
支援総額
目標金額 700,000円
- 支援者
- 186人
- 募集終了日
- 2021年5月7日

Protectyou~保護犬猫の医療と介護の継続サポーター募集
#動物
- 総計
- 347人

JWCサポーター大募集中!傷付いた野生動物を救いたい
#子ども・教育
- 総計
- 253人

「ヒグマ対策×ドローン調査で地域の安心を守りたい」
#環境保護
- 現在
- 13,500円
- 支援者
- 3人
- 残り
- 15日

“まあくんの家“応援隊募集‼︎行き先のない子達の医療と継続のために
#動物
- 総計
- 189人

『どの子も幸せに』を目標に!MOKOん家サポーターさん募集
#動物
- 総計
- 121人

僕たちがほじょ犬になるために。マンスリーサポーター募集!
#動物
- 総計
- 32人

小さな命〜行き場のないインコや小動物等の命をつなぐサポーター
#環境保護
- 総計
- 196人
プロジェクト本文
終了報告を読む
2021/04/21 READYFOR事務局追記
本プロジェクトの支援募集を再開いたしました。
詳細は下記をご確認ください。
2021/03/30 READYFOR事務局追記
本プロジェクトは実行者様のご希望により、現在新規支援の受付を停止しています。
詳しくは下記をご確認ください。
【達成のお礼とネクストゴールについて】
この度は沢山の皆様からの貴重なご支援により私たちの目標を達成することができました。
心からお礼を申し上げます。
皆様からの暖かいお言葉、応援の声がとても嬉しく私達の大きな力になっております、ありがとうございます。
これから募集期間がまだ42日間ありますので残りの日数は【ネクストゴール】を設定させていただきたいと思います。
目標金額は100万円とさせてください。
手術後3ヵ月までの毎月の検査費用、その後術後6ヵ月までの2か月に一度の検査費用、また入院の日数が伸びる度に1日2万円の費用が掛かります。残りの募集期間で頂いた資金も全て空の治療費に充てさせて頂きます、よろしくお願いいたします。
▼自己紹介
皆様、こちらのページに目を止めていただきましてありがとうございます。
はじめまして、空の飼い主の安岡と申します。
我が家は、障がいのある娘と、愛犬「若と空」と、下半身麻痺の保護猫「モナ」と暮らしています。
(若と空)
空はロングコートチワワの男の子で9歳になります、空を家族に迎えたきっかけは障がいのある娘が犬を飼って育てるゲームの中で、楽しそうにお世話をしながら犬を育てているのを見て、外にも自由に行けない娘に本当の犬を家族に迎えようと思ったことからでした。
空は今でも娘の大切なパートナーでいつも同じ部屋で仲良く過ごしています。
(娘と空)
小さな頃から真っすぐにこちらを見つめて寄り添ってくれる子でした。
(生後5か月ごろの空)
僧帽弁閉鎖不全症になる前は、天真爛漫で笑顔いっぱい、元気いっぱいでした。
(病気になる前の空)
そして徐々に心臓病が空を苦しめて行きました。。。
▼プロジェクトを立ち上げたきっかけ
空は1年半前のワクチン接種の健康診断で心雑音がするとのことで検査をしました。
レントゲン検査で心臓肥大、エコー検査の結果で僧帽弁閉鎖不全症と診断されました。
それから毎日お薬を欠かさず飲み続けて来ましたが病状は急激に悪くなり、昨年11月に恐れていた急性肺水腫になりました。
(肺水腫で入院中酸素室の中)
入院治療で一旦肺に貯まった水は抜けて退院しましたが、しばらくは酸素室をレンタルして様子観察を絶やさず看病してきました。
息苦しい呼吸と咳き込みの中、背中をさすってあげることしか出来ませんでした。
僧帽弁閉鎖不全症とは心臓の左心房と左心室の間に位置する2枚の薄い弁で、健康な状態なら心臓が収縮するときに閉鎖し左心房への血液の逆流を防いでます。しかし、この僧帽弁閉鎖不全症という病気はこの弁が完全に閉鎖できず、血液の一部が左心房へ逆流する状態になる病気です。その結果左心房の圧が上昇して肺のうっ血が起こります、この状態が長く続くと心不全を起こし肺水腫(肺に水が貯まる)など呼吸困難や左心房の壁が破れて、そこから心臓の外に血液が漏れ出て急死することもあります。
2月10日の心臓検査の診断結果です。
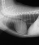
レントゲン検査では、心臓がどんどん大きくなって重度の肥大状態となって気管を圧迫していました。
(正常な心臓)
(肥大した空の心臓)
エコー検査結果では左の画像が弁の状態です、弁がぺらぺらに伸びてちぎれていると言われました。右の画像の虹色部分は血液の逆流を示します、ほとんどの血液が逆流しています。
横で寝ているだけでザーザーと心臓から音が聞こえてきます、逆流していると思うだけで怖くて心配で眠れなくなってしまいます。
医療費と酸素室のレンタル費用の明細の一部です。
現在手術をしていただく「ハレルヤペットクリニック粕屋病院」と何かあった時にすぐに行ける家の近くにある「高橋ペットクリニック」の二件の病院にかかっております。
今、処方されて飲んでいるお薬です「ベトメディン(強心剤)、エースワーカー(血液拡張剤)、フロセミド(利尿剤)」。
2月10日の受診でまた状態が悪くなっていたので、新たにルプラック(強い利尿剤)とテオフィリン(気管支拡張)が処方されました。
一度肺水腫になった子の平均余命は8ヶ月と言われています。
空はこのままだとあと半年。
毎日息苦しい咳込みと咽で体力が消耗しています。
薬は病気を暖和させるにすぎません、また薬を飲み続けるとその代償に腎臓が悪くなっていきます。この病気を治すには手術しかありません、僧帽弁の形成手術しかないのです。
現在手術予定の福岡の病院では、名古屋から手術をされる先生が月に一度だけ来られて手術をされています。月に一度の手術なので昨年の12月の時点で今年の11月しか手術の予約が取れないと言われてました、約1年先では間に合わないだろうと諦めかけていた手術でしたが、診察に伺った時に先生から突然「キャンセルが出たので今一番状態が悪い空くんに手術を!」と提案をいただいたのでした!
4月の手術なら間に合う!空にチャンスが回って来た!この子に手術を受けさせてあげたい!このチャンスを与えさせてあげたいと思いました。
今の苦しみを取り除き普通に生活が出来るようにさせてあげたい。
苦しみながら死んで行く姿を何も出来ずに見ていることはしたくない、やれることはやってあげたい、そして娘の空を助けたい!という強い気持ちからこのプロジェクトを立ち上げました。
▼プロジェクトの内容
空に【僧帽弁閉鎖不全症】治療のための【僧帽弁形成手術】を受けさせます。
全額手術費用に使わせていただきます。
手術予定 4月
ペットクリニックハレルヤ粕屋病院
手術費用 110万円(税込)
READYFOR手数料12%…92400円(税込)
現在50万円ほどの費用は用意いたしました、急に決まった高額な手術費用の残りを用意することが出来ません。どうかお力をお貸しいただけないでしょうか、皆様のあたたかいご支援を空にお願いいたします。
▼プロジェクトの展望・ビジョン
まだ9歳、(人間にすると52歳程度)病気になる前のように元気になり、小型犬の平均寿命まで生きます!
お日様に当たりながら、また元気に笑顔で大好きなお散歩に行けるようになります。
手術後は薬も飲まなくてよくなります、薬で腎臓が悪くなることもなくなります。
手術後も体調管理に気を配り、皆様から頂くご支援に答えられるよう家族で空を守っていきます。
空(犬)の1年は私たちの4年分です、1日1日がどれだけ大切なものなのか考え、この先も「まだまだ一緒にいられてよかった」と心から思える時間をみんなで過ごして行きます。
(空と下半身麻痺の保護猫モナ)
もう心臓病で空が苦しむことは無くなります。
この病気を克服して同じ病気で苦しんでいる子達に、今は手術という選択肢があること、今の医療の進歩を伝えていけたらと思います。
▼リターンについて
ご支援に見合う物とまではいきませんが、娘が作る作品の「羊の金平糖」ブローチと心ばかりの空のオリジナルグッズを用意いたしました。
(画像サンプル)
▼最後に
長文になりましたが、最後まで読んでいただきましてありがとうございます。
手術が早くなった事はとても嬉しい事でしたが、空が僧帽弁閉鎖不全症になってから1年半、これまでに掛かった検査費用、毎日のお薬代、入院費、酸素室のレンタル費用、また個人で保護した病気を抱えた猫さん達の医療費などの捻出で、今すぐに私が出せる高額の手術費用がありませんでした、そんな中娘と空の手術の話しをしていたら、「お給料は空に使う!」と娘が言ったのでした「だからお母さん絶対に手術してよ!」と強く言った事が始まりでした。
現在こちらで用意出来ている手術費用の一部は、娘が毎日休まず障がい者福祉作業所に通い作品を作り、毎月5000円前後のお給料をいただきそれを10年間貯めたお金になります。
今まで使い道を考えなかった、わからなかった子が自分で考えた使い道が空の手術費用でした、最初は「えっ!」と思いましたが、今は一番よい使い道だと思っております。
娘が作っている作品の羊毛フエルトで作るブローチ「羊の金平糖」は同じ物は二つとありません。
世界に一つだけの思いがこもっている作品もこの度のリターンの商品に使うことにしました。
スカーフを止めていただいたり、Tシャツやバッグに付けたりといろんな所に付けて楽しんでいただけたらと思います。
娘は毎日言います「お給料は全部空に使うよ、手術するよ!」と。
「無くなればまた貯めればいいやん」と。
どうしても空に手術をと願う娘の後押しをしていただけませんか、どうか皆様のお力をお貸しください。
ほんとにおっとりしていて可愛い子なんです。
闘病でヨレヨレの日が多いけど、みんなで頑張っています。
成功率95%の手術ですがリスクもあります不安がないわけではありません、でも今、治療法は手術しかありません。
まだまだ一緒にいたいです、息苦しい呼吸から解放してあげたい、もっと生きて欲しいと願います。
どうか空に手術費用のご支援をお願いします!
皆様の暖かいお力を空に与えてくださいよろしくお願い致します。
▼プロジェクトの終了要項
・治療・手術対象
空 (犬 チワワ 9歳 雄)
・治療・手術内容
僧帽弁閉鎖不全症のため僧帽弁形成手術をする
・治療・手術完了予定日
2021年4月18日
※このプロジェクトは All or Nothing 方式になるため1円でも目標金額に到達しない場合は全額支援者様に返金される方式です。
※本プロジェクト成立後から手術までの待機期間中に万が一亡くなってしまった場合でも、ご支援金の返金は致しかねます、なおその場合は資金をこれまでの入院費、治療費、検査費、下半身麻痺の保護猫のモナの治療費、オムツ代、また保護猫達の治療費に使わせていただきます。
あなたのシェアでプロジェクトをさらに応援しよう!
プロフィール
はじめまして、安岡と申します。障害のある娘と愛犬若と空、下半身麻痺の保護猫モナと暮らしております。空の手術費用のご支援のお願いのためクラウドファンディングを立上げました、よろしくお願いします。 現在猫さんの保護活動とTNR活動も個人で行っております。 Instagram @wakatosora.yasuoka.h で日々の出来事を綴っています。 見てくださいね!
あなたのシェアでプロジェクトをさらに応援しよう!
リターン
1,000円

全力応援コース①
☆活動報告をブログよりさせていただきます。
☆感謝の気持ちを込めたお礼のメールと空の画像をお送りさせていただきます。
※ご支援すべてを手術費用とさせていただきます。
※コロナウイルスの影響でリターンが遅延する場合は活動報告より随時予定を報告させていただきます。
- 申込数
- 61
- 在庫数
- 制限なし
- 発送完了予定月
- 2021年6月
3,000円

全力応援コース②
☆活動報告をブログよりさせていただきます。
☆感謝の気持ちを込めたお礼のメールと空の画像をお送りさせていただきます。
※ご支援すべてを手術費用とさせていただきます。
※コロナウイルスの影響でリターンが遅延する場合は活動報告より随時予定を報告させていただきます。
- 申込数
- 56
- 在庫数
- 制限なし
- 発送完了予定月
- 2021年6月
1,000円

全力応援コース①
☆活動報告をブログよりさせていただきます。
☆感謝の気持ちを込めたお礼のメールと空の画像をお送りさせていただきます。
※ご支援すべてを手術費用とさせていただきます。
※コロナウイルスの影響でリターンが遅延する場合は活動報告より随時予定を報告させていただきます。
- 申込数
- 61
- 在庫数
- 制限なし
- 発送完了予定月
- 2021年6月
3,000円

全力応援コース②
☆活動報告をブログよりさせていただきます。
☆感謝の気持ちを込めたお礼のメールと空の画像をお送りさせていただきます。
※ご支援すべてを手術費用とさせていただきます。
※コロナウイルスの影響でリターンが遅延する場合は活動報告より随時予定を報告させていただきます。
- 申込数
- 56
- 在庫数
- 制限なし
- 発送完了予定月
- 2021年6月
プロフィール
はじめまして、安岡と申します。障害のある娘と愛犬若と空、下半身麻痺の保護猫モナと暮らしております。空の手術費用のご支援のお願いのためクラウドファンディングを立上げました、よろしくお願いします。 現在猫さんの保護活動とTNR活動も個人で行っております。 Instagram @wakatosora.yasuoka.h で日々の出来事を綴っています。 見てくださいね!












