
支援総額
751,000円
目標金額 750,000円
- 支援者
- 68人
- 募集終了日
- 2025年11月16日
https://readyfor.jp/projects/R70909?sns_share_token=&utm_source=pj_share_url&utm_medium=social
2025年11月01日 22:19
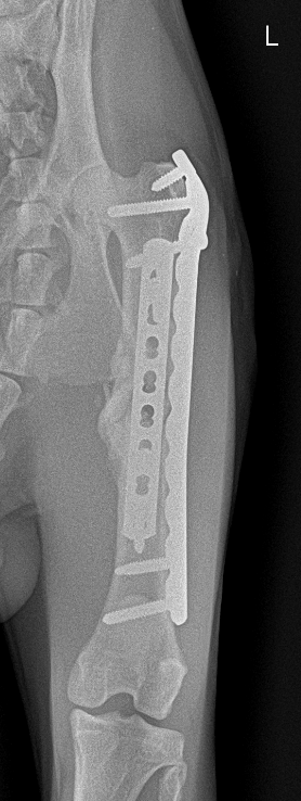
術後検診に行ってまいりました
術後1ヶ月がたった為、手術をしていただいた病院に検診に行ってまいりました。
結果としては、かなり順調に回復しているとのことです!!
回復が思っていたよりも早く、先生も驚かれておりました!
画像だと少しわかりにくいかもしれませんが、骨が癒着しぶらぶらだった状態からしっかりと固まってきております。
これまでにご支援いただいた皆様、誠にありがとうございます。
これからもどうぞハチとこのプロジェクトの応援をどうぞよろしくお願いいたします。
ご支援いただいた方々からアドバイスもいただいておりますが、
近日中にsnsを運用開始できればと思っておりますので、よろしければフォロー・拡散していただけますと大変うれしいです。
最後まで御覧いただきまして、誠にありがとうございました。
手術直後

術後1ヶ月

安静中のハチさん
リターン
1,000円+システム利用料

リターン1
感謝のメールを送らせていただきます
- 申込数
- 61
- 在庫数
- 制限なし
- 発送完了予定月
- 2026年1月
5,000円+システム利用料

リターン2
感謝のメールを送らせていただきます
- 申込数
- 18
- 在庫数
- 制限なし
- 発送完了予定月
- 2026年1月
1,000円+システム利用料

リターン1
感謝のメールを送らせていただきます
- 申込数
- 61
- 在庫数
- 制限なし
- 発送完了予定月
- 2026年1月
5,000円+システム利用料

リターン2
感謝のメールを送らせていただきます
- 申込数
- 18
- 在庫数
- 制限なし
- 発送完了予定月
- 2026年1月
1 ~ 1/ 7
このページを見た人はこんなプロジェクトもチェックしています
ノエルママ
チョロ飼い主
亜里沙
小原 颯太
青海
NPO法人くすのき 代表 那須美香
植山 咲希子

【尿管閉塞】愛猫ノエルくんに治療費のご支援をお願い致します。
120%
- 現在
- 576,000円
- 支援者
- 58人
- 残り
- 20時間

13年ケージに入れられていたチワワに手術を受けさせたい
40%
- 現在
- 447,000円
- 支援者
- 41人
- 残り
- 5日

遺されたニャンズにより良い生活環境を…
32%
- 現在
- 160,500円
- 支援者
- 26人
- 残り
- 9日

【3歳で2度の大手術】進行性脊髄軟化症 治療費ご支援のお願い
70%
- 現在
- 493,000円
- 支援者
- 68人
- 残り
- 4日

【僧帽弁閉鎖不全症】青海の手術費の支援をおねがいします。
48%
- 現在
- 587,000円
- 支援者
- 72人
- 残り
- 7日

行き場のない猫たちに幸せな明日を届けたい。保護猫たちの医療費支援を
59%
- 現在
- 2,364,000円
- 支援者
- 196人
- 残り
- 19日

FIP(猫伝染性腹膜炎)を発症した愛猫のぽちゃを助けたい
8%
- 現在
- 22,000円
- 支援者
- 5人
- 残り
- 12日











