
マンスリーサポーター
目標人数 20人
- 募集終了日
- 2025年1月22日
【もなか君】【ぎん君】の医療についてと【つきまろ君】の投薬
いつも応援ありがとうございます。
年末年始もバタバタと通院が継続しています。
本日は【もなか君】と【ぎん君】の医療についてと【つきまろ君】の投薬についてご報告させていたたきます。
【もなか君】は12月23日愛護センターから迎えてから検査や口の痛みをとる治療、コクシジウムの排除をめざしてきました。

7日に2軒の病院にいき、1軒目の病院で2度目の糞便検査をしました。
結果、コクシジウムは排泄されて、まずは一安心です。
点滴は30日~1日まで。
いただくのを忘れ、自分の飼い猫の輸液を使ってましたのでこちら代わりにいただいてきてます。


2軒目の病院は【もなか君】は初診でしたが前回までの治療では口の中は改善されなかったこと、また、食べては吐くを繰り返しほとんど食べられないことからそのの先の治療をと病院を変えてみました。
口の中は口内炎と歯肉炎が酷いことから次回の血液検査の結果次第でスケーリング、または抜糸を検討しようという話になり、取り敢えずは抗生剤と止血剤の注射、止血剤、消化器系の複数混合剤を2週間継続することとなりました。

帰ってから投薬をしてみましたが痛くて飲み込めないので心配です。
2週間後の通院をと言われてきましたがそこまでは待てないかと思うので13日に【そあら君】の受診に合わせて受診を予定しています。
食べられず段々体重が減ってきています。
とても心配ですが焦らず確実にケアしていきたいと思います。

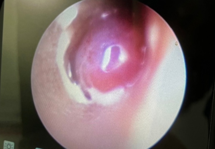
【ぎん君】は8日に予定通りCTと肉腫の切除の手術になりました。

耳の中を見ると大きな出来物?が見受けられたとのことで肉腫なのか異物なのかを確認してから、焼きながら切除とのことでした。

また検討していたCTもしたほうがよいとのことでお願いしました。
傾きやよろけがあることから内耳や中耳にも何らかの異常があるとして、外耳よりも内耳や中耳の様子の確認がメインになるとおっしゃって、内耳や中耳に異常の度合いにより内科的な処置、もしくは外科的な処置をしていくか判断するとして手術に入られました。
手術の結果としては外耳に腫瘍がありそちらを少しずつ取り除いていただきました。


一枚目は手術前、2枚目は切除あと。
こちらは切除していただいた腫瘍です。

ただ問題は鼓膜近くの見えている外耳の腫瘍ではなく、その先。つまり鼓膜の中、中耳の鼓室から腫瘍が派生していると思われるとのこと。

鼓膜を破っての腫瘍の派生とのこと。

幸いこの腫瘍は良性が多いということですが確認の為、病理検査に出すことになりました。
腫瘍が派生していると考えられる鼓室は汚れているのがCTで分かりました。
取り敢えずは外耳の腫瘍をとったことで状態がどうなるかを確認してみたいとのことです。
鼓室の汚れを洗浄するには人間でいう喉、リンパあたりでしょうか?切って、骨をも貫いて洗浄しなければならないそう。
想像するだけで怖いですが、先生の判断により先の治療をするかどうかを決めていきたいと思います。
全ては【ぎん君】の為に。
【ぎん君】は手術から帰ってから20時間が過ぎようとしてますが立ち上がれませんし、身体を起こすこともできません。

本当にこれから回復するか心配ですが私にできることをするだけです。

併せて、18日にCT検査をする【つきまろ君】の薬もいただいてきました。



検査までもうすぐ。
ケアをしていきたいと思います。
コース
500円 / 月

毎月500円ご支援 シンデレラサポーター
★初回ご支援月 感謝のメールをお送りいたします。
★12ヵ月間継続サポート 感謝の手紙をお送りいたします。
★12ヵ月毎継続サポート 毎年1回感謝の手紙をお送りします。
1,000円 / 月

毎月1000円ご支援 シンデレラサポーター
★初回ご支援月 感謝のメールをお送りいたします。
★12ヵ月間継続サポート オリジナルポストカードをお送りいたします。
★12ヵ月毎継続サポート オリジナルポストカードをお送りいたします。
ポストカードの絵柄はお任せになります。 ご了承ください。
500円 / 月

毎月500円ご支援 シンデレラサポーター
★初回ご支援月 感謝のメールをお送りいたします。
★12ヵ月間継続サポート 感謝の手紙をお送りいたします。
★12ヵ月毎継続サポート 毎年1回感謝の手紙をお送りします。
1,000円 / 月

毎月1000円ご支援 シンデレラサポーター
★初回ご支援月 感謝のメールをお送りいたします。
★12ヵ月間継続サポート オリジナルポストカードをお送りいたします。
★12ヵ月毎継続サポート オリジナルポストカードをお送りいたします。
ポストカードの絵柄はお任せになります。 ご了承ください。

シンデレラサポーター募集「飼い主のいない猫」から「幸せな飼い猫」へ
- 総計
- 62人

【緊急支援|大分市 大規模火災へのご支援を】
#医療・福祉
- 現在
- 5,423,000円
- 寄付者
- 594人
- 残り
- 38日

季節の特産品で「行き場の無い猫達」のための活動費をご支援下さい。
- 現在
- 627,000円
- 支援者
- 46人
- 残り
- 5日

老病ねこたちが最後まで安心して過ごせるおうちを守っていきたい!
#医療・福祉
- 現在
- 2,316,000円
- 支援者
- 196人
- 残り
- 5日

愛してくれる家族のもとへ。命を繋ぐ「こころ星サポーター」を大募集!
- 総計
- 6人

歩けるのがうれしい失明犬の光ドッグバンパー製作費の継続支援をぜひ!
- 総計
- 5人

譲渡が困難なビビリ犬やシニア保護犬達の生活支援サポーター募集
- 総計
- 8人









