
支援総額
815,000円
目標金額 400,000円
- 支援者
- 113人
- 募集終了日
- 2022年4月17日
https://readyfor.jp/projects/tono?sns_share_token=&utm_source=pj_share_url&utm_medium=social
2022年04月15日 21:43
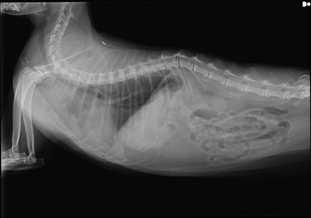
腫瘍と胸水が確認されました

本日、抗がん剤治療のため、病院に行ってきました。
血液検査は、抗がん剤治療が行えるギリギリの範囲ということで、予定通り投与を行いましたが、レントゲンを撮ったところ、これまで縮小していた腫瘍が、再び、大きくなってきていました。
さらに、胸水が溜まってきており、数日、特に注意して様子を見てくださいとのことでした。
2か月半ほど、治療を頑張ってきたのに、良くならないなんて、心が折れそうですが、殿の為に頑張ります。
リターン
500円

との応援コース:500
感謝のメールを送らせて頂きます!
ご支援いただいた支援金は全額、治療費にさせて頂き、費用の掛からないリターンとさせて頂きます。
- 申込数
- 16
- 在庫数
- 制限なし
- 発送完了予定月
- 2022年5月
1,000円

との応援コース:1000
感謝のメールと殿の画像1点を送らせて頂きます!
ご支援いただいた支援金は全額、治療費にさせて頂き、費用の掛からないリターンとさせて頂きます。
- 申込数
- 18
- 在庫数
- 制限なし
- 発送完了予定月
- 2022年5月
500円

との応援コース:500
感謝のメールを送らせて頂きます!
ご支援いただいた支援金は全額、治療費にさせて頂き、費用の掛からないリターンとさせて頂きます。
- 申込数
- 16
- 在庫数
- 制限なし
- 発送完了予定月
- 2022年5月
1,000円

との応援コース:1000
感謝のメールと殿の画像1点を送らせて頂きます!
ご支援いただいた支援金は全額、治療費にさせて頂き、費用の掛からないリターンとさせて頂きます。
- 申込数
- 18
- 在庫数
- 制限なし
- 発送完了予定月
- 2022年5月
1 ~ 1/ 17
このページを見た人はこんなプロジェクトもチェックしています
石丸雅代(たんぽぽの里)
ボランティア ねこ活(代表)
NPO法人ツシマヤマネコを守る会
kinakomozuku
渡邉果菜里(NPO法人せぴうるにゃん)
一般社団法人 保護猫応援ファーム
NPO法人くすのき 代表 那須美香

たんぽぽの里サポーター募集中!保護活動に必要な費用にご支援を
継続寄付
- 総計
- 122人

シンデレラサポーター募集「飼い主のいない猫」から「幸せな飼い猫」へ
継続寄付
- 総計
- 62人

絶滅危惧種ツシマヤマネコを守るために!月々のご支援で安定的な整備を
継続寄付
- 総計
- 147人

【4歳10ヶ月悪性リンパ腫】愛猫きなこの抗がん剤治療のためのご支援
23%
- 現在
- 214,000円
- 支援者
- 54人
- 残り
- 33日

せぴうるにゃんこサポーター募集
継続寄付
- 総計
- 19人

保護猫応援ファームのサポーター募集中!保護猫活動の継続支援を!
継続寄付
- 総計
- 13人

くすのき応援隊募集|無垢な瞳に目眩い未来を!
継続寄付
- 総計
- 80人
最近見たプロジェクト














