
支援総額
目標金額 200,000円
- 支援者
- 47人
- 募集終了日
- 2023年7月28日

ゆきねこサポーター募集中|保護猫シェルター幸せの家へご支援を
#環境保護
- 総計
- 111人

猫伝染性腹膜炎を患ったポンちゃんの明日をつないで頂けないでしょうか
#動物
- 現在
- 198,000円
- 支援者
- 45人
- 残り
- 3時間

【4歳10ヶ月悪性リンパ腫】愛猫きなこの抗がん剤治療のためのご支援
#医療・福祉
- 現在
- 233,000円
- 支援者
- 60人
- 残り
- 33日

老病ねこたちが最後まで安心して過ごせるおうちを守っていきたい!
#医療・福祉
- 現在
- 2,052,000円
- 支援者
- 163人
- 残り
- 7日

たんぽぽの里サポーター募集中!保護活動に必要な費用にご支援を
#地域文化
- 総計
- 122人

愛知県豊川市で保護された子猫30匹の里親募集!
#環境保護
- 現在
- 342,000円
- 支援者
- 41人
- 残り
- 19日

置き去りにされた猫に手術を行いたい
#地域文化
- 現在
- 366,000円
- 支援者
- 63人
- 残り
- 2日
プロジェクト本文
終了報告を読む
▼自己紹介
はじめまして。関西在住の 松村と申します。
交通事故で動けなくなった野良猫の命を助けたく、中学生の娘と母でこのプロジェクトを立ち上げました。
ご支援金額は、全額支払済みの入院手術費用および退院後の処置にかかった治療費に充てさせていただきます。
▼プロジェクトを立ち上げたきっかけ
~中学生の娘の想い~
交通事故!?
2023年5月20日
この日は学校の土曜参観で、午前中だけ授業の日。
その帰宅途中の道で、ぐったりした猫を発見しました。
最初は死んでいると思い近寄ると、呼吸をしているのが分かりました。
よく見ると、普段我が家の近くで見かける野良猫でした。
いつもなら近づくとサッと逃げるのに、この日はぐったりしていて動けません。
どうやら後ろ足が動かない様子。近づくと「シャー」と精一杯の力で怒ってきます。
でも、その瞳には力がないのは一目瞭然でした。
車道の縁石側に倒れていたので、傍を通る車に轢かれかねない状況です。
早く助けてあげたいのに、抱きかかえることもできないくらい、殺気立って怒っています。
熱中症も心配
この日は天気も良く、ちょうどお昼時だったため燦々と日が照っています。
このままでは私たちも、この猫ちゃんも熱中症になりそう。
慌てて水を用意しましたが、一滴も飲んでくれません。
「かわいそう...このままでは死んでしまう...どうにかしなくちゃ!」という気持ちでいっぱいでした。
20分~30分ほど膠着状態が続きました。
集まってきたお友達、近所の工事現場のおじさんたちと知恵を絞り、段ボールを用意。
すると暑い日差しを避けるためか、前足だけでなんとか段ボールに入ってくれました。
それから、近所の動物病院へ直行しました。
今夜が山
動物病院では応急処置をしてもらいました。
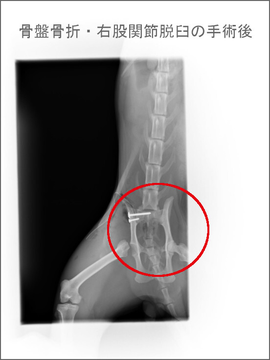
【診断結果】
・骨盤骨折
・右股関節脱臼
その他、次の症状もありました。
・脱水症状
・貧血
骨折をしているので、内臓損傷の危険もあるとのこと。
点滴をしてもらい、入院をすることに。
「今夜が山」と言われました。
一命を取り留める
週が明け、病院から「一命を取り留めた」と連絡がありました。
一方で治療を続けると高額の医療費がかかることを告げられました。
少ししょぼんとしてはいるものも、瞳の色が良くなっていて、ほっとしました。
絶対に家で飼ってあげたいと思いました。
市の動物管理センターへ相談
母が市の動物管理センターに相談しました。
動物を一時預かりしてもらい、新たな飼い主さんに引き渡せたらと考えました。
でも、残念なことに負傷動物は引き取り手がいないため、
管理センターで引き取った後は殺処分になると言われました。
クラウドファンディングに挑戦
父と母は悩んでいる様子でした。
うちには飼い犬が1匹います。
そして私には小学生の弟2人と妹1人がいて、父も母もいつも忙しそうです。
そんな我が家に、介護が必要になるかもしれない、しかもなつくかもわからない野良猫を引き取っていいのかと。
それに加え、私には持病がありその治療のための手術をして半年も経っていません。
高額治療をしたばかりだったこともあり、お金の面でも心配とのことでした。
そんな状況を見て「クラウドファンディングしようよ!」と母に相談しました。
面倒はきちんと見るから...
~4児の母の想い~
”間一髪”我が家の子になってもらう
長女からクラウドファンディングの提案があっても、迷っていました。
我が家には手のかかるやんちゃ盛りの小学生が3人、進路のことが気になり始めた中学生の娘もいます。
正直、いくらかかるかわからない費用のことも心配でした。
でも、我が家の意思で動物管理センターへ引き取りを依頼し、殺処分していいのか...
救うつもりが真逆になってしまいかねない事態に心が追いつきませんでした。
普段は学校がない土曜日のあの時間に、出会ったのは運命に違いない。
我が家で面倒をみる。
と覚悟を決めることにしました。
動物管理センターへは、我が家で飼うことを伝えました。
実は、既に担当者の方は動物病院に引き取りに向かっていたところで、まさに間一髪でした。
動物病院の先生にも我が家の子になってもらうことを伝えました。
すると、できる限りの協力をしてくださると仰ってくれました。
命名”クッキー”
正式に我が家の子たちになると決めてから、子どもたちで名前を付けました。
次女発案で”クッキー”です。
理由は、クッキーみたいな色で可愛いから。
そして、我が家の先住犬”ミルクン”も
毛の色にちなんだミルク由来で、ミルクとクッキーは相性がいいから。
手術成功!
貧血がひどく、手術に耐えられるかわからないとギリギリまで血液検査とにらめっこ...
何とか手術予定日までに持ちこたえてくれたクッキー。
骨盤の骨折、脱臼の手術のほか、去勢手術も一緒にしてもらいました。
内出血はあるものの、目立った内臓の損傷はなく、トイレも自分でできると聞き、ホッとしました。
入院生活
命の危機から一転して、術後の回復は順調。
お見舞いに行っても、シャーッと怒ってなかなかツレナイ態度もみせます。
でも、絶対に仲良くなってみせると決めました。
13日の入院期間を経て退院
2023年6月1日。
術後の経過が順調とのことで、予定よりも早く退院できました。
ちゃんと生きている姿をみて、
あの日助けたこと・我が家で引き取ると決めたことは
間違いじゃなかったと心から思えるようになりました。
▼プロジェクトの内容
クッキーの入院手術費用および退院後の処置にかかった治療費のご支援をお願いいたします。
診断書
診療明細書
プロジェクト申請時点合計金額…¥204,072
(2023/06/12現在)
■2023/06/01…¥196,702
【内訳】2023/05/20~06/01までの入院手術費用
本来なら、この倍ほどの費用が掛かると言われており、覚悟をしていました。
ですが、ことの一部始終を理解してくださった動物病院の先生のご厚意で
今回だけ特別に、入院から退院までの費用は愛情価格となっています。
退院後は、我が家の飼い猫として通常適正価格での診療代がかかります。
■2023/06/06…¥6,270
再診
術後のレントゲン撮影
■2023/06/13…¥1,100
再診
術後の抜糸等処置
※上記まで、必要最低限の治療をした金額となります。
保護猫として生活していくための費用は自己資金を充ててまいります。
▼プロジェクトの展望・ビジョン
治療を継続
クッキーの体が回復するまで治療を続けます。
定期的な通院が必要になると動物病院の先生には伝えられています。
また、上記は最低限の治療を施したものになり、今後は飼い猫として必要な予防接種などを受けます。
後遺症がどの程度残るのか現時点では不明なため、リハビリ等のサポートをする予定です。
我が家の飼い猫になります
元々野良猫だったクッキーは、外の生活が恋しいようです。
ですが、今後は家猫として飼うことが望ましいと先生にアドバイスをいただきました。
骨折後しばらくはケージ内での飼育が必要とのことです。
少し窮屈ですが、ワンコ用のケージでしばらくリハビリ生活となります。
回復が進んだら、環境を整えてあげようと考えています。
我が家の子どもたち4人は、既にクッキーが大好き!
あとは、先住犬・チワワのミルクンと徐々に仲良くなってもらいたいと考えています。
経過や家での様子はinstagramでも報告していきます。
<ご支援にあたっての注意事項>
▶︎ 1. ペット保険について
①ペット保険による補償の有無:無
②補填対象の治療名と金額:無
▶︎ 2. 万が一の場合の代替の資金使途について
万が一、クッキーが亡くなってしまった場合、いただいた支援金については、返金はせずこれまでの治療費に当てさせていただきます。
▶︎ 3. 問い合わせ先について
本クラウドファンディングに関するお問合せは、以下までご連絡ください。
・メール:with.neco.cookie@gmail.com
・Instagramアカウント名: with_neco_cookie
▶︎ 4. 掲載している資料について
ページ上に掲載している診断書や診療明細書などの資料は全て動物病院から掲載の許諾を得ております。
▶︎ 5.治療方針などが変更になった場合について
プロジェクト実施完了までの間に、治療方針や治療の要否に変更が生じた場合、支援者の皆様、READYFOR事務局に速やかにお伝えします。
▶︎ 6.READYFOR事務局からのご連絡
ペットの治療費用を集めるクラウドファンディングに関しては、以下のガイドラインもご確認ください。
ペットの治療費用を集めるクラウドファンディングに関する当社の考え
https://legal.readyfor.jp/guidelines/launching_project/pet_care/
- プロジェクト実行責任者:
- 松村 真紀子
- プロジェクト実施完了日:
- 2023年7月30日
プロジェクト概要と集めた資金の使途
インスタグラムを使い日々の様子を更新し、支援を呼びかけます。集まった資金はすでに支払済みの入院手術費用および退院後の処置にかかった治療費に充てさせていただきます。
リスク&チャレンジ
- プロジェクトに必要な金額と目標金額の差額について
- 必要金額と目標金額の差額は自己資金にて補填いたします。
あなたのシェアでプロジェクトをさらに応援しよう!
プロフィール
学校帰りに交通事故で負傷していた野良猫を助けました。手術ののち、うちの子・クッキーになりました。我が家は、父・母・子ども4人・先住犬1匹・クッキーの大家族です!
あなたのシェアでプロジェクトをさらに応援しよう!
リターン
1,000円+システム利用料

がんばれ!クッキー♡感謝のメール 1,000円コース
●感謝のメールを送ります(クッキー画像付き)
●Instagramにてクッキーの近況を報告します
●ご支援金を全額活用させていただきます
- 申込数
- 20
- 在庫数
- 制限なし
- 発送完了予定月
- 2023年9月
3,000円+システム利用料

がんばれ!クッキー♡感謝のメール 3,000円コース
●感謝のメールを送ります(クッキー画像付き)
●Instagramにてクッキーの近況を報告します
●ご支援金を全額活用させていただきます
- 申込数
- 17
- 在庫数
- 制限なし
- 発送完了予定月
- 2023年9月
1,000円+システム利用料

がんばれ!クッキー♡感謝のメール 1,000円コース
●感謝のメールを送ります(クッキー画像付き)
●Instagramにてクッキーの近況を報告します
●ご支援金を全額活用させていただきます
- 申込数
- 20
- 在庫数
- 制限なし
- 発送完了予定月
- 2023年9月
3,000円+システム利用料

がんばれ!クッキー♡感謝のメール 3,000円コース
●感謝のメールを送ります(クッキー画像付き)
●Instagramにてクッキーの近況を報告します
●ご支援金を全額活用させていただきます
- 申込数
- 17
- 在庫数
- 制限なし
- 発送完了予定月
- 2023年9月
プロフィール
学校帰りに交通事故で負傷していた野良猫を助けました。手術ののち、うちの子・クッキーになりました。我が家は、父・母・子ども4人・先住犬1匹・クッキーの大家族です!










