
支援総額
目標金額 550,000円
- 支援者
- 54人
- 募集終了日
- 2023年6月23日

救う命を選ばない。どんな犬猫も保護し続け福岡の里親さんを増やしたい
#動物
- 現在
- 3,166,000円
- 支援者
- 297人
- 残り
- 1日

絶滅の危機に瀕しているシマアオジ 彼らのいる景色を取り戻したい
#国際協力
- 現在
- 4,338,400円
- 寄付者
- 372人
- 残り
- 3時間

老病ねこたちが最後まで安心して過ごせるおうちを守っていきたい!
#医療・福祉
- 現在
- 1,990,000円
- 支援者
- 156人
- 残り
- 8日

行き場のない猫たちに幸せな明日を届けたい。保護猫たちの医療費支援を
#動物
- 現在
- 1,774,000円
- 支援者
- 138人
- 残り
- 29日

たんぽぽの里サポーター募集中!保護活動に必要な費用にご支援を
#地域文化
- 総計
- 122人

海岸に住む野良猫たちへ幸せな暮らしを。
#動物
- 現在
- 261,000円
- 支援者
- 56人
- 残り
- 10日

せぴうるにゃんこサポーター募集
#子ども・教育
- 総計
- 19人
プロジェクト本文
終了報告を読む
※プロジェクトページには一部、動物がケガをしている画像等センシティブな内容が含まれています。
ご支援ありがとうございます。
治療継続中のハルくんの近況は、twitter(@zharu20232023)にて
写真付き&リアルタイムでお知らせしております。
文末にリンクを貼ってますのでご覧ください。
▼自己紹介
静岡県在住、フリーのグラフィックデザイナーです。
デザインと猫とランニングが好きです。
ミックスの雌猫(19歳)を連れて昨年末に実家に帰ってきました。
▼プロジェクトを立ち上げたきっかけ
◆2023年3月31日
いつものランニングコースで黒い塊をみつけました。
田んぼの端で、何かがうずくまっているようでした。
近付くと「子猫」だとわかりました。
動けずに片目がつぶれているようでした。
直ぐにS動物病院に連れて行きました。
酷い脱水症状で体重が1.5kgでした。通常の猫より1kgも痩せてました。
診察後、ウェットフードをあげると凄い勢いで食べ始めました。
必死に生きようとしていました。
◆2023年4月3日 S病院にて
S病院で下痢止め、鼻水用点鼻薬を処方してもらいました。
しかし、以下症状が気になり、セカンドオピニオンを決めました。
・下痢ぎみ、ノミ、シラミ、耳ダニが大量にいる
・前足だけで這って歩く
・腰が立たずトイレが上手くできない
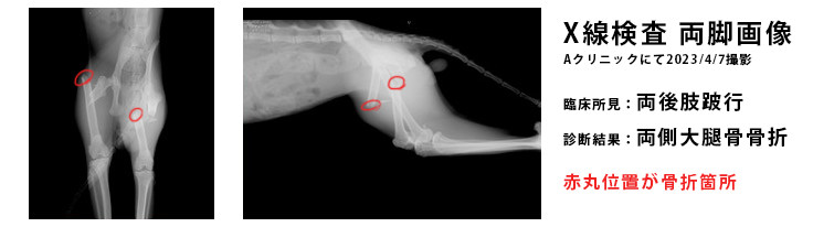
◆2023年4月7日 Aクリニックにて
Aクリニックで、X線検査、耳垢検査をしてもらい「両脚大腿骨骨折」の診断を受けました。
筋肉と骨が間違った位置で癒着してしまうので、「早期手術が必要」といわれました。
整形外科があるH病院を紹介されました。
◆2023年4月8日 H病院にて
H病院にX線検査結果のデータを持ち込み、手術の説明を受けました。
結果、以下金額(500,753円+19,910円)となりました。
生まれて1年未満の子猫(雄)です。
このまま走ることができないのは余りにも不憫でなりません。
また、里親に出すにしても、手術をしないと貰い手がみつかりません。
高額で大手術となりますので、多くの方にご支援をお願い致したく
プロジェクトを立ち上げました。
▼プロジェクトの進捗
◆2023年4月11日
手術までには身体を清潔に保ち、健康状態をよくする為、
Aクリニックで毛刈りをお願いしました。
シャンプーでは落とせない程に全身にシラミがいたので、その為の処置です。
▼手術同意書・麻酔同意書
麻酔関連死の割合は猫で0.24%だそうです。
ハルくんはASA2(単純骨折)に分類されるため麻酔によるリスクは高くないそうです。
▼手術前の総合検査 「骨折のせいで多少の炎症はあるが許容範囲」とのことでした。
▼心臓と血液の検査 血友病の疑いもなく、心臓も正常でした。
◆2023年4月14日
子猫の成長を鑑みて、骨と筋肉の癒着が始まる前に
「早期手術」が必要でしたので、両脚大腿骨骨折手術をしました。
4時間以上にも渡る長時間の手術だったため、現在は術後の経過をみています。
まだ歩けるかはわかりません。
▼まとめ
・骨折が治癒し、歩行に問題がなくなるまで治療を続けます。
・里親がみつからない場合は責任をもって飼育します。
保護猫が元気に生きていく為、これまでの手術・検査・診療代の
ご支援をどうぞ宜しくお願いします。
---------------------------------------------------------------------------------------------------
<リターンについて>
リターンの品を支援額ごとに設定。プロジェクト終了後の2か月以内にお届けします。
※ハルくんの健康状態が万全でない場合は、新たな撮影が難しい為、手元にある写真や動画で対応いたします。
<ご支援にあたっての注意事項>
▶︎ 1. ペット保険について
①ペット保険による補償の有無:無
②補填対象の治療名と金額:無
▶︎ 2. 万が一の場合の代替の資金使途について
万が一、ハルちゃんが亡くなってしまった場合、いただいた支援金については、返金はせずこれまでの治療費に当てさせていただきます。
▶︎ 3. 問い合わせ先について
本クラウドファンディングに関するお問合せは以下までご連絡ください。
連絡先 mako3070145@gmail.com
インスタグラム https://www.instagram.com/zmakoto30/
▶︎ 4. 掲載している資料について
ページ上に掲載している診断書や診療明細書などの資料は全て動物病院から掲載の許諾を得ております。
▶︎ 5. 治療方針などが変更になった場合について
プロジェクト実施完了までの間に、治療方針や治療の要否に変更が生じた場合、支援者の皆様、READYFOR事務局に速やかにお伝えします。
▶︎ 6. READYFOR事務局からのご連絡
ペットの治療費用を集めるクラウドファンディングに関しては、以下のガイドラインもご確認ください。
【ペットの治療費用を集めるクラウドファンディングに関する当社の考え】
https://legal.readyfor.jp/guidelines/launching_project/pet_care/
◆保護猫ハルくんのtwitterアカウントは、リアルタイム更新です。
- プロジェクト実行責任者:
- 内田真琴
- プロジェクト実施完了日:
- 2023年7月30日
プロジェクト概要と集めた資金の使途
◆目標資金55万円:H病院 手術費50.07万円、H病院 診療費2.37万円、Aクリニック診療費2.58万円、猫のフード代0.5万円 ・4月14日 両側大腿骨骨折の手術。 (インプラント固定は固定から癒着まで3か月は必要) ・5~6月 手術経過をレントゲンで確認、診察受ける。 ・7月 歩行状態を見て、神経のトラブル有無を確認、完治。 ※術後に発生する診療費は自費で賄うものとする。
あなたのシェアでプロジェクトをさらに応援しよう!
プロフィール
静岡県在住のフリーのグラフィックデザイナーです。 猫とランニングとデザインが好きです。 19歳になる猫と実家で暮らしています。 ハルくんに関する更新は、Twitterが早いです。
あなたのシェアでプロジェクトをさらに応援しよう!
リターン
1,000円+システム利用料

1千円コース|お礼メール
・お礼メール
- 申込数
- 32
- 在庫数
- 制限なし
- 発送完了予定月
- 2023年7月
3,000円+システム利用料

3千円コース|お礼メールと写真1枚(データ送付)
・お礼メール
・猫の写真(データ送付)
- 申込数
- 22
- 在庫数
- 制限なし
- 発送完了予定月
- 2023年9月
1,000円+システム利用料

1千円コース|お礼メール
・お礼メール
- 申込数
- 32
- 在庫数
- 制限なし
- 発送完了予定月
- 2023年7月
3,000円+システム利用料

3千円コース|お礼メールと写真1枚(データ送付)
・お礼メール
・猫の写真(データ送付)
- 申込数
- 22
- 在庫数
- 制限なし
- 発送完了予定月
- 2023年9月
プロフィール
静岡県在住のフリーのグラフィックデザイナーです。 猫とランニングとデザインが好きです。 19歳になる猫と実家で暮らしています。 ハルくんに関する更新は、Twitterが早いです。








