
支援総額
622,000円
目標金額 600,000円
- 支援者
- 65人
- 募集終了日
- 2023年9月29日
https://readyfor.jp/projects/kaikai-help?sns_share_token=&utm_source=pj_share_url&utm_medium=social
2023年09月19日 21:28
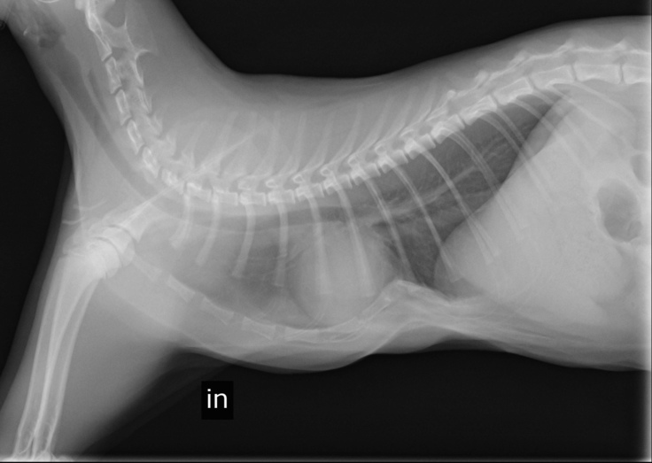
現状報告②検診結果をご報告します
ご覧頂きありがとうございます😊
本日術後の検診に行ってきました。
胸骨は正常な位置に留まっており、
経過は良好なようです。
とても心配していた為、問題無く成長している事を知り安心しております。
引き続き皆様の御支援どうぞ宜しくお願い致します。
今回の検診で撮影したレントゲン写真と診療明細書の写真を添付しておきます。
☟息を吸っている所です

☟息をはいている所です

☟今回の診療明細書の写真です

リターン
500円+システム利用料

感謝のメール(返礼品無)🐈⬛
・感謝のメール
・経過のご報告
感謝のメールと海の経過をご報告させて頂きます。誠に申し訳ございませんが、返礼品はございません。
皆様からご支援頂きました費用は全て治療費にあてさせて頂きます。
どうぞ宜しくお願い致します。
- 申込数
- 6
- 在庫数
- 制限なし
- 発送完了予定月
- 2023年10月
1,000円+システム利用料

感謝のメール🐈⬛🐈⬛
・感謝のメール
・経過のご報告
感謝のメールと海の経過をご報告させて頂きます。誠に申し訳ございませんが、返礼品はございません。
皆様からご支援頂きました費用は全て治療費にあてさせて頂きます。
どうぞ宜しくお願い致します。
- 申込数
- 19
- 在庫数
- 制限なし
- 発送完了予定月
- 2023年10月
500円+システム利用料

感謝のメール(返礼品無)🐈⬛
・感謝のメール
・経過のご報告
感謝のメールと海の経過をご報告させて頂きます。誠に申し訳ございませんが、返礼品はございません。
皆様からご支援頂きました費用は全て治療費にあてさせて頂きます。
どうぞ宜しくお願い致します。
- 申込数
- 6
- 在庫数
- 制限なし
- 発送完了予定月
- 2023年10月
1,000円+システム利用料

感謝のメール🐈⬛🐈⬛
・感謝のメール
・経過のご報告
感謝のメールと海の経過をご報告させて頂きます。誠に申し訳ございませんが、返礼品はございません。
皆様からご支援頂きました費用は全て治療費にあてさせて頂きます。
どうぞ宜しくお願い致します。
- 申込数
- 19
- 在庫数
- 制限なし
- 発送完了予定月
- 2023年10月
1 ~ 1/ 9
このページを見た人はこんなプロジェクトもチェックしています
風テラス
渡邉果菜里(NPO法人せぴうるにゃん)
にゃんこのしっぽ(栗原 真弓)
NPO法人保護猫カフェlove.lab
kinakomozuku
東江 ルミ子(NPO法人にゃいるどはーと)
ボランティア ねこ活(代表)

夜の世界で孤立・困窮している女性たちに、必要な支援を届けたい
継続寄付
- 総計
- 162人

せぴうるにゃんこサポーター募集
継続寄付
- 総計
- 19人

にゃんこのしっぽサポーター募集★石垣島の捨てられた猫たちに治療を!
継続寄付
- 総計
- 124人

多くの猫を幸せにするためのご支援を〜(マンスリーらぶサポ)
継続寄付
- 総計
- 63人

【4歳10ヶ月悪性リンパ腫】愛猫きなこの抗がん剤治療のためのご支援
22%
- 現在
- 199,000円
- 支援者
- 50人
- 残り
- 34日

出会った命を守りたい!マンスリーサポーター募集中!
継続寄付
- 総計
- 160人

シンデレラサポーター募集「飼い主のいない猫」から「幸せな飼い猫」へ
継続寄付
- 総計
- 62人
最近見たプロジェクト
ロボット科学教育Crefus教室長 飯田隆夫
aya
ゆず
愛 良人
中川七海
カルフラワー
神谷明日香&豊明(小学生で特許を取った中2...
成立
ロボットの世界大会で海外チームと連携しNo.1を目指したい!
116%
- 支援総額
- 350,000円
- 支援者
- 32人
- 終了日
- 7/13
家庭で実践できる塾がいらない英語教育
- 支援総額
- 0円
- 支援者
- 0人
- 終了日
- 8/4
成立
FIPになってしまったゆずちゃんに力を貸してください
121%
- 支援総額
- 729,000円
- 支援者
- 186人
- 終了日
- 10/15
成立
逗子・葉山に新しい名産を!ブルーベリー観光農園を造りたい
103%
- 支援総額
- 3,109,000円
- 支援者
- 104人
- 終了日
- 4/26
成立

宮城県気仙沼市で音楽フェスを開催し、震災への意識を0から1へ
111%
- 支援総額
- 1,675,000円
- 支援者
- 84人
- 終了日
- 3/31

長く使い続けられるものを。町工場連係オーダーメイド事業にご支援を!
- 支援総額
- 0円
- 支援者
- 0人
- 終了日
- 11/10
成立

小学生の特許取得と商品化支援の会社を作りアイデアを形にしたい
116%
- 支援総額
- 1,046,000円
- 支援者
- 36人
- 終了日
- 11/13











