医療画像診断eラーニング「読影指南L」で未来の医師を育てよう

支援総額
目標金額 2,000,000円
- 支援者
- 2人
- 募集終了日
- 2015年1月29日

ひとつの心室で生きていく。フォンタン手術の患者をみんなで支援したい
#子ども・教育
- 現在
- 3,528,000円
- 寄付者
- 184人
- 残り
- 28日

社会で支える盲導犬。|日本ライトハウスマンスリーサポーター募集!
#医療・福祉
- 総計
- 21人

がん患者家族に必要な支援を!「がん家族」サポーター募集
#医療・福祉
- 総計
- 3人

制度化に取り残された障害児の為の施設訪問アドボカシー活動
#地域文化
- 総計
- 3人

“他人”はお断り―お見送りも、お墓参りもできない孤独死をなくしたい
#まちづくり
- 総計
- 0人

何があっても、駆けつける。救急医療の生命線「病院救急車」の更新へ
#医療・福祉
- 現在
- 25,823,000円
- 寄付者
- 307人
- 残り
- 27日

ファシリティドッグ ドリーム☆サポーターを募集中!
#子ども・教育
- 総計
- 462人
プロジェクト本文
効率的に信頼性が高い知識を提供する医療画像診断eラーニング「読影指南L」を改修し、タブレット対応を実現し、より多くの医学生、研修医に利用してもらいたい!
初めまして。NPO法人メディカル指南車の笹井と申します。メディカル指南車では、医療に関わる大学や企業の研究者が様々なアイデアを持ち寄り、患者と医療者をつなぐしくみを生み出し、広く社会に貢献できる事業運営を目指しています。
これまでの成果を医療画像診断eラーニング「読影指南L」として提供するための取り組みを行っています。今回Webブラウザーで使えるように改修し、大学病院から系列病院に普及させることによって、未来の医師に画像診断の学習手段を提供し、国民の健康維持に寄与したいと思っています。
しかし、作り直すためには外部のソフトウェア制作会社に制作費を支払う必要があり、NPO法人の資金力だけでは十分な資金が確保できません。皆様のお力をお貸しいただけませんか。
医療情報の電子化に伴い情報の流通量は飛躍的に拡大しています。
医療従事者に対しては効率的な知識獲得手段が必要です。
ブロードバンドネットワークの普及に伴い電子情報の流通量は飛躍的に拡大しています。インターネット上には医療に関する多くの情報が氾濫しており、医療機関においても多くの情報が電子化され蓄積されるようになってきました。しかし現状ではそれらの情報が、患者や家族および医療従事者に対して、効率的に知識を提供できる仕組みとして有効利用されているとはいい難い状況であるといわざるを得ません。すなわち患者や家族が医療知識を得るためには、難解な専門書を調べたりインターネットを探索して、膨大な情報から必要な知識を取捨選択して獲得する必要があり、多大な労力が要求されます。医療従事者においても、主に専門書や学術論文といった印刷物を入手し、それらを時間をかけて学習することによって専門知識を獲得する必要があります。
いままでこのような状態が続いていた背景には、情報を作成して蓄積する際に、情報を利用する側の要求や論理を活用することが可能な情報処理技術が確立できていないことがあげられます。そこで私たちは情報に意味(セマンティック)を付与することでコンピュータが自律的に処理できるようにするためのセマンティック・ウェブ技術や、概念間の相互関係を定義したオントロジーなどを応用することに着目しました。これらの知的なデータベース処理技術を駆使し、そのデータベースを利用者の立場で進化させていくために多くの大学や研究機関を通じて検討してきました。これらの研究成果をウェブなどを利用して提供することにより、信頼性の高い知識を継続的に提供することを目的として2007年6月に「特定非営利活動法人 メディカル指南車」の設立に至りました。
医療現場では画像診断が重要な手段となっています。未来の医師に画像診断の効率的な学習手段を提供したい!
医療現場ではX線、超音波(エコー)、内視鏡などの検査画像から診断、治療を行うことが重要な手段となっていますが、検査画像から情報を読み解くことは容易ではなく熟練を要します。一方で、画像診断を行う専門医を育成するには膨大な時間と費用がかかることから、専門医が不足し、中小病院や診療所では症例に接することの少ない一般の医師が画像診断を行ったり、診療放射線技師が画像診断補助を行うことが必要になっています。
医療画像診断の学習は、実際の症例画像を見ながらそれを読み解くという訓練が最も有効なのですが、それには指導する側の労力も膨大です。そこで我々は大学病院や中核病院が保有する専門知識や豊富な経験や症例を、知的なデータベース技術を駆使して「画像診断知識ベース」や「画像症例データベース」としてデータベース化し、必要とする医療従事者がいつでもどこでも利用できるように医療画像診断eラーニング「読影指南L」として提供したいと思っています。
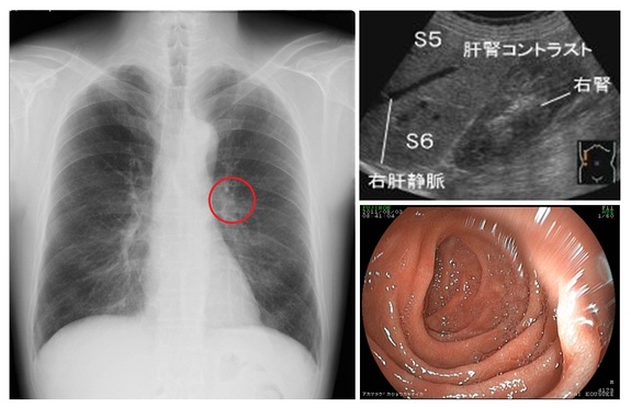
(医療画像の例)
多くの大学や研究機関と連携し、信頼性の高い知識を提供しています。さらに経験を活用するため、画像診断eラーニング「読影指南L」を開発しました。
医療画像診断に必要な信頼性の高い知識や豊富な経験を継続的に提供するためには、知識情報処理技術を保有する研究者と医療情報や画像診断の専門知識を保有する医療従事者とが一同に会したプロジェクト体制が必要です。メディカル指南車は、関西を中心に主に大学病院を保有する大学の先生方、医療情報処理の研究者、ITベンチャーの経営者などが集まって設立したNPO法人であり、図に示すようなメンバーで運営しています。
集まったメンバーは全員ボランティアに近い形で法人運営を行い、それぞれの専門知識を提供しています。具体的には専門医とデータベース技術者や知識情報処理の研究者がとことん議論して、画像診断の知識をデータベース化します。またこの「画像診断知識ベース」を利用して、大学病院に蓄積されている症例から「画像症例データベース」を作成します。これらはすべて専門医の先生方といっしょに作成し、監修も行っていただいています。非常に信頼性の高いものです。さらにこれらを活用して画像診断eラーニング「読影指南L」を開発し、それぞれのメンバーが属する組織を利用して、成果を普及させる取り組みを行っています。
「読影指南L」ではコンピュータそのものが画像診断の知識を持っており、症例に対して自動的に解答欄を生成したり、回答された答えに対して答え合わせをすることができるのです。このため画像診断の能力を客観的に評価することができます。
下図をクリックして頂ければ「読影指南L」の機能をご覧頂くことができます。胸部X線の場合、「基本部位」(どこの部位に)「基本所見」(どのような異常所見が見られるか)「診断」(「基本部位」「基本所見」の組み合わせによりどのような病気が疑われるのか)ということを画像から読み解く必要があります。そこで「読影指南L」では上部に解答すべき症例画像、左下に解答欄、右側に解答すべき語彙の選択肢を表示します。画像はクリックすると読影ができる大きさの画像を表示します。解答欄は「画像診断知識ベース」に基づいて作成された読影レポートに応じて問題ごとに自動生成されます。
「読影指南L」では、学習意欲を維持するために学習するユーザの特性や能力にあわせて問題の難易度を設定したり、ヒントを設定したりすることができます。さらにWebサービスで提供するメリットを活かして「成績表示画面」に学習の進捗や学習ユーザ間におけるランキングを表示することにより学習意欲が継続するように工夫しました。
画像診断における専門知識や豊富な経験は一般に患者数の多い都市部の大学病院や中核病院に偏在する傾向にあります。我々の開発した「読影指南L」が普及すると、都市部で画像診断を学習しようとしている研修医や若手の医師だけではなく、過疎地においても画像診断を学習しようとしている研修医や若手の医師の育成にも大きく寄与するものと思われます。さらに、先進国である日本の知識や経験を東南アジア諸国と共有し、これらの国々における医療分野にも貢献することが期待できます。
「読影指南L」によって医療画像診断のレベルが向上すると、疾病の早期発見による重症化の防止や適切なCT検査の実施などにつながり、患者にとって経済的、肉体的な負担軽減につながります。さらに医療費や医師養成のコスト削減など、増え続ける医療費に対する歯止めとしても切り札となることが期待できます。
「読影指南L」をWebブラウザーで利用できるように作り直し、必要とする医療従事者がいつでもどこでも利用してもらいたい!
我々がNPO法人を設立したのが2007年、「読影指南L」の開発に着手したのが2010年です。当時はスマートフォンやタブレットPCなどはほとんど普及していませんでした。Webサービスの利用はWebブラウザーで行うことが主流でしたが、当時の技術ではWebブラウザー単体で「読影指南L」のように豊富な情報を提供するのは困難でした。我々はMicrosoft社のSilverlightを利用すればWindowsパソコンではすべて利用できると考え、「読影指南L」はSilverlightを使って製作しました。それが現在メディカル指南車のホームページから提供している「読影指南L」です。
しかし近年、スマートフォンやタブレットPCが普及し、その間にWebブラウザーが発達してきたために、Microsof Silverlightを利用して提供されるWebサービスはほとんど見られなくなってきました。一方で医学生や研修医は膨大な医学の知識を効率よく習得するためにタブレットPCを利用することが多くなってきており、特に画像診断は画像を見てそのイメージを頭の中に記憶させる必要があるために、Silverlightを実装したWindowsパソコンでしか使うことができない「読影指南L」は非常に使いにくく、「読影指南L」の本来の目的である「必要とする医療従事者がいつでもどこでも利用できる」という目的が果たせなくなってきています。
そこで「読影指南L」を現在のWebブラウザーで利用できるように作り直して、タブレットPCなどでも利用でき、「必要とする医療従事者がいつでもどこでも利用できる」という狙いを達成したいと考えています。今回Webブラウザーで使えるように改修し、大学病院から系列病院に普及させることによって、未来の医師に画像診断の学習手段を提供し、国民の健康維持に寄与したいと思っています。皆様のご支援をお待ちしております。
引換券について
・お礼のメール
・お礼のメールに使用実績やユーザの声などの成果報告書を添付します
1年間進捗報告書の送付(最終報告書含めて月1回メール添付)
・当法人のホームページにお名前を掲載させていただきます(5万円支援者限定)
・当法人のホームページにお礼のメッセージを添えてお名前を掲載させていただきます(10万円支援者限定)
・当法人のホームページにお礼のメッセージを添えて最敬待遇でお名前を掲載させていただきます(50万円支援者限定)
あなたのシェアでプロジェクトをさらに応援しよう!
プロフィール
2002年3月 神戸大学大学院修了 博士 2004年6月より 医療画像診断支援の研究に着手 現在に至る
あなたのシェアでプロジェクトをさらに応援しよう!
リターン
3,000円
お礼のメール
- 申込数
- 2
- 在庫数
- 制限なし
10,000円
お礼のメール
お礼のメールに使用実績やユーザの声などの成果報告書を添付します
- 申込数
- 0
- 在庫数
- 制限なし
3,000円
お礼のメール
- 申込数
- 2
- 在庫数
- 制限なし
10,000円
お礼のメール
お礼のメールに使用実績やユーザの声などの成果報告書を添付します
- 申込数
- 0
- 在庫数
- 制限なし
プロフィール
2002年3月 神戸大学大学院修了 博士 2004年6月より 医療画像診断支援の研究に着手 現在に至る














