
支援総額
843,000円
目標金額 800,000円
- 支援者
- 68人
- 募集終了日
- 2024年2月19日
https://readyfor.jp/projects/moca1219?sns_share_token=&utm_source=pj_share_url&utm_medium=social
2024年01月25日 14:26
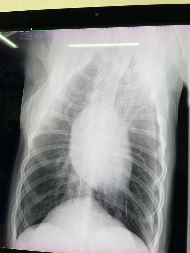
健診日でした!
今日は術後の定期検査の日でした!手と肺のレントゲンを撮ってもらいました☺︎3人がかりで鎮静剤無しでなんとかレントゲンを撮って頂けました✨費用もなるべく抑えて頂く努力をしてくださる病院の先生方に感謝です😢
モカも頑張ったね◎先生達にヨシヨシして貰ってご機嫌そうなモカでした♡肺の転移は初期とあまり変わらず、抗がん剤が上手く行ってるのかなと嬉しいお言葉を頂きました。このまま少しでも進行を緩やかにしていければいいなと思います。今回少し関節炎があるとの事で鎮痛剤の薬を貰いました。お薬増えちゃったけど頑張って飲もうね、モカ☺︎
クラウドファンディング、残り25日となりました!皆様どうか、ご支援をよろしくお願い致します。


リターン
1,000円+システム利用料
モカへのご支援1.
感謝のメールをモカの写真とご一緒に送らせて頂きます。
あまりお金をかけられず申し訳ありません。
- 申込数
- 4
- 在庫数
- 制限なし
- 発送完了予定月
- 2024年4月
1,000円+システム利用料
モカへのご支援リターン不要
リターン不要ご希望の方はこちらからお願い致します。ありがとうございます。
- 申込数
- 29
- 在庫数
- 制限なし
- 発送完了予定月
- 2024年4月
1,000円+システム利用料
モカへのご支援1.
感謝のメールをモカの写真とご一緒に送らせて頂きます。
あまりお金をかけられず申し訳ありません。
- 申込数
- 4
- 在庫数
- 制限なし
- 発送完了予定月
- 2024年4月
1,000円+システム利用料
モカへのご支援リターン不要
リターン不要ご希望の方はこちらからお願い致します。ありがとうございます。
- 申込数
- 29
- 在庫数
- 制限なし
- 発送完了予定月
- 2024年4月
1 ~ 1/ 24
このページを見た人はこんなプロジェクトもチェックしています
ポン(FIP闘病中)
東山 真理
kinakomozuku
itk311208
渡邉果菜里(NPO法人せぴうるにゃん)
石丸雅代(たんぽぽの里)
福田 佐富美(社)練馬の猫を考える会・理事

猫伝染性腹膜炎を患ったポンちゃんの明日をつないで頂けないでしょうか
100%
- 現在
- 151,000円
- 支援者
- 41人
- 残り
- 1日

命の危機が迫っています!僧帽弁閉鎖不全症・三尖弁閉鎖不全症
105%
- 現在
- 737,000円
- 支援者
- 64人
- 残り
- 18日

【4歳10ヶ月悪性リンパ腫】愛猫きなこの抗がん剤治療のためのご支援
22%
- 現在
- 199,000円
- 支援者
- 50人
- 残り
- 34日

ジジを助けたいです。元野良猫ジジのFIP治療費のお願い。
64%
- 現在
- 500,000円
- 支援者
- 86人
- 残り
- 4日

せぴうるにゃんこサポーター募集
継続寄付
- 総計
- 19人

たんぽぽの里サポーター募集中!保護活動に必要な費用にご支援を
継続寄付
- 総計
- 122人

サポーター募集中/保護猫カフェ閉店で残った猫の飼育への援助を!
継続寄付
- 総計
- 89人
最近見たプロジェクト
三好 仁
書家ごとうみのる
木村奈緒
江本一男(NPO法人えき・まちネットこまつ ...
一般社団法人おひさま 代表 大熊 英樹
ダンスカンパニー Baobab
山川 みやえ

南泉州に、にぎわいを。鉄道イベントで地域を盛り上げたい!
- 支援総額
- 294,000円
- 支援者
- 18人
- 終了日
- 11/30
成立
廃線列車を使い似顔絵と書で人と地域を繋ぐコラボ展を開催したい
107%
- 支援総額
- 323,000円
- 支援者
- 32人
- 終了日
- 8/31
成立

今年4月に「JR福知山線脱線事故から10年展」を開催したい!
114%
- 支援総額
- 400,000円
- 支援者
- 55人
- 終了日
- 3/28

山形の羽前小松駅前でプロレス開催!~地元の"んめもん"と競演
- 支援総額
- 120,000円
- 支援者
- 4人
- 終了日
- 10/5
成立

【第5弾】とまらない物価高に利用者も増加!子ども食堂の継続活動に
136%
- 支援総額
- 4,087,000円
- 支援者
- 106人
- 終了日
- 3/31
成立

ダンスカンパニーBaobab“SHINKA YEAR”にご支援を!
106%
- 支援総額
- 3,191,000円
- 支援者
- 108人
- 終了日
- 8/16
成立

認知症による生きづらさに伴走するプロジェクト。家族も本人も笑顔に
140%
- 寄付総額
- 3,508,000円
- 寄付者
- 263人
- 終了日
- 2/14











