
寄付総額
目標金額 4,000,000円
- 寄付者
- 125人
- 募集終了日
- 2025年11月13日

新たな命を守る1分がここにある。新生児専用救急車の更新にご支援を
#子ども・教育
- 現在
- 47,788,659円
- 寄付者
- 1,362人
- 残り
- 8日

11年目のNPO法人高齢猫が増え、活動資金のご支援をお願いしたい
#まちづくり
- 総計
- 51人

ひとつの心室で生きていく。フォンタン手術の患者をみんなで支援したい
#子ども・教育
- 現在
- 3,415,000円
- 寄付者
- 172人
- 残り
- 29日

五浦美術文化研究所|雨漏り進む有形文化財・長屋門に一刻も早い修繕を
#地域文化
- 現在
- 2,957,000円
- 寄付者
- 97人
- 残り
- 33日

命の危機が迫っています!僧帽弁閉鎖不全症・三尖弁閉鎖不全症
#医療・福祉
- 現在
- 736,000円
- 支援者
- 63人
- 残り
- 18日

【リトルワールド第二弾】「アイヌの家」を救い、伝統技術を未来へ
#地域文化
- 現在
- 4,170,000円
- 支援者
- 287人
- 残り
- 18日

【進行性脊髄軟化症】2度大手術をしたイブラへ、治療費ご支援のお願い
#医療・福祉
- 現在
- 221,000円
- 支援者
- 33人
- 残り
- 14日
プロジェクト本文
達成のお礼とネクストゴールについて
皆様の温かいご寄付のおかげで、開始から17日で第一目標としていた金額を達成することができました。現時点で80名もの方にご賛同いただき、たくさんの応援のコメントもいただきました。ご寄付、応援いただいた皆様に感謝申し上げます。
そして、残り30日間という期間がございますので、700万円を目標金額としてネクストゴールを設定させていただくことにしました。ネクストゴールまでのご寄付については、以下の用途に資金を充てさせていただきます。
-------------------------
<資金使途概要>
ネクストゴール 700万円(第一目標+300万円)
1.追加インプラントの購入
追加インプラントを購入し、在庫として所持することで、発注から納入までの期間、ワンちゃんやそのご家族をお待たせすることなく速やかに治療を開始していくことができると考えています。
2.パワーツール(コードレスの電動ドリルや電動鋸)の購入
現在の手術でも衛生管理は徹底しておりますが、新たに導入するコードレスタイプの機器は、コードによる物理的な制約を受けないため、清潔な環境をより維持することに繋がると考えています。
また、パワーツールが2台体制となることで、お待ちいただく時間を短縮し、これまで以上に迅速な治療が可能になることを期待しています。
-------------------------
追加でのご寄付のお願いということで厚かましいお願いとは存じますが、この機会に、より良い環境下にてこの手術を実施できる環境まで整えることができればと思っております。引き続き皆様の応援、情報拡散を賜れますと幸いです。頂いたご寄付は余すことなく治療に還元できるよう全力で取り組んでまいりますのでどうぞよろしくお願いいたします。
2025年10月14日 追記
井上 賀之
「もっと一緒に歩いていきたい」
- ご家族のそばで懸命に生きる動物たちの想いに応えたい -
本プロジェクトページをご覧いただきありがとうございます。宮崎大学農学部附属動物病院の井上賀之と申します。
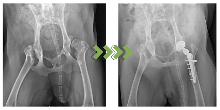
当院では、動物たちが抱える痛みや歩行障害などの症状に向き合っており、2022年より小型犬および猫に対して「股関節全置換術(Total Hip Replacement:THR)」の実施を開始しました。
股関節疾患は犬・猫ともによくみられる疾患のひとつであり、運動機能や日常生活に影響をおよぼします。彼らが抱える痛みや歩くことさえつらい状況は、動物自身はもちろん、ご家族にとっても計り知れない苦しみとなります。
しかし、大型犬用の手術器械およびインプラントは費用面において導入が難しく、現在、地域で十分な治療選択肢を提供できているとはいえません。
本プロジェクトは、大型犬にも対応可能なTHR用器械導入を目標に、クラウドファンディングに取り組むものです。
愛犬と一緒に歩ける日々を、これから先も守るため。
多くの犬とそのご家族がより良い治療選択を検討できる環境作りに向けて、ご賛同いただける皆様からの温かいご寄附をよろしくお願いいたします。

井上賀之
宮崎大学農学部獣医外科学研究室
私は現在、宮崎大学農学部附属動物病院にて主に神経、整形外科を担当しています。骨折から脳腫瘍まで、神経、整形疾患に伴い痛みや 跛行 、麻痺、行動の異常を呈する動物の治療に日々邁進しています。
関節機能の回復が困難である股関節疾患に対する救済的治療法の一つとして股関節全置換術(Total Hip Replacement: THR)があります。THRはこれまでに股関節疾患に対する外科治療の中でも優れた機能回復を示すことが示唆されています。しかしながら、要求される精度などから国内でも実施できる施設は少数に留まっています。
海外で実施されたセミナーでの技術習得ならびに国内での手術補助等を経て、本学にてTHRを開始したのは2022年になります。その際、日本国内では小型犬や猫の飼育頭数が多いことから、本学ではまず小型犬、猫用の器械、インプラントを購入し、開始することとなりました。
しかしながら、本学ではいまだ中、大型犬に対しての器械の導入ができておらず、現在はご指導いただいた先生のご助力や器械の貸与を得て大型犬への手術を行えている状況であり、残念ながら常時手術を実施できる環境を整えることができておりません。加えて本学独力では環境を整えるための資金が賄えず、導入にはまだしばらくの時間を要することが想定されています。
今回我々は主に九州圏内で股関節疾患に悩むすべての犬、猫に対する治療選択肢としてTHRを提示することのできる環境を整え、より良い治療を提供できるようにするためにこのプロジェクトを開始いたします。
皆様の心温かいご寄附を、よろしくお願いいたします。
股関節形成不全は、主に大型犬種または超大型犬種に高率に発生する病気の一つで、股関節の形態的な異常に伴い関節のゆるみが生じ、二次的に関節炎や変形性関節症を引き起こすことで 跛行 を生じる疾患です。
※ 跛行(はこう):歩様に異常をきたしている状態、片足を引きずるように歩くこと。
この疾患は、遺伝的要因や急激な体重増加や過度の栄養摂取などが関与していると考えられています。
また、ラブラドール・レトリーバーやゴールデン・レトリーバー、バーニーズ・マウンテン・ドッグなどの大型犬で発症する頻度が高いと言われています。

この病気の主な症状は、足を引きずって歩いたり、後ろ足の筋肉がやせてしまうことです。子犬と成犬とで病態が異なり、子犬では、関節のゆるみが主な問題であり、成犬では、関節の変形(変形性関節症)や、炎症(関節炎)が主な問題になります。

股関節形成不全については、内科的な治療(体重管理や適度な運動、鎮痛剤やサプリメントの使用など)で痛みをコントロールすることも可能ですが、根本的な解決には外科的治療(手術)を行う必要があり、その治療法として股関節全置換術が挙げられます。
外科治療については、患者犬の年齢や体重、活動性などによって適用性が判断されます。
獣医整形外科学の領域において、股関節全置換術(Total Hip Replacement:THR)は、関節機能の回復が困難な股関節疾患に対する治療の一つです。
痛みの原因である変形・損傷した関節構造を人工関節に置き換えることで、正常に近い関節機能と可動性を回復し、長期的なQOL(生活の質)の向上を得ることが目的の治療法です。
股関節全置換術以外にも、手術にはいくつか種類があり、年齢や状態に応じて、若年性恥骨癒合術、骨盤骨切り術、大腿骨頭切除術といった方法が挙げられます。薬や他の手術でもあまりよくならなかった場合の「最後の手段」として、股関節全置換術が選ばれることがあります。
股関節全置換術では、犬の体重や活動性に耐えうるように設計されたインプラントを使用する必要があります。インプラントとして大腿骨機能を置換するステム、ネック、ヘッド、 寛骨臼 機能を置換するカップで構成されており、これらを適切に設置することで股関節機能を代替することができます。
人とは異なり、猫や小型犬、超大型犬まで、犬や猫では種差や個体差が大きいため、適切なサイズのインプラントを適切な位置や角度で設置するためには、各サイズごとに専用の器械が必要となります。
しかし、現在本学大学病院では大型犬用の器械を所有していないことから、独力での大型犬の股関節全置換術の実施はできません。
そのため、九州圏内で股関節全置換術を希望される場合には、関西あるいは関東で手術を実施していただくか、症状を和らげて少しでも快適に過ごせるようにするための手術として大腿骨頭骨頚切除術を実施するという選択肢しかありません。
特に、関西や関東での手術は遠方であり、患者犬やそのご家族にとって身体的な負担や経済的な負担が大きく断念するケースもありました。
九州圏内の股関節疾患で困っている患者犬やそのご家族に対する治療の選択肢として、股関節全置換術を提供できるようにするため、器械を導入して本学でTHRを安定的に行えるようにすることを目標としています。
本学での安定的なTHR実施を可能とし、九州圏内における股関節疾患に悩む患者犬に対して、股関節全置換術という治療オプションを提供できる未来を目指し、専用の器械ならびにインプラントを導入します。
通常であれば、附属動物病院の運営費からの捻出が望ましいですが、予算配分については病院全体における必要性や費用対効果の高い項目が優先されてしまうため、当面の導入が困難です。
そこでご賛同いただける皆様からのご寄附をたまわり、器械導入を進めていくべく、クラウドファンディングへの挑戦を決意いたしました。
クラウドファンディング概要
<第一目標金額:400万円>
・股関節全置換術に必要なインプラント、器械の購入費用
・クラウドファンディング手数料 他
※導入は2026年3月頃を想定しています。
現状においても、器械を貸与いただければ手術自体は可能です。しかしながら、器械を滅菌した状態で運ぶ必要があること、一つでもパーツが不足していることがないようにすることなど、一定のリスクは否めません。
どんな時も、動物たちはご家族のそばで懸命に生きてくれています。
「もっと歩きたい」「一緒にお散歩したい」――
その想いに応えられる環境を、みなさまと一緒に創っていけることを心から願っています。
皆様からのご寄附・ご協力をどうぞよろしくお願いいたします。


末吉 益雄
一般社団法人 宮崎県獣医師会 会長
愛犬とのお散歩は、飼い主にとっても犬にとっても心を満たす大切な時間です。しかし、大型犬に見られる股関節疾患は、その幸せな時間を奪い、運動制限や痛みをもたらす深刻な課題となっています。「大型犬における股関節全置換術」は、痛みからの解放をもたらし、これまで制限されていた活動を取り戻すことのできる先進的な治療法です。この取り組みは、犬と飼い主が再び安心してお散歩を楽しめる可能性を切り拓くだけでなく、動物医療の発展と絆の支えにもつながる大きな一歩だと確信しています。
愛する犬と一歩でも多く歩きたいという飼い主の願いに共感し、本プロジェクトが広く支援を得て実現に近づくことを心から応援いたします。

福井 健人
ケントペットクリニック 院長
福岡県久留米市ケントペットクリニック院長の福井健人と申します。
現在、宮崎大学が小型犬の股関節全置換術(THR)を実施されていますが、大型犬に実施可能な施設は九州内に存在しません。大型犬がTHRを受ける場合は、九州外に連れて行っていただくか、実施可能な先生を招聘して実施していただいている状態です。大型犬のため、交通事情で連れて行くことができず、大腿骨頭切除術を受けざるを得ない症例も存在します。
九州に根付いた宮崎大学が大型犬のTHR実施可能施設になることはTHRで苦しんでいる大型犬とそのご家族にとって大きな希望となります。また、教育施設であるため、そこからTHR実施可能施設が九州内に拡がっていくことも期待できます。
宮崎大学が九州のTHRの拠点となることに大いに期待します。
宮崎大学へのご寄附については、確定申告を行うことにより、税制上の優遇措置が受けられます。
寄附金領収書はREADYFOR株式会社を通じて寄附金が宮崎大学に入金された日付で発行いたします。
寄附金領収書はREADYFOR株式会社を通じて寄附金が宮崎大学に入金された日付で発行いたします。
寄附金領収書は、2026年2月末までに送付します。なお、領収書の日付は、READYFORから宮崎大学に入金のある2026年1月の日付となります。そのため、2026年分の確定申告で申告をお願いいたします。
宮崎大学への入金は募集終了の翌々月になりますので、税制上の優遇措置をお考えの方は対象となる年にご注意ください。
宮崎大学への入金は募集終了の翌々月になりますので、税制上の優遇措置をお考えの方は対象となる年にご注意ください。
※日本の納税者のみ対象となり、海外の方は優遇を受けることはできません。
※寄附金領収書のお名前は、ギフトお届け先にご登録いただいたお名前となります。
■ 個人の場合
○所得税の優遇措置(所得税法第78条第2項第2号)
寄附金額が年間2,000円を超える分について、所得控除を受けることができます。
寄附金額 - 2,000円 = 所得控除額
(控除対象となる寄附金の上限額は、当該年分の総所得金額の40%です。)
○個人住民税(県民税・市町村税)の優遇措置
宮崎大学を寄附金控除の対象法人として条例で指定している都道府県・市区町村にお住いの方は、翌年の個人住民税が軽減されます。都道府県・市町村により取扱いが異なりますので、お住まいの都道府県・市町村にお問合せ願います。
■法人の場合(法人税法第37条第3項第2号)
寄附金の全額を損金算入することができます。
●寄附金領収書の発行について
寄附をされた方には、後日「寄附金領収書」を送付致します。
なお、寄附金領収書の宛先は、基本的にギフトお届け先にご登録のご住所・お名前となります。
確定申告の際は、ご本名と現住所(住民票に記載のご住所)、法人様の場合は登記簿上の名称とご住所での領収証明書が必要となりますので、ご注意ください。
税制上の優遇措置についてのご質問がある方、またインターネットでのご寄附が難しい方は、下記のお問い合わせ先までご連絡下さい。
宮崎大学総務広報課
Email:crowdfun[アットマーク]of.miyazaki-u.ac.jp
*[アットマーク]を@に変えてご連絡ください。
TEL:0985-58-2851
▼留意事項
▽ご寄附の前に、利用規約を必ずご一読ください。
▽ご寄附確定後(第一目標達成後)の返金やキャンセルは、ご対応できませんので、ご了承ください。
▽寄附受納書の名義・発送先は、原則としてご寄附時に入力したお届け先の宛名と住所となります。ご寄附確定後は、ご寄附時にご回答いただく寄附方法・住所・宛名・電話番号・質問項目等への回答内容はご寄附確定後、変更できませんのでご注意ください。個別にご連絡がない限り、原則としてご寄附時に入力いただいた宛名と住所に寄附受納書をお送りいたしますのでお間違いのないようご注意ください。
▽ご寄附完了時に「応援コメント」としていただいたメッセージは、本プロジェクトのPRのために利用させていただく場合がございます。あらかじめご承知おきください。
▽ご寄附に関するご質問はこちらをご覧ください。
▽本プロジェクトのギフトのうち、【お名前掲載】に関するギフトの条件詳細については、こちらのページの「●命名権、メッセージの掲載その他これに類するリターン」をご確認ください。
- プロジェクト実行責任者:
- 井上賀之(宮崎大学農学部附属動物病院)
- プロジェクト実施完了日:
- 2026年3月31日
プロジェクト概要と集めた資金の使途
皆様からいただくご寄附は、THR用器械(Zurich Cementless THR)の購入、クラウドファンディング手数料に充当します。
あなたのシェアでプロジェクトをさらに応援しよう!
プロフィール
あなたのシェアでプロジェクトをさらに応援しよう!
ギフト
3,000円+システム利用料
3,000円コース
・寄附金領収書※
・お礼のメール
※寄附金領収書は、2026年2月末までに送付します。なお、領収書の日付は、READYFORから宮崎大学に入金のある2026年1月の日付となります。そのため、2026年分の確定申告で申告をお願いいたします。
※寄附金領収書の宛先は、ご寄附時にギフトお届け先欄に入力いただいたご住所・お名前となります。
- 申込数
- 17
- 在庫数
- 制限なし
- 発送完了予定月
- 2026年3月
10,000円+システム利用料
10,000円コース
・寄附金領収書※
・お礼のメール
・クラウドファンディング専用ページにてお名前掲載(希望制)
・活動報告レポート(26年4月頃送付予定)
※寄附金領収書は、2026年2月末までに送付します。なお、領収書の日付は、READYFORから宮崎大学に入金のある2026年1月の日付となります。そのため、2026年分の確定申告で申告をお願いいたします。
※寄附金領収書の宛先は、ご寄附時にギフトお届け先欄に入力いただいたご住所・お名前となります。
- 申込数
- 55
- 在庫数
- 制限なし
- 発送完了予定月
- 2026年4月
3,000円+システム利用料
3,000円コース
・寄附金領収書※
・お礼のメール
※寄附金領収書は、2026年2月末までに送付します。なお、領収書の日付は、READYFORから宮崎大学に入金のある2026年1月の日付となります。そのため、2026年分の確定申告で申告をお願いいたします。
※寄附金領収書の宛先は、ご寄附時にギフトお届け先欄に入力いただいたご住所・お名前となります。
- 申込数
- 17
- 在庫数
- 制限なし
- 発送完了予定月
- 2026年3月
10,000円+システム利用料
10,000円コース
・寄附金領収書※
・お礼のメール
・クラウドファンディング専用ページにてお名前掲載(希望制)
・活動報告レポート(26年4月頃送付予定)
※寄附金領収書は、2026年2月末までに送付します。なお、領収書の日付は、READYFORから宮崎大学に入金のある2026年1月の日付となります。そのため、2026年分の確定申告で申告をお願いいたします。
※寄附金領収書の宛先は、ご寄附時にギフトお届け先欄に入力いただいたご住所・お名前となります。
- 申込数
- 55
- 在庫数
- 制限なし
- 発送完了予定月
- 2026年4月












