支援総額
目標金額 25,000,000円
- 支援者
- 2,002人
- 募集終了日
- 2025年3月31日
「交通事故から命を救う──ICUで回復した保護猫けんしろうの奇跡」
こんにちは。たんぽぽキャットクリニック院長の椿です。
本日は、交通事故で重傷を負い、ICUでの集中治療により命を取りとめた保護猫けんしろうちゃんのエピソードをご紹介します。
🚨 夜間の交通事故──救急搬送されたけんしろうちゃん
ある夜、交通事故に遭い、保護された猫が救急で当院に運ばれてきました。
その子が「けんしろうちゃん」です。
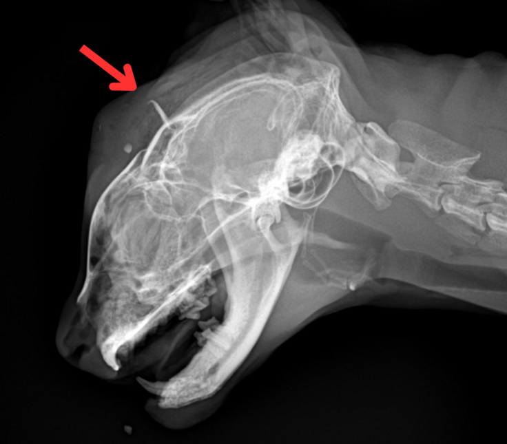
事故によって頭を強く打ち、頭部と鼻からの出血があり、ぐったりと横たわったまま動くことができない状態でした。
レントゲン検査の結果、頭蓋骨の骨折が確認され、呼吸も早く、肺出血(肺挫傷)の可能性も高いという、非常に危険な状態でした。

🏥 ICU管理でつながった命
すぐに、脳圧を下げるための点滴、抗生剤、止血剤の投与を行い、ICU(集中治療室)での管理に入りました。
ICUでは、
-
酸素吸入
-
血圧・呼吸モニタリング
-
水分・体温・栄養管理
など、24時間体制で命を支える処置が行われます。
けんしろうちゃんは、数日間の集中管理の末、奇跡的に危機を乗り越えました。
少しずつ食欲が戻り、立ち上がり、鳴く力も取り戻していったその姿に、スタッフ一同胸が熱くなりました。
【事故直後のレントゲン写真:頭蓋骨に骨折がある】

🐾 回復後のけんしろうちゃんは“子猫の世話焼き係”に
治療を終えて元気になったけんしろうちゃんは、性格がとても優しいお兄さん猫に。
なぜか子猫たちが気になって仕方がない様子で、自分から寄って行っては世話を焼く毎日。
保護時の体重は5.5kgと大柄でしたが、現在は6.9kgにまで増加し、スリスリと甘える元気な男の子に成長しました。
事故の影響で片足にわずかな後遺症が残ったものの、日常生活にはほとんど支障がなく、今では走ったりジャンプしたりもできるようになっています。

🚑 救急医療がなければ助からなかった命
交通事故に遭った保護猫は、一刻を争う緊急対応が必要です。
けんしろうちゃんの命が救われたのは、
-
夜間でも診察・レントゲン撮影ができたこと
-
ICU管理が可能な医療設備があったこと
-
経験あるスタッフが迅速に対応できたこと
これらが揃っていたからこそです。
しかし、多くの地域ではこうした医療体制が整っていないのが現実です。
だからこそ、「どこでも必要な医療が届けられる移動手術車(レスキューカー)」の存在が必要なのです。
🐱 移動手術車があれば、もっと多くの命が救える
現在私たちは、保護猫や災害時の動物たちに迅速な医療を届けるため、移動型の動物病院=移動手術車の整備を目指しています。
この車があれば、交通事故や災害など突発的なトラブルに対応できるだけでなく、地域の医療格差も補える存在になります。
獣医師やボランティアが一丸となって命を救える、そんな新しい連携の仕組みを形にしたいのです。
🐾 どうか、力を貸してください
けんしろうちゃんの命が助かったように、これからも多くの猫たちを救えるように。
私たちの想いと、皆さまのご支援が合わさることで、「助けられる命」は確実に増えていきます。
どうか最後まで、このプロジェクトを応援してください。
リターン
3,000円+システム利用料
全力応援|3千円
■お礼のメッセージ
- 申込数
- 980
- 在庫数
- 制限なし
- 発送完了予定月
- 2025年5月
10,000円+システム利用料
全力応援|1万円
■お礼のメッセージ
- 申込数
- 644
- 在庫数
- 制限なし
- 発送完了予定月
- 2025年5月
3,000円+システム利用料
全力応援|3千円
■お礼のメッセージ
- 申込数
- 980
- 在庫数
- 制限なし
- 発送完了予定月
- 2025年5月
10,000円+システム利用料
全力応援|1万円
■お礼のメッセージ
- 申込数
- 644
- 在庫数
- 制限なし
- 発送完了予定月
- 2025年5月

たんぽぽの里サポーター募集中!保護活動に必要な費用にご支援を
- 総計
- 122人

救う命を選ばない。どんな犬猫も保護し続け福岡の里親さんを増やしたい
#動物
- 現在
- 3,006,000円
- 支援者
- 283人
- 残り
- 1日

ゆきねこサポーター募集中|保護猫シェルター幸せの家へご支援を
- 総計
- 111人

老病ねこたちが最後まで安心して過ごせるおうちを守っていきたい!
- 現在
- 1,931,000円
- 支援者
- 146人
- 残り
- 8日

にゃんこのしっぽサポーター募集★石垣島の捨てられた猫たちに治療を!
- 総計
- 124人

行き場のない猫たちに幸せな明日を届けたい。保護猫たちの医療費支援を
- 現在
- 1,755,000円
- 支援者
- 134人
- 残り
- 29日

JWCサポーター大募集中!傷付いた野生動物を救いたい
- 総計
- 253人







.png)













