
支援総額
目標金額 280,000円
- 支援者
- 54人
- 残り
- 30日
応援コメント
プロジェクト本文
※プロジェクトページには一部、動物がケガをしている画像等センシティブな内容が含まれています。
▼自己紹介
はじめまして。橋本と申します。
数あるプロジェクトの中から、私のページをご覧いただきありがとうございます。
私は以前から、地域の野良猫を対象にTNR活動(捕獲・不妊手術・元の場所にリターン)を行っています。
これまでにも、保護が必要な子猫や、人馴れしすぎて虐待の恐れがある成猫の保護・譲渡を数件行ってきました。
※保護猫ボランティア仲間である望月さんに今回のプロジェクトの事務サポートをお願いしております。そのため「管理者:望月」の登録になっております。
▼プロジェクトを立ち上げたきっかけ
交通事故に遭い、地を這うように動いていた野良猫「ミケコちゃん」を保護し、その入院・検査・手術費用を募るためにこのプロジェクトを立ち上げました。
【これまでの経緯】
◆10月3日
TNRエリアの見回り中に、新顔の三毛猫を発見しました。
痩せていたため、給餌担当の方にご飯を多めに与えてもらい、体重が増えた頃に避妊手術(TNR)をすることにしました。
この子を「ミケコちゃん」と名付けました。
◆10月16日
通勤途中の道端で、私は信じられない光景を目にしました。道路の片隅で、1匹の猫が地を這うように動いていたのです。
その子は、先日出会った野良猫…「ミケコちゃん」でした。
明らかに事故に遭った様子で、体を引きずりながら必死に動いていました。
「すぐに病院に連れて行かなければ」動揺する気持ちを落ち着かせ、すぐに自宅へ戻って網と捕獲器、タオルを用意。
再び現場に駆けつけると、ミケコちゃんは人目につかない暗がりに身を潜め、うずくまっていました。
慎重に捕獲し、そのまま動物病院へ直行。
ミケコちゃんは入院しました。
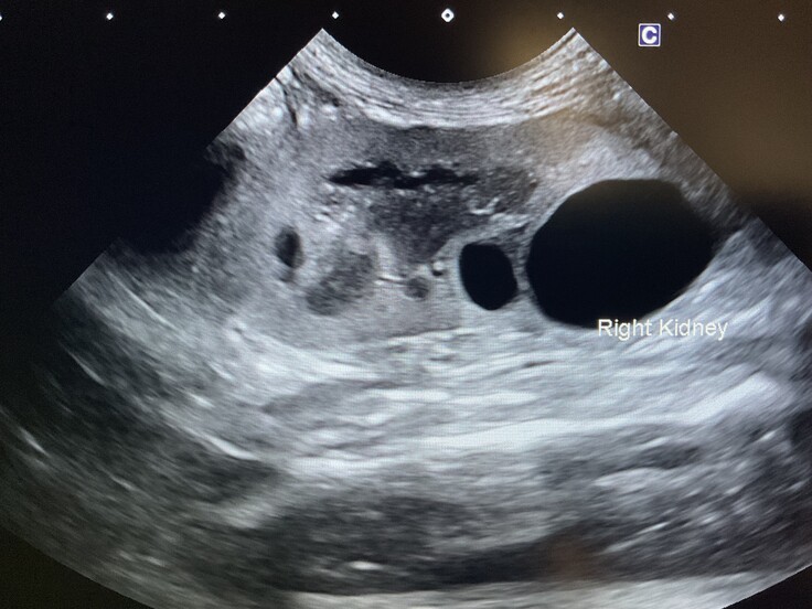
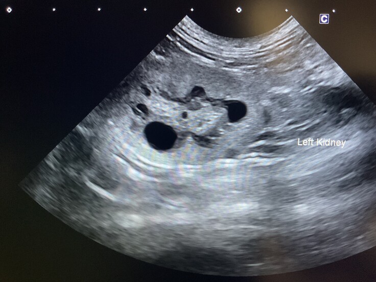
※病院での検査結果
・推定年齢:10歳
・骨盤骨折
・両腎嚢胞
・貧血、低アルブミン、白血球数上昇
・重度のノミ感染
・歯周病、歯石
・エイズ白血病:陰性
夜間にミケコちゃんを見ていたため分かりませんでしたが、左耳に小さな耳カットがあり、避妊手術済であることが判明しました。また、愛護センターに確認したところ、該当する迷子届けは出ていませんでした。
◆10月17日
骨盤骨折の手術を実施。
◆10月29日
退院(抜糸済)
退院後、ミケコちゃんは私が引き取り、療養中です。
診断結果から、今後も腎臓や口腔の治療が必要になる見込みです。
高齢であることや持病の点から、里親募集は難しい状況であり、ミケコちゃんの終生飼育費用も必要となります。
私はこれまで、TNRや子猫の保護をすべて自己資金で行ってきました。
しかし今回のような高額な医療費や緊急の保護は想定外で、正直、限界を超えての対応となっています。
それでも、目の前の命を見捨てることはできませんでした。
今回のプロジェクトでは、ミケコちゃんの入院・検査・手術費のご支援をお願いしたいと思います。
もし目標金額を超えるご支援をいただけた場合は、今後の飼育費・追加治療費に充てさせていただきます。
お外で懸命に生き抜いてきたミケコちゃんが、これからは安全な室内で日向ぼっこをしながら穏やかに過ごせるよう、どうか皆さまのお力をお貸しください。
▼プロジェクトの内容
①資金の使途
今までの入院検査手術費に充てます。
②目標金額と資金の内訳
目標金額:280,000円
(資金の内訳)
今までの治療費:242,638円
クラウドファンディング手数料:39,200円
税:3,920円
③集める資金を使用しての治療期間
令和7年10月16日〜令和7年10月29日
※治療内容や治療費、治療期間は動物病院の確認が取れています。
▼プロジェクトの展望・ビジョン
治療後は、私が引き取り、お世話します。
状態が安定すれば里親募集も検討しますが、骨折の回復具合や年齢・腎臓の状態などを考えると、難しい状況が想定されます。
そのため、目標金額を超えたご支援については、ミケコちゃんの今後の治療費・飼育費として大切に使わせていただきます。
<ご支援にあたっての注意事項>
▶︎1. ペット保険について
①ペット保険による補償の有無:無
▶︎ 2. 万が一の場合の代替の資金使途について
万が一、ミケコちゃんが亡くなってしまった場合、いただいた支援金については、返金はせずこれまでの治療費に充てさせていただきます。
▶︎ 3. 問い合わせ先について
本クラウドファンディングに関するお問合せは以下までご連絡ください。
連絡先:2uxo68cbq@gmail.com
▶︎ 4. 掲載している資料について
ページ上に掲載している診断書や診療明細書などの資料は全て動物病院から掲載の許諾を得ております。
▶︎ 5.治療方針などが変更になった場合について
プロジェクト実施完了までの間に、治療方針や治療の要否に変更が生じた場合、支援者の皆様、READYFOR事務局に速やかにお伝えします。
▶︎ 6.READYFOR事務局からのご連絡
ペットの治療費用を集めるクラウドファンディングに関しては、以下のガイドラインもご確認ください。ペットの治療費用を集めるクラウドファンディングに関する当社の考えhttps://legal.readyfor.jp/guidelines/launching_project/pet_care/
- プロジェクト実行責任者:
- 橋本玲梨
- プロジェクト実施完了日:
- 2025年12月31日
プロジェクト概要と集めた資金の使途
交通事故にあった野良猫「ミケコちゃん」を助けるプロジェクトです。集まった資金は入院検査手術費として使います。
あなたのシェアでプロジェクトをさらに応援しよう!
プロフィール
あなたのシェアでプロジェクトをさらに応援しよう!
リターン
1,000円+システム利用料

1000円支援コース
感謝のメールをお送りします。
- 申込数
- 22
- 在庫数
- 制限なし
- 発送完了予定月
- 2026年2月
3,000円+システム利用料

3000円支援コース
感謝のメールをお送りします。
- 申込数
- 13
- 在庫数
- 制限なし
- 発送完了予定月
- 2026年2月
5,000円+システム利用料

5000円支援コース
感謝のメールをお送りします。
- 申込数
- 7
- 在庫数
- 制限なし
- 発送完了予定月
- 2026年2月
10,000円+システム利用料

10000円支援コース
感謝のメールをお送りします。
- 申込数
- 15
- 在庫数
- 制限なし
- 発送完了予定月
- 2026年2月
20,000円+システム利用料

20000円支援コース
感謝のメールをお送りします。
- 申込数
- 1
- 在庫数
- 制限なし
- 発送完了予定月
- 2026年2月
プロフィール

置き去りにされた猫に手術を行いたい
#地域文化
- 現在
- 346,000円
- 支援者
- 58人
- 残り
- 3日

救う命を選ばない。どんな犬猫も保護し続け福岡の里親さんを増やしたい
#動物
- 現在
- 2,973,000円
- 支援者
- 281人
- 残り
- 1日

老病ねこたちが最後まで安心して過ごせるおうちを守っていきたい!
#医療・福祉
- 現在
- 1,893,000円
- 支援者
- 143人
- 残り
- 8日

命の危機が迫っています!僧帽弁閉鎖不全症・三尖弁閉鎖不全症
#医療・福祉
- 現在
- 736,000円
- 支援者
- 63人
- 残り
- 18日

42匹の保護猫達を助けて下さい‼️
#動物
- 現在
- 670,000円
- 支援者
- 96人
- 残り
- 3日

絶滅の危機に瀕しているシマアオジ 彼らのいる景色を取り戻したい
#国際協力
- 現在
- 4,166,400円
- 寄付者
- 343人
- 残り
- 23時間

行き場のない猫たちに幸せな明日を届けたい。保護猫たちの医療費支援を
#動物
- 現在
- 1,745,000円
- 支援者
- 133人
- 残り
- 29日













