
支援総額
目標金額 9,000,000円
- 支援者
- 2,058人
- 募集終了日
- 2025年1月24日
メールマガジンの第1号を送らせていただきました
いつも安佐動物公園の動物たちを応援いただきありがとうございます。
昨日、ご支援いただいた方に、リターンのメールマガジン第1号を送らせていただきました。
◆オスの「ダイ」との同居から妊娠判明まで
◆妊娠判明後の定期健診
◆最新の超音波検査結果
◆出産に向けたゾウ舎の環境整備
についてお伝えしています。
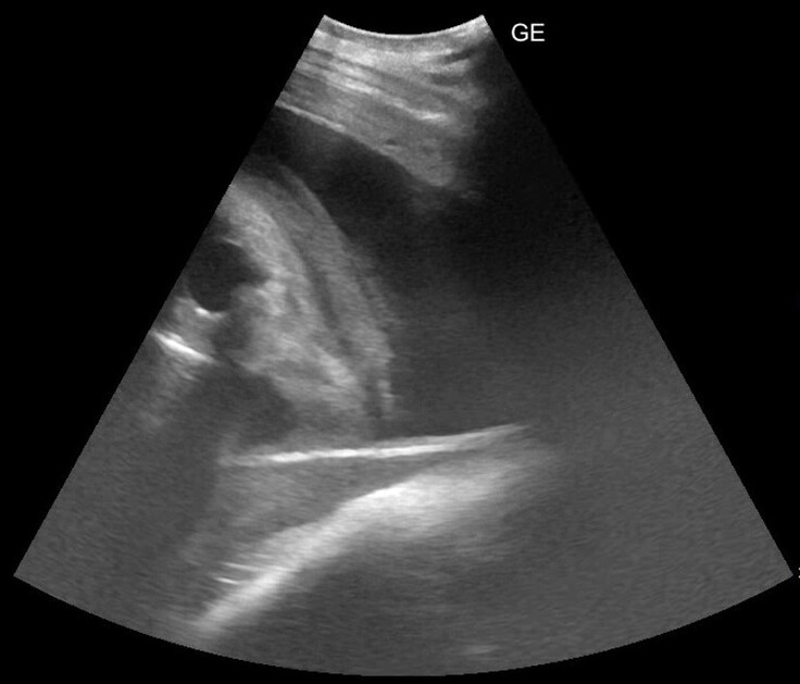
メールマガジンでは、2月末に行ったエコー検査の結果をご紹介させていただきましたが、4月の頭にも、次のエコー検査を実施しました。
今回の検査で見ることができた画像を紹介します。

これだと何が映っているのかよくわからないので、線を引いてみました。

最初の画像と見比べていただくと、何となく見えてくるでしょうか。メイのお腹の中の子ゾウの前肢と頭です。目に見える黒い部分が、目なのか、鼻の奥を捉えることができたのかははっきりせず、今後の検査で姿勢があえば追っていく予定です。
クラウドファンディングページで紹介した2024年9月の画像では、胸からお腹にかけてを1つの視野で観察できていました。約半年がたち、検査機器で見ることができる25㎝程度の深さでは、たまたま近くに来ている頭の一部や前あしの一部が観察できる、というところまで成長しています。
あと半年を切った出産予定日まで、このまま順調に成長してくれることを祈っています。
先日ご紹介させていただいた、マルミミゾウの住む森を護るためのクラウドファンディングプロジェクトでは、マルミミゾウの赤ちゃんの魅力が、紹介されています。
第2弾!【イラストで伝える】マルミミゾウの魅力 ~妊娠・出産、そして子育て~
イラストで描かれた、マルミミゾウの赤ちゃんのかわいいポイントは必見です。是非ご覧いただき、生まれてくるメイの赤ちゃんや、野生のマルミミゾウに想いを馳せていただければと思います。
リターン
5,000円+システム利用料

【寄附金控除対象】メイちゃんの出産お祝いコース
●メイちゃんへの出産祝い
いただいたご寄附の額に応じてゾウのメイちゃんに好物のおやつ(リンゴ・スイカ・さとうきび)をプレゼント&食べている様子を動画でご送付します。
※最終的に集まったご支援総額に応じて、おやつの種類及び数を決定します。
※おやつの給餌は、出産後に実施予定です。
※頂いたご支援をもとに、職員がメイちゃんにおやつをあげる内容となります。支援者によるおやつあげ体験等は実施致しませんので予めご了承下さいませ。
●赤ちゃんゾウの成長報告
赤ちゃんゾウの成長過程をメールマガジンでCF終了後から約1年間お届けします。
生まれるまでの経過や生まれた後の様子について配信予定です。
(不定期:2ヶ月に一回、6回以上発行予定)
※万が一、妊娠の中断や個体の死亡等により報告が続けられなくなった場合には、1年間を待たず配信が中止する場合がございます
※配信が中止となった場合でも返金はできませんのでご了承くださいませ
=上記に加え=
●お礼のメール
●寄附金受領証明書
※ 一度に複数口でのご寄附も可能です
- 申込数
- 700
- 在庫数
- 制限なし
- 発送完了予定月
- 2026年3月
5,000円+システム利用料

CF限定!【グッズで応援】ゾウのイラスト・写真入りポストカード
●CF限定!ゾウのポストカード
マルミミゾウ「メイ」と「ダイ」の愛らしい姿を収めたCF限定のポストカードです。
※画像は制作中のイメージです。実際の完成品とは異なる場合がございます。
●赤ちゃんゾウの成長報告
※詳細は「メイちゃんの出産お祝いコース」または「全力応援コース1万円」を参照ください
=上記に加え=
●お礼のメール
※ 一度に複数口でのご支援も可能です
- 申込数
- 145
- 在庫数
- 制限なし
- 発送完了予定月
- 2026年3月
5,000円+システム利用料

【寄附金控除対象】メイちゃんの出産お祝いコース
●メイちゃんへの出産祝い
いただいたご寄附の額に応じてゾウのメイちゃんに好物のおやつ(リンゴ・スイカ・さとうきび)をプレゼント&食べている様子を動画でご送付します。
※最終的に集まったご支援総額に応じて、おやつの種類及び数を決定します。
※おやつの給餌は、出産後に実施予定です。
※頂いたご支援をもとに、職員がメイちゃんにおやつをあげる内容となります。支援者によるおやつあげ体験等は実施致しませんので予めご了承下さいませ。
●赤ちゃんゾウの成長報告
赤ちゃんゾウの成長過程をメールマガジンでCF終了後から約1年間お届けします。
生まれるまでの経過や生まれた後の様子について配信予定です。
(不定期:2ヶ月に一回、6回以上発行予定)
※万が一、妊娠の中断や個体の死亡等により報告が続けられなくなった場合には、1年間を待たず配信が中止する場合がございます
※配信が中止となった場合でも返金はできませんのでご了承くださいませ
=上記に加え=
●お礼のメール
●寄附金受領証明書
※ 一度に複数口でのご寄附も可能です
- 申込数
- 700
- 在庫数
- 制限なし
- 発送完了予定月
- 2026年3月
5,000円+システム利用料

CF限定!【グッズで応援】ゾウのイラスト・写真入りポストカード
●CF限定!ゾウのポストカード
マルミミゾウ「メイ」と「ダイ」の愛らしい姿を収めたCF限定のポストカードです。
※画像は制作中のイメージです。実際の完成品とは異なる場合がございます。
●赤ちゃんゾウの成長報告
※詳細は「メイちゃんの出産お祝いコース」または「全力応援コース1万円」を参照ください
=上記に加え=
●お礼のメール
※ 一度に複数口でのご支援も可能です
- 申込数
- 145
- 在庫数
- 制限なし
- 発送完了予定月
- 2026年3月

ごかつら池どうぶつパーク|命を守り、次世代へ繋ぐ小さな動物園の挑戦
- 現在
- 5,604,000円
- 支援者
- 344人
- 残り
- 36日

アムールトラ「ショウヘイ」に、みんなでつくるおもちゃ箱をプレゼント
#観光
- 現在
- 4,240,000円
- 支援者
- 255人
- 残り
- 71日

JWCサポーター大募集中!傷付いた野生動物を救いたい
- 総計
- 253人

絶滅の危機に瀕しているシマアオジ 彼らのいる景色を取り戻したい
#国際協力
- 現在
- 4,171,900円
- 寄付者
- 344人
- 残り
- 15時間

アルパカ・タックの膝の健康を守る!ときわ動物園の挑戦
- 現在
- 2,121,000円
- 支援者
- 155人
- 残り
- 22日

絶滅危惧種ツシマヤマネコを守るために!月々のご支援で安定的な整備を
- 総計
- 147人

野生に帰れない猛禽類のために|猛禽類医学研究所マンスリーサポーター
- 総計
- 523人










