
支援総額
目標金額 1,100,000円
- 支援者
- 100人
- 募集終了日
- 2024年11月17日
10月27日ハニーの様子とかかりつけ受診
ハニー夜中2時半頃に起き上がろうとし、トイレ介助したらおしっこできた!!
お薬飲ませられてないので、まだ血尿が出てる。。。
朝8時おトイレに起き上がるが中々できず
外に出してあげるとおしっこだけできた。
やっぱり朝ごはんは食べない…
ずっとぼーっとしてる感じ…
昨日お薬はのませられず
(プリンペラン、アンブロキソール、テオドール、プレドニン、セファセプチン1回分)
朝にヨーグルトで無理やり口に入れて飲ませた…かわいそうで泣けた😢
その後もぐったり。。。
食べないし薬も飲めず、水分もほとんど取れていないので、またかかりつけを受診した。

40度以上の発熱あり。
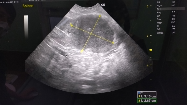
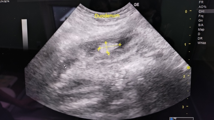
腎盂腎炎疑い一昨日の採血では腎臓肝臓の数値は問題ないので、可能性としては低いが、エコーで見ると拡張してくるので確認。エコー所見で腎盂腎炎はなし。
ステロイドによる易感染性
エヌセイズ(非ステロイド性抗炎症薬)→腎臓代謝の薬
ステロイド→肝臓代謝の薬
ステロイドをエヌセイズに変えてみるか?という話になったが、腸のリンパ管粘膜拡張が全体的にあるので、ステロイドを継続することに。
今回は、注射で2週間効く抗生剤を打つ
セファセプチン(内服の抗生剤)は休薬でいい。
今はトラマールで過鎮静の可能性は高い(フェンタニルパッチと併用で濃度も高くなっているので24時間以上は効いてしまうと思う)
→トラマールの内服はやめる
昨年の肺炎治療→抗生剤はクラバセプチン
今回はセパレプチン という抗生剤を使用する
消化管拡張は、塩分と脂肪分は控える オリーブオイルとか、肉・魚の脂身とか良くない
うんち出ていない→食べれてないから出ない可能性高い
肺に転移はほぼ確定…影あり。角度によっては見えないけど、、、
喉の辺りポコポコした音は喉の痰が絡んでいる可能性が高い。
肺炎はなし。

腹水がまた溜まってる。
エコーの白みはそこまで強くはないが、また腹膜炎が起きている可能性が高い。
腹膜炎と膀胱炎の炎症により発熱した可能性が高い。






抗生剤の注射で様子見ていく。
これで良くなかったらもう1種類抗菌剤を追加して打つ方向で。

今回食欲ないのは過鎮静と発熱とか色々が重なったからの可能性高い。
ハニーの舌が自分で動くようなら流動食を強制給餌するのはオッケー
舌が動かないと誤嚥や詰まる可能性もあるから無理に与えないようにする。
帰宅する頃に少し頭が上がりぐったりは改善されてきた。

帰宅後、15時半おしっこと💩できた!!!
💩は下痢気味。黄色みが強い!!
朝の食べなかったカンガルー肉、豚肉、鮭を食べられた!!
おやつ、牛ラング、鶏ささみ、砂肝、アジなどたべれた!
お水を側に持っていったら自分で飲んでくれた!10ミリくらいかな?
おしっこをまた18時半くらいにできた!
19時半頃にカリカリふやかし、カンガルー肉豚肉鶏むね肉をまぜたやつ食べれた。カリカリは10グラムくらいしか食べれなかった。
その後、自分で20時、20時半、20時45分くらいにお水飲んでくれた🥹嬉しい!!

23時頃に点滴処置した。
麻酔の過鎮静は少し緩和されてきたかな?
リターン
1,000円+システム利用料

ハニーの応援1
☆写真を添えて感謝のメッセージをメールもしくはインスタグラムのDMにてお送りさせていただきます。
☆近況をインスタグラムで報告させていただきます。
- 申込数
- 48
- 在庫数
- 制限なし
- 発送完了予定月
- 2024年12月
3,000円+システム利用料

ハニー応援2
☆写真を添えて感謝のメッセージをメールもしくはインスタグラムのDMにてお送りさせていただきます。
☆近況をインスタグラムで報告させていただきます。
- 申込数
- 34
- 在庫数
- 制限なし
- 発送完了予定月
- 2024年12月
1,000円+システム利用料

ハニーの応援1
☆写真を添えて感謝のメッセージをメールもしくはインスタグラムのDMにてお送りさせていただきます。
☆近況をインスタグラムで報告させていただきます。
- 申込数
- 48
- 在庫数
- 制限なし
- 発送完了予定月
- 2024年12月
3,000円+システム利用料

ハニー応援2
☆写真を添えて感謝のメッセージをメールもしくはインスタグラムのDMにてお送りさせていただきます。
☆近況をインスタグラムで報告させていただきます。
- 申込数
- 34
- 在庫数
- 制限なし
- 発送完了予定月
- 2024年12月

ジジを助けたいです。元野良猫ジジのFIP治療費のお願い。
- 現在
- 507,000円
- 支援者
- 89人
- 残り
- 4日

救う命を選ばない。どんな犬猫も保護し続け福岡の里親さんを増やしたい
#動物
- 現在
- 3,189,000円
- 支援者
- 300人
- 残り
- 1日

猫伝染性腹膜炎を患ったポンちゃんの明日をつないで頂けないでしょうか
- 現在
- 193,000円
- 支援者
- 44人
- 残り
- 1日

老病ねこたちが最後まで安心して過ごせるおうちを守っていきたい!
- 現在
- 2,026,000円
- 支援者
- 159人
- 残り
- 8日

【発症率2%の難病】まめお(♂)を難病「門脈シャント」から救いたい
- 現在
- 805,000円
- 支援者
- 117人
- 残り
- 7日

入院する子どもたちを笑顔に!ファシリティドッグ育成基金2025
#子ども・教育
- 現在
- 7,035,000円
- 支援者
- 567人
- 残り
- 25日

行き場のない猫たちに幸せな明日を届けたい。保護猫たちの医療費支援を
- 現在
- 1,784,000円
- 支援者
- 139人
- 残り
- 29日










