
支援総額
目標金額 300,000円
- 支援者
- 43人
- 募集終了日
- 2025年8月30日

ジジを助けたいです。元野良猫ジジのFIP治療費のお願い。
#動物
- 現在
- 530,000円
- 支援者
- 94人
- 残り
- 2日

13年ケージに入れられていたチワワに手術を受けさせたい
#動物
- 現在
- 181,000円
- 支援者
- 24人
- 残り
- 13日

命の危機が迫っています!僧帽弁閉鎖不全症・三尖弁閉鎖不全症
#医療・福祉
- 現在
- 737,000円
- 支援者
- 64人
- 残り
- 16日

遺されたニャンズにより良い生活環境を…
#動物
- 現在
- 63,500円
- 支援者
- 13人
- 残り
- 17日

ごかつら池どうぶつパーク|命を守り、次世代へ繋ぐ小さな動物園の挑戦
#観光
- 現在
- 5,874,000円
- 支援者
- 370人
- 残り
- 34日
プロジェクト本文
終了報告を読む
▼自己紹介
🐶はじめまして。豆柴「みかん」は7月に誕生日を迎えたばかりの2歳の女の子です。
私たち家族にとって、みかんはかけがえのない存在です。体重4.4kgの小柄で少し警戒心強く臆病な所もありますが、人懐っこくて元気な性格が魅力の豆柴です。
しかし数ヶ月前から、呼吸が荒くなる事があり同時に食欲も落ちてきました。散歩に出ても座り込んで歩かなかったりといった事が多くなってきました。最近では夏バテかな?とも思いながらも心配になり避妊手術の相談も兼ねて動物病院に連れて行きました。
そこで告げられたのは、思いがけない診断でした。
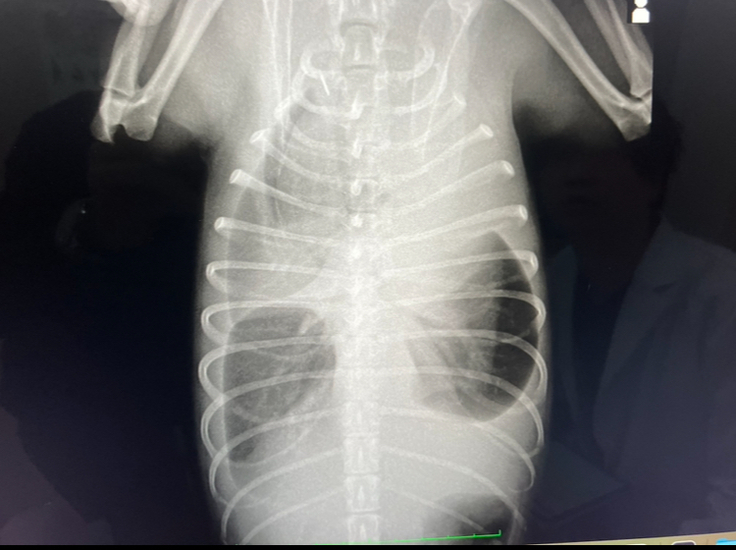
レントゲンを撮影した所、肺が真っ白に、、特に左前の肺は殆ど写っていませんでした。
すぐに特定はできなかったものの動物病院に一旦お預けして調べを進めていただいた所、「乳び胸(にゅうびきょう)」である可能性が極めて高い事がわかりました。
みかんの胸には約350ccもの乳びが溜まっていて呼吸を圧迫していました。
その後、乳びを抜き取っても症状はすぐには安定せず、夜間咳き込みも続きました。
一過性のものであって欲しい・・と一部の願いを持って初診から4日後に再受診しました。残念ながら望みは絶たれ、今回も290ccの乳びが抜き取られました。みかんも怯えるようになっており、見ていて辛い日が続きました。
🏥次のステップとしてCT検査→外科手術の説明を受けました。
高度医療が可能である動物病院の紹介を受け、受診しました。改めてのレントゲンやエコー、追加の血液検査も実施となり、
結果として、この病気を根本治療するには「胸管結紮術」という高度な手術が必要でした。
さらにCT撮影で「気胸」が判明・・
緊急で胸腔ドレナージを行い、入院となりました。この気胸がどういった理由によるものなのか、ハッキリとした原因はわかりませんでした。しかし、胸腔ドレナージを行った事で気胸は改善を見せ、一時乳びも数値が低下すると言う期待を持てる事がありましたが、結局、絶食から食事を取るようになる事で乳び数値は上昇してしまい予定通り乳び胸の胸腔鏡手術を行う事となりました。
▼プロジェクトを立ち上げたきっかけ
検査・手術・入院・通院等に必要な費用は状況によって変動が考えられますが現時点で88万円の費用が必要です。全額を支援金で賄うのではなく、飼い主である私共で対応するのが義務であると考えておりますが、経済的にも非常に厳しい状況であるというのが本音です。
皆様のお力をお借りできればと思いプロジェクトを立ち上げました。
目標金額は治療費用の一部として活用できればと考えております。
検査で既にかかっている費用に加え→手術→再診→通院費用などがかかる見込みです。
▼プロジェクトの内容
<プロジェクトについて>
(1)資金の使途
みかんの「乳び胸」「気胸」の今後の治療費の一部とクラウドファンディング手数料にあてます。
(2)目標金額と資金の内訳
目標金額:300,000円
(資金の内訳)
今後の治療費の一部:405,100円(外科手術を行う動物病院で手術・入院・検査を実施し治療します)
(3)集める資金を使用しての治療期間
2025年7月17日〜2025年8月31日
▼プロジェクトの展望・ビジョン
経過報告は必ず実施し皆様に感謝の気持ちを込めてご報告いたします。
どうか「みかん」にもう一度、元気な毎日を取り戻すチャンスをよろしくお願いいたします。
・御礼メール+みかんの元気な写真
・動物病院での経過報告(PDF・メール)
・感謝の動画メッセージ(希望者の方)
<ご支援にあたっての注意事項>
▶︎ 1. ペット保険について
1)ペット保険による補償の有無:無
2)補填対象の治療名と金額:無
▶︎ 2. 万が一の場合の代替の資金使途について
みかんが万が一死亡した場合、いただいた支援金については返金せず既に使用している治療費にあてさせていただきます。
▶︎ 3. 問い合わせ先について
本クラウドファンディングに関するお問合せは以下までご連絡ください。
連絡先:naikid4@icloud.com
▶︎ 4. 掲載している資料について
ページ上に掲載している診断書や診療明細書などの資料は全て動物病院から掲載の許諾を得ております。
▶︎ 5. 治療方針などが変更になった場合について
プロジェクト実施完了までの間に、治療方針や治療の要否に変更が生じた場合、支援者の皆様、READYFOR事務局に速やかにお伝えします。
▶︎ 6. READYFOR事務局からのご連絡
ペットの治療費用を集めるクラウドファンディングに関しては、以下のガイドラインもご確認ください。
【ペットの治療費用を集めるクラウドファンディングに関する当社の考え】
https://legal.readyfor.jp/guidelines/launching_project/pet_care/
- プロジェクト実行責任者:
- 遠藤 尚樹
- プロジェクト実施完了日:
- 2025年8月31日
プロジェクト概要と集めた資金の使途
みかんの「乳び胸」「気胸」の今後の治療費の一部とクラウドファンディング手数料にあてます。
リスク&チャレンジ
- プロジェクトに必要な金額と目標金額の差額について
- 検査・手術・入院・通院等に必要な費用は状況によって変動が考えられますが88万円の支払いが予測されます。全額を寄付・支援金で賄うのではなく、大前提は飼い主である私共で対応するのが義務であると考えております。 その中で少しでもお力をお借りできればとプロジェクトを立ち上げましたので目標金額は治療費用の一部として活用できればと思い設定させていただきました為、差額が発生しております。
あなたのシェアでプロジェクトをさらに応援しよう!
プロフィール
あなたのシェアでプロジェクトをさらに応援しよう!
リターン
500円+システム利用料

がんばれ!みかんちゃん応援コース①(応援のみ・リターンなし)
このリターンには物品等の返礼はございませんが、飼い主からの感謝の気持ちを込めて、心より御礼のメッセージをお送りします。
支援金はすべて、みかんの治療に必要な費用としてのみ使わせていただきます。
- 申込数
- 0
- 在庫数
- 制限なし
- 発送完了予定月
- 2025年11月
1,000円+システム利用料

がんばれ!みかんちゃん応援コース②(応援のみ・リターンなし)
このリターンには物品等の返礼はございませんが、飼い主からの感謝の気持ちを込めて、心より御礼のメッセージをお送りします。
支援金はすべて、みかんの治療に必要な費用としてのみ使わせていただきます。
- 申込数
- 22
- 在庫数
- 制限なし
- 発送完了予定月
- 2025年11月
500円+システム利用料

がんばれ!みかんちゃん応援コース①(応援のみ・リターンなし)
このリターンには物品等の返礼はございませんが、飼い主からの感謝の気持ちを込めて、心より御礼のメッセージをお送りします。
支援金はすべて、みかんの治療に必要な費用としてのみ使わせていただきます。
- 申込数
- 0
- 在庫数
- 制限なし
- 発送完了予定月
- 2025年11月
1,000円+システム利用料

がんばれ!みかんちゃん応援コース②(応援のみ・リターンなし)
このリターンには物品等の返礼はございませんが、飼い主からの感謝の気持ちを込めて、心より御礼のメッセージをお送りします。
支援金はすべて、みかんの治療に必要な費用としてのみ使わせていただきます。
- 申込数
- 22
- 在庫数
- 制限なし
- 発送完了予定月
- 2025年11月











