山の皆様から温かいご支援と応援して頂き、小麦もリスクの高い大手術を頑張って奇跡を起こしてくれたと喜んでおりましたが手術翌日、容態が急変し力尽きてしまいました。本当に残念でなりませんが、このプロジェクトを立ち上げ小麦が人の温もりや有難みを命懸けで教えてくれた大事な証を無駄にせず目標達成まで頑張りたいと思っておりますので、引き続き温かいご支援を頂けますよう何卒よろしくお願い致します。
昨日は小麦の葬儀を執り行いました。
朝から降り続く雨で小麦が嘆いているようでした。。。
今度は元気な身体に生まれ変わって、また私の所に来て欲しい事と今までの感謝を込めてお別れしてきました。とても良い葬式でした。皆様に可愛がって頂き小麦は本当に幸せな子だったと思います。

公開時に記載の通り、いただいたご支援金は全て、手術費用およびこれまでの検査費、治療費として使わせて頂きます。大変恐縮ですが支援金の返還は致しかねますのでご理解の程、宜しくお願い致します。
|SNSも是非ご覧ください
TikTok:
Instagram:https://www.instagram.com/koyuki_tomtom/
Twitter:https://twitter.com/masaue321?s=20&t=VHY7Nb2e9FFWB68NdHK8BQ
自己紹介
はじめまして。
広島県在住の上土優恵と申します。私は犬が大好きで現在12歳になるミックス犬の小雪♀と、1歳半になるヨークシャテリアの小麦♂を飼っております。
性格はとてもヤンチャで甘えん坊でヤキモチ妬きで私を独占したがります。好きなオモチャはパフパフ鳴る卵の形をしたオモチャ。高速でパフパフ鳴らすのが得意です。
小麦は友人のブリーダーから購入しました。生後50日でわずか350g レアカラーのチョコタンは以前から飼いたかったので一目惚れでした。同じ日に産まれた兄弟とは思えないくらい大きさが違います。(下の画像の)右のチョコレート色の子が小麦です。
心臓疾患があっても、母体にいる間は母親から栄養を貰ってるので発育に影響は無いのですが産まれた瞬間から心臓に負担がかかる為、成長が遅いそうです。男の子ばかりの3人兄弟の長男として産まれた小麦。
産まれた頃は他の兄弟と同じくらいの大きさでした
お姉ちゃん小雪はヤンチャで構ってちゃんの小麦が苦手みたいです。
投げて欲しいと何度も咥えて持ってきます。投げてやると走って取りに行ってエンドレスです。また、暑がりの寒がりで、特に寒さに非常に弱くすぐお腹を壊してしまうので服を着させています。気温の変化には気を付けています。そして生まれつき声帯が潰れてワンワンと吠える事ができず、小鳥のような鳴き声です。心臓が悪いせいかチョコタン特有のチョコレート色の部分が早くも抜け、シルバー色になっています。寝る時はいつも一緒で私の足元にピッタリくっついてきます。
プロジェクトを立ち上げたきっかけ
小麦の肺動脈弁狭窄症の手術をして、また元気にオモチャで遊んで走り回るようになって欲しい。そして散歩デビューもして上げたい。
小麦が我が家に来てすぐH動物病院に行った時に聴診器で「心臓から雑音がして穴が空いている」と言われました。検査はされなかったのですが大学病院を紹介しましょうか?と言われ驚きました。まだ小さいから穴が塞がる事もありますので様子を見られても良いですよと。
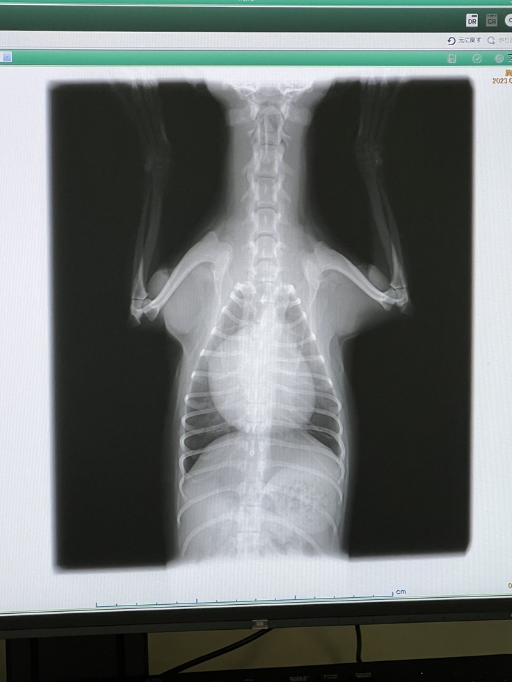
見た目は元気な小麦でしたが心配になり、H動物病院には検査設備が無いようでしたのでA動物病院に行きエコー検査をして頂きました。検査結果は心房中隔欠損と重度の肺動脈弁狭窄症でした。
全身を流れてきた血液は心臓の右心房へ蓄積され、そこから心臓の収縮や拡張によって右心室→肺動脈→肺へと流れます。肺動脈には血液の逆流を防ぐ肺動脈弁が存在し、この弁が生まれつき狭くなってしまっている状態を肺動脈弁狭窄症といいます。
肺動脈弁狭窄症は狭窄が発生する位置により、弁より下(弁下部)、弁部(弁性)、弁より上(弁上部)の3つに分類されます。肺動脈弁が狭くなると血液が流れにくくなり、右心室が頑張って肺へと送り出そうとします。そうなると持続的に右心室には圧負荷がかかるため、右心室の筋肉が分厚くなります(心筋の肥大といいます)。
また、狭くなった肺動脈を流れる血液のスピードはとても速くなるため、肺動脈にも負担がかかり肺動脈の拡張を引き起こします(狭窄後拡張といいます)。狭窄病変が重度であり、長期間に渡って心臓に負荷がかかると結果として心不全を起こし、呼吸が苦しくなったり、お腹に水が貯留してしまいます。
引用 ぬのかわ犬猫動物病院
肺動脈の血流速度(1秒間に流れる速さ)
軽度 350cm/秒未満
中等度 350〜450cm/秒
重度 450cm/秒以上
小麦の血流速度は501.2cm/秒で重度でした。。。
A動物病院の先生に体重もまだ500gしかなく開胸手術が必要となり、横浜にある大きなJ動物病院しか手術できないと言われ費用も300万くらいかかると説明されました。このまま手術をしなければ持って一年と言われ凄いショックでした。。。
そんな大金も無く、ペット保険を検討しましたが既に病気にかかっている場合は申込できず手術は諦めてお薬で何とか先生にお願いしました。ですが、見た目は元気なので信じられず友人に相談したらM動物病院の先生なら見立てが違うかもしれないと紹介して貰いセカンドオピニオンを受けてみました。
M動物病院の先生
ここまで悪い子は珍しい、先天性の疾患だし購入した所(ブリーダー)へ返却しても良いレベルです。動物全てに共通して言える事ですがレアカラーというのは染色体の異常で障害を持って産まれてくるのであって珍しいからといって飼うべきではないんですよ。だからこんな弱い子が産まれるんです。
うちの病院では心臓のお薬もありませんし、そちらの病院の診断で間違いありませんので、そちらで診て貰って下さい。手術を受けるのであれば大阪にも病院がありますので紹介しますよ。
このまま飼われるのであれば散歩は行かない方が良いのと、同じくらいの歳(兄弟が1番良いと)の子と一緒にして上げてストレスを与えないような静かな環境で育てて上げる方が良いですと。。。
小麦はもう大事な家族なので返却なんて考えた事もありませんし出来ません!!
涙が止まりませんでした…
2週間に一度の定期的な通院とお薬のお陰で安定して元気な小麦でしたが、A動物病院は事情があり行きずらくなってしまったので2022年6月から元のH動物病院に戻りました。エコー検査の写真や病名も先生に伝えましたが、同じ薬を出すわけには行かないのでと言われました。その後、H動物病院に変わってからは一度も検査がなく、小麦が怒って興奮するとフラフラと倒れるようになりました。
段々と倒れる頻度も高くなり心配になってきましたので、他の病院に行った方が良いと思い、評判の良かったP動物病院に行くと、「この薬(H動物病院で処方されたお薬)は合っていないと思うし、私がいつも紹介させて貰ってる心臓専門のB動物病院があります。徐脈も気になるので1日も早く連れて行って上げて下さい」と言われ、その日の午後、広島市内にあるB動物病院に行きました。
B動物病院の先生
このお薬(H動物病院処方)は狭心症のお薬です。Bブロッカーは心臓に負担がかからないよう脈をゆっくり動かすお薬。狭心症のお薬は分かりやすく言えば心臓にムチを打って強引に動かして肺動脈弁狭窄症を悪化させてしまうお薬でBブロッカーとは真逆のお薬です。病院を変えたのは不味かったですねと。。。
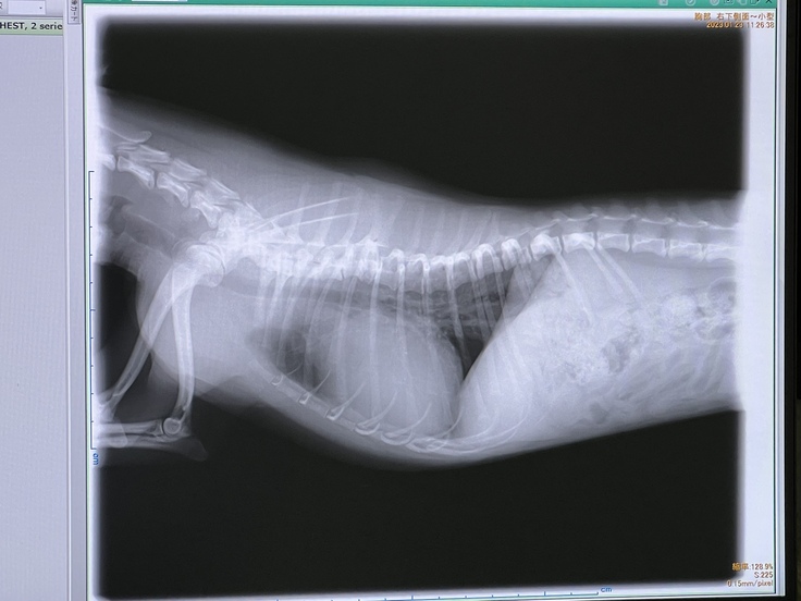
小麦に申し訳ない気持ちで一杯になりました。突然の来院でしたが血液検査、エコー検査、心電図、レントゲン検査をして頂けました。
B動物病院の先生
肺動脈弁狭窄血流は748cm/秒と数値にありウチの検査機械は割と良い機械なのですが、はみ出して画像が途中で切れてます。おそらく800cm/秒くらいあり、こんなに悪いと倒れて当たり前です。ですが心房中隔欠損ではなく徐脈もありません。もし心房中隔欠損もあれば既に亡くなっていると思われますと。

素人の私でもハッキリ分かるくらいレントゲンに写った心臓もかなり肥大しており早期の手術を勧められました。このままだと三尖弁まで影響が出て腹水が溜まり呼吸困難になりやがて死に至ります。今飲ませているお薬はすぐ止めて下さいと。
真逆のお薬をすぐ与えてしまうと心臓に負担がかかりますので1週間休ませてから与えて下さい、慣れるまでは元気が無いと思います。名古屋にあるC動物病院が良いので手術をお考えでしたら私から紹介させて頂きますし手術日には私も立ち会います。
手術費用は150万くらいで精密検査は別途かかります。次は4週間後にいらして下さい。手術をするのかしないのか、その間にご家族とよく話し合って決めてきて下さい。大体、この手術は一歳になるまでにする手術なのですが、まだ大丈夫だと思います。でも半年後となると難しいですね…心臓は筋肉でできてますし既に肥大してるので筋肉が段々と硬くなってしまいます。柔らかい内に手術をしないといけないんです。なるべく早く手術をして上げる方が良いですし、お薬で治る病気では無いので手術しかありませんと。
令和5年1月12日 深夜
小麦が小雪にヤキモチを妬いて興奮して噛んでしまい、気付くと頭から足先までピンと伸びて舌もダラっと出た状態で倒れていました。名前を呼んでもゆすってもピクリともしないので心肺停止だと思い私なりに心臓マッサージと人工呼吸を繰り返し2分間くらいで意識が戻りました…もうダメかと思ったのですが助かり良かったです。意識が戻っても本当に辛そうでした。
小麦には時間が無いと思い焦りました。「まだまだ小麦と一緒に居たい」と強く思い、手術を決心し翌日B動物病院へ電話し名古屋のC動物病院へ紹介状を書いて頂きました。
1月23日、名古屋のC動物病院にて検査をして頂き間違いなく肺動脈弁狭窄症である事と手術適応。
心臓を止めて人工心肺を使った手術で正午12時から16時の4時間の手術である事と10日間の入院になりますと。レントゲンで心臓がかなり肥大しているのが分かります。
手術は狭窄している肺動脈弁を根本から切り取り、切り取った所を牛の膜で覆うと言われました100%良くなる種ではなく弁としての機能は無くなり押し出した血液が逆流して戻ってしまうのですが狭いより全然良いので寿命も伸びると思いますと。
高額な治療費の為、情けないのですが自力で助けて上げる事が困難な為色々と調べていましたら
偶然こちらのREADYFOR様を拝見し、とても感銘を受けプロジェクトを立ち上げさせて頂きました。
勝手ではございますが皆様の温かいご支援で小麦を助けてやって下さい❗️❗️
宜しくお願い致しますm(_ _)m
散歩をした事がない小麦ですが、手術をして元気になったら散歩デビューしたいです。
いただいたご支援の使い道
肺動脈弁狭窄症の手術を地元の病院でして頂ける所は無く、名古屋にあるC動物病院で早期の開胸手術と10日間の入院をすることになりました。
小麦には時間がありません。。。
なかなか手術の予約が取れない病院でしたが運良く手術日は最短の2月8日が空いていたので決めさせて頂きました。


高額な治療費の為、2週間前の振込になります。とても急でしたが何とか貸して頂ける方にご協力を頂き、全額振り込む事が出来ました。
【資金使途】
■C動物病院 開心術 税込154万円(手術、検査、薬剤、入院10日間を全て含む)
※体調不良により追加で入院した場合は、別途日額22,000円
■手術前精密検査費用 税込37,950円(血液検査、胸部レントゲン検査、心臓超音波検査、心電図検査、血圧検査、結果報告書付)
■交通費 広島⇄名古屋 3往復分 83,220円(27,740×3=83,220)
①精密検査と手術日を決める為
②手術と入院の為
③退院、お迎えの為
■READYFOR手数料 17% 255,000円
■早期入金オプション 45,000円
■消費税
上記の必要金額「約200万円」と、今回集める目標金額「150万円」との差額は自己資金で補填させていただきます。
ご支援を頂いた皆様にはリターンとして元気になった小麦の姿や術後の様子などこちらやメールでご報告をさせて頂ければ幸いです。大したリターンが出来ず大変申し訳ないのですが宜しくお願い致します。
万が一、小麦が亡くなってしまった場合、手術費用およびこれまでの検査費、治療費として使わせて頂きます。大変恐縮ですが支援金の返還は致しかねますのでご理解の程、宜しくお願い致します。
皆様の温かいご支援をどうか宜しくお願い致します。
最後に
レントゲン検査で分かったのですが背骨の一部に奇形があり年齢を重ねると脚に影響が出ると言われています。その時は自分で助けて上げれたら良いなと思っています。
本当に高額な費用の為、無理なお願いだと承知していますが皆様の温かいご支援をお願い致します。
ご支援を頂いた費用は手術代や治療費に当て、もしご支援金が目標金額より上回った場合は今後に掛かる治療費にあてさせて頂きます。
つたない文章でしたが、最後までお読み頂きありがとうございます。
<ご支援にあたっての注意事項>
▶︎ 1. ペット保険について
①ペット保険による補償の有無:無
▶︎ 2. 万が一の場合の代替の資金使途について
万が一、小麦が亡くなってしまった場合、手術費用およびこれまでの検査費、治療費として使わせて頂きます。大変恐縮ですが支援金の返還は致しかねますのでご理解の程、宜しくお願い致します。
▶︎ 3. 問い合わせ先について
本クラウドファンディングに関するお問合せは以下までご連絡ください。
連絡先:masaue321_0606@yahoo.co.jp
▶︎ 4. 掲載している資料について
ページ上に掲載している画像、診療明細書などの資料は全て動物病院から掲載の許諾を得ております。
▶︎ 5. 治療方針などが変更になった場合について
プロジェクト実施完了までの間に、治療方針や治療の要否に変更が生じた場合、支援者の皆様、READYFOR事務局に速やかにお伝えします。
▶︎ 6. READYFOR事務局からのご連絡
ペットの治療費用を集めるクラウドファンディングに関しては、以下のガイドラインもご確認ください。
【ペットの治療費用を集めるクラウドファンディングに関する当社の考え】
https://legal.readyfor.jp/guidelines/launching_project/pet_care/
- プロジェクト実行責任者:
- 上土優恵
- プロジェクト実施完了日:
- 2023年2月18日
プロジェクト概要と集めた資金の使途
名古屋にある動物病院で愛犬小麦の開胸手術と10日間の入院をします。いただいたご支援はすべて手術・治療・通院のための交通費として使わせていただきます。
リスク&チャレンジ
- プロジェクトに必要な金額と目標金額の差額について
- 必要金額と目標金額の差額は自己資金にて補填いたします。
あなたのシェアでプロジェクトをさらに応援しよう!
プロフィール
Instagram koyuki_tomtom Twitter @masaue321
あなたのシェアでプロジェクトをさらに応援しよう!
リターン
1,000円+システム利用料

全力応援1,000円コース(リターンなし)
ご支援ありがとうございます。いただいたご支援金は大切に使わせていただきます。
※おひとり様何口でもご支援いただけます。
- 申込数
- 20
- 在庫数
- 制限なし
- 発送完了予定月
- 2023年5月
3,000円+システム利用料

全力応援コース(リターンなし)
ご支援ありがとうございます。いただいたご支援金は大切に使わせていただきます。
※おひとり様何口でもご支援いただけます。
- 申込数
- 74
- 在庫数
- 制限なし
- 発送完了予定月
- 2023年5月
1,000円+システム利用料

全力応援1,000円コース(リターンなし)
ご支援ありがとうございます。いただいたご支援金は大切に使わせていただきます。
※おひとり様何口でもご支援いただけます。
- 申込数
- 20
- 在庫数
- 制限なし
- 発送完了予定月
- 2023年5月
3,000円+システム利用料

全力応援コース(リターンなし)
ご支援ありがとうございます。いただいたご支援金は大切に使わせていただきます。
※おひとり様何口でもご支援いただけます。
- 申込数
- 74
- 在庫数
- 制限なし
- 発送完了予定月
- 2023年5月
プロフィール
Instagram koyuki_tomtom Twitter @masaue321










