
支援総額
目標金額 1,600,000円
- 支援者
- 408人
- 募集終了日
- 2023年12月5日

命の危機が迫っています!僧帽弁閉鎖不全症・三尖弁閉鎖不全症
#医療・福祉
- 現在
- 737,000円
- 支援者
- 64人
- 残り
- 17日

【4歳10ヶ月悪性リンパ腫】愛猫きなこの抗がん剤治療のためのご支援
#医療・福祉
- 現在
- 211,000円
- 支援者
- 53人
- 残り
- 33日

愛犬の心臓の手術が決まりました!少しだけ手助けしてもらえませんか?
#動物
- 現在
- 44,000円
- 支援者
- 12人
- 残り
- 28日

猫伝染性腹膜炎を患ったポンちゃんの明日をつないで頂けないでしょうか
#動物
- 現在
- 193,000円
- 支援者
- 44人
- 残り
- 21時間

ジジを助けたいです。元野良猫ジジのFIP治療費のお願い。
#動物
- 現在
- 507,000円
- 支援者
- 89人
- 残り
- 3日

出会った命を守りたい!マンスリーサポーター募集中!
#動物
- 総計
- 160人

先天性門脈体外循環シャントの愛犬ゆむにご支援をお願いします
#地域文化
- 現在
- 164,000円
- 支援者
- 22人
- 残り
- 34日
プロジェクト本文
終了報告を読む
【ネクストゴールに挑戦します!!!】
この度は皆様からのご支援やご協力のおかげで目標金額を達成することが出来ました!!
心より感謝申し上げます。
私一人の力では何も出来ませんでしたがたくさんの方々の応援やアドバイスなど本当に助けられてきました。
毎日のように拡散のご協力をいただいた方や毎日あたたかいメッセージで励ましてくれる方。
私たちに携わっていただいた全ての皆さんのおかげです。
正直心が折れそうな時もたくさんありました。
こむぎの体調が優れず、クラウドファンディングも成功するかどうかも分からない先の見えない日々のプレッシャーに押しつぶされそうになった時もいつもそっとあたたかい手を差し伸べて頂きました。
本当に皆さんに支えられてここまで来れました。
直接のお礼を申し上げられないのが悔しいですがこの場をお借りして心より御礼を申し上げます。
今回皆様のご協力のおかげでクラウドファンディング募集終了日よりも10日ほど早く達成させて頂きましたので
ネクストゴール
に挑戦させていただくことと致しました。
挑戦を決めさせていただいた理由としましては術後の検査費用や投薬も含めて高額な治療費がかかるため。
こむぎの手術費用+入院費用+検査費用+お薬代などを合わせると概ね200万円〜220万円ほどかかると言われております。
(入院の日数や術後の合併症や回復具合によって前後します)
今回のクラウドファンディングを挑戦するにあたってまずはこむぎになんとか手術を受けさせてあげたい。そしてクラウドファンディングの仕組み上達成しなければ一円も私たちはいただいた支援金を手にできない。という点から必要金額より少し低めの金額の設定をしておりました。
実際には
●手術費用・・・1,430,000円
●入院費用・・・400,000〜500,000円(術後の回復具合や入院日数によって変動します)
●術後の検査費用、お薬代・・・100,000円以上(術後の状態によって変動します)
別途で手術をするにあたっての手術前検査費用が約100,000円ほどかかります。
※僧帽弁閉鎖不全症と診断されてからの治療費等は含まれておりません。
上記のことを踏まえてネクストゴールでの目標金額を【190万円】に設定させてください。
ネクストゴール目標金額 1,900,000円
READYFORの手数料・・・12%
早期入金オプション・・・3%
税・・・10%
手数料差し引き後の金額 1,586,500円
となります。
※仮にネクストゴールの金額を達成できなかった場合も、自己資金を元に実施はさせていただく予定ではありますが、皆様から多くのご支援をいただけますと幸いです。
クラウドファンディングを開始してから本当に毎日皆様からたくさんの応援やご支援を頂きました。
また追加でのご支援をお願いすることになり、大変申し訳ございません。
私たちもこむぎの病と戦うために生活を切り詰めてきましたが限界を超えてきています。
誠に勝手ではありますがどうか皆様からの更なるあたたかいご支援ご協力をよろしくお願い致します。
私たちもこむぎのために一生懸命頑張りますのでこれからも応援よろしくお願いします!!!
▼自己紹介
はじめまして。たくさんのプロジェクトがある中お目に留めていただきありがとうございます。
愛犬 こむぎ(10歳♀)飼い主の神奈川県在住の栗原と申します。
こむぎは2013年2月に我が家に迎え入れ家族となりました。
白くてもこもこしていたのでこむぎと名付けました。
我が家に来た頃のこむぎです。
小さい頃から元気いっぱいで何倍も大きなワンちゃんにもどんどん近づいてスキンシップを取るような活発な子でした。
お外に出て走り回るのも大好きでした。
散歩中に疲れると抱っこして欲しくていつも見つめてきます。
そんな子犬時代を過ごしながらすくすくと育っていき気づいたら成犬になっていて、いつもどんな時もそばで一緒に居てくれて時間を共に過ごし、最高のパートナーとなっていました。
▼プロジェクトを立ち上げたきっかけ
異変に気づいたのは昨年2022年8月中旬ごろでした。
初めは水を飲んだ後に軽い咳がごくたまに出るくらいで、私も正直それくらいはあるだろうと思っていましたが3日後くらいには頻繁に咳が出るようになってきてすぐに近くの動物病院に連れていったところ
【僧帽弁閉鎖不全症】と診断されました。
僧帽弁閉鎖不全症とは
https://jasmine-vet.co.jp/cardiology/mitral/
もう少し遅れていたら肺水腫になっていたかもしれないと病院の先生に言われました。
肺水腫とは
https://jasmine-vet.co.jp/cardiology/pulmonary_edema/
肺水腫になると陸の上で水に溺れているような状態になり呼吸ができず苦しくなりいずれ死に至る非常に危険な状態のことだと言われました。
今まで当たり前のように一緒に生活していたのに命の危険のある病気と分かり不安と恐怖に襲われました。
そんな最期をこむぎに迎えさせたくない。幸せな人生を全うして欲しい。
そんな思いから毎週の通院、検査、投薬治療の生活が始まりました。
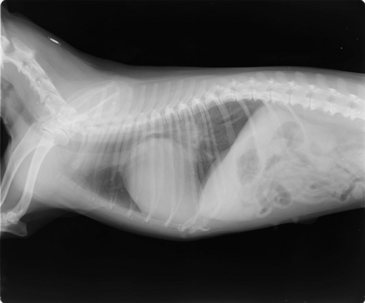
▽レントゲン写真
※かかりつけの動物病院からの掲載許可をいただいています。
心臓が大きくなり気管を下から押し上げています。
▽エコー写真
※かかりつけの動物病院からの掲載許可をいただいています。
▽治療薬
▽血液検査の結果
※かかりつけの動物病院からの掲載許可をいただいています。
利尿剤を使うと腎臓に負担がかかり腎臓の機能も低下してしまい、心臓以外の部分にも影響が出てくるので、利尿剤の微調整のために
一週間〜二週間に一度のペースでレントゲン撮影やエコー検査、血液検査をしています。
▽診療明細書
※かかりつけの動物病院からの掲載許可をいただいています。
一旦は落ち着いたものの利尿剤の副作用で腎臓に負担が出始め食欲も無くなり元気もなくなりました。
利尿剤の量を最小限に減らすことで食欲は戻りましたがまた咳が出ての繰り返しでした。
徐々に咳が落ち着いている期間が少なくなり現在は慢性的に咳が出ます。
こむぎ自身も咳が原因で寝てもすぐに起きてしまいあまり睡眠が取れません。
大好きな散歩も歩くと咳が出て苦しそうにするのでなかなか自分の足で歩くことが出来ず、私が抱っこをして一緒に散歩をしています。
いつも家に居るとベランダの隙間から外を眺めて寂しそうな顔をしています。
かかりつけの動物病院では治療薬での内科的治療では限界があるが、手術をすれば元の生活に戻れる可能性は非常に高いので外科治療も検討してみてはどうかと先生に言われ、循環器専門の動物病院を紹介していただく流れになりました。
循環器専門の動物病院ではこむぎの重症度はステージCでいつ肺水腫、心不全になってもおかしくない状況だと言われました。
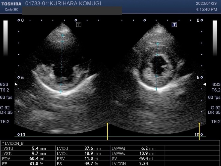
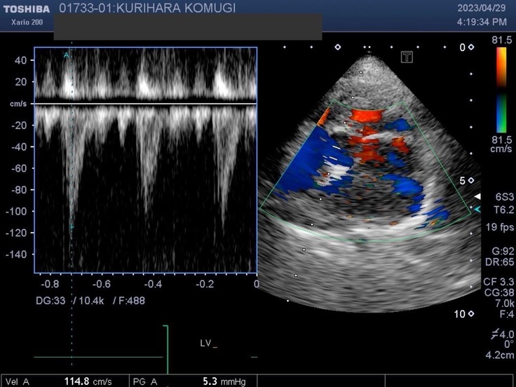
▽エコー写真
※循環器専門病院からの掲載許可をいただいています
▽心電図
※循環器専門病院からの掲載許可をいただいています
▽検査結果の説明(一部)
※循環器専門病院からの掲載許可をいただいています
▽診療明細書
※循環器専門病院からの掲載許可をいただいています
▽診断書
※循環器専門病院からの掲載許可をいただいています
循環器専門病院の手術の予約はしばらく先まで埋まっていますが、こむぎの病状の進行具合を見ても、緊急の枠での手術も可能な進行具合なので少しでも早く手術を受けさせてあげましょうとおっしゃって頂きました。
このまま投薬治療を続けても肺水腫や心不全のリスクを背負って生活していかなければならない。
こむぎが咳で辛そうにしている姿を見たくない。苦しい思いをさせたくない。また元気に走り回れる生活を送らせてあげたい。
そんな思いから手術ができるのならチャレンジしてみようと決断しました。
本来であれば飼い主である私が手術費用を負担するべきだということは重々承知しておりますが、情けない話、今までの治療費もかなり高額な治療費がかかっており、私一人の力ではこむぎを救うための最後の手段の手術費用を捻出することが出来ません。
そんな時にかかりつけの動物病院の先生からクラウドファンディングというものがあるとお聞きし、チャレンジしてみようと思いました。
僅かでも救ってあげれる可能性があるのなら全部やりたい。
そんな思いでこのプロジェクトを立ち上げさせていただきました。
▼プロジェクトの内容
こむぎの心臓が限界に近づいているため、あまり時間がありません。
どうか皆様の暖かいご支援、ご協力よろしくお願い致します。
こむぎに【僧帽弁修復術】という【僧帽弁閉鎖不全症】の手術を受けさせて頂きます。
▽僧帽弁修復術
※循環器専門病院からの掲載許可をいただいています
[手術日]2024年1月8日(月)
※11月23日追記※
手術日が当初予定していた2024年1月8日(月)から2023年12月19日(火)に変更となりました。
理由としましては、先日手術を行う動物病院の方から、昨今の物価上昇に伴い2024年1月から手術費用の値上がりを実施しますと電話がありました。
既にクラウドファンディングがスタートしてしまっている状態での突然の連絡で困惑しましたが、動物病院の方とお話をさせていただいてそれであればこむぎの病状を考えても早く手術を受けさせてあげた方が良いとのことで2023年内の予約をなんとか取らせて頂きました。
皆様のご理解ご協力をよろしくお願いします。
[費用]手術費用・・・1,430,000円
入院費用・・・400,000〜500,000円
(術後の回復具合や入院日数によって変動します)
合計・・・・・1,930,000円
クラウドファンディング目標金額 1,600,000円
手数料12%(税別)・・・・・-192,000円
早期入金オプション(税別)・-48,000円
税10%・・・・・・・・・・・-24,000円
ーーーーーーーーーーーーーーーーーーーー
振込金額 1,336,000円
費用に対して設定金額が少し低くなっていますが、まずは手術費用を目標にプロジェクトを進めたいと思います。
本来飼い主である私が全額捻出するべきなのは重々承知しておりますが、今現在の通院費や治療費で一杯一杯の状態です。
私自身の至らない所や無力さを痛感し、本当に情けない気持ちです。
ですがどうしてもこむぎを助けたいです。
私一人では難しいので皆様のお力添えをいただけると幸いです。
大変恐縮ではありますが、どうか皆様の暖かいご支援とご協力をお願い致します。
▼プロジェクトの展望・ビジョン
現在のこむぎは投薬によって小さな命をなんとか繋いでいる状態です。
今はとにかく安静にして興奮させないよう、細心の注意を払って過ごしています。
走ったり遊んだりするのが大好きなこむぎ。それら全てを制限している毎日でストレスになっていると思います。そんな毎日から解放してあげたい。
こむぎに心臓の手術を受けさせてあげられたら大好きなお散歩に思う存分連れていってあげたい。おもちゃでたくさん遊ばせてあげたい。
今はただ、それだけが私の願いです。
皆様からのご支援にお応えするためにも何気ない毎日を一緒にこの先も過ごしていきたいと思っております。
また、一方的ではありますがSNSを通して支援者の方々にこむぎの日常を発信していき、元気な姿を見て頂きたいと思っています。
★こむぎのInstagram★
https://instagram.com/_komugi0201?igshid=NTc4MTIwNjQ2YQ==
▶︎ 1. ペット保険について
①ペット保険による補償の有無:無し
②補填対象の治療名と金額:無し(自己資金では足りない部分の残りの金額をクラウドファンディングで集めたいと思います。
▶︎ 2. 万が一の場合の代替の資金使途について
考えたくはありませんが万が一、こむぎが亡くなってしまった場合、いただいた支援金については、返金はせずこれまでの治療費に当てさせていただきます。
▶︎ 3. 問い合わせ先について本クラウドファンディングに関するお問合せは以下までご連絡ください。
連絡先:【komugi20130201@gmail.com】
▶︎ 4. 掲載している資料について
ページ上に掲載している診断書や診療明細書などの資料は全て動物病院から掲載の許諾を得ております。
▶︎ 5.治療方針などが変更になった場合について
プロジェクト実施完了までの間に、治療方針や治療の要否に変更が生じた場合、支援者の皆様、READYFOR事務局に速やかにお伝えします。
▶︎ 6.READYFOR事務局からのご連絡
ペットの治療費用を集めるクラウドファンディングに関しては、以下のガイドラインもご確認ください。
ペットの治療費用を集めるクラウドファンディングに関する当社の考え
https://legal.readyfor.jp/guidelines/launching_project/pet_care/
- プロジェクト実行責任者:
- 栗原弘
- プロジェクト実施完了日:
- 2023年12月19日
プロジェクト概要と集めた資金の使途
クラウドファンディングが成功しましたら、2023年12月19日(火)に手術を行います。 集まった資金につきましては全額こむぎの僧帽弁閉鎖不全症の手術費用、入院費に使わせていただきます。
リスク&チャレンジ
- プロジェクトに必要な金額と目標金額の差額について
- 必要金額と目標金額の差額は自己資金で補填させていただきます。
あなたのシェアでプロジェクトをさらに応援しよう!
プロフィール
初めまして栗原と申します。愛犬こむぎに「僧帽弁閉鎖不全症」という心臓病が突然降りかかりました。手術で命の危機から脱し、以前と同じようにお外で全力で遊べるように、一緒に遠くへおでかけ出来るように、皆様の温かいご支援・ご協力をお願い致します。
あなたのシェアでプロジェクトをさらに応援しよう!
リターン
1,000円+システム利用料

こむぎへの支援1
こむぎへのご支援ありがとうございます。心より感謝致します。
・感謝の気持ちを込めてメールと写真を送付させて頂きます。
・Instagramにてこむぎの日常や経過報告をさせて頂きます。
緊急につきリターンに費用を掛けられず申し訳ありません。
皆様からの支援は大切に全てこむぎの手術費用に使わせて頂きます。
- 申込数
- 154
- 在庫数
- 制限なし
- 発送完了予定月
- 2024年1月
3,000円+システム利用料

こむぎへの支援2
こむぎへのご支援ありがとうございます。心より感謝致します。
・感謝の気持ちを込めてメールと写真を送付させて頂きます。
・Instagramにてこむぎの日常や経過報告をさせて頂きます。
緊急につきリターンに費用を掛けられず申し訳ありません。
皆様からの支援は大切に全てこむぎの手術費用に使わせて頂きます。
- 申込数
- 166
- 在庫数
- 制限なし
- 発送完了予定月
- 2024年1月
1,000円+システム利用料

こむぎへの支援1
こむぎへのご支援ありがとうございます。心より感謝致します。
・感謝の気持ちを込めてメールと写真を送付させて頂きます。
・Instagramにてこむぎの日常や経過報告をさせて頂きます。
緊急につきリターンに費用を掛けられず申し訳ありません。
皆様からの支援は大切に全てこむぎの手術費用に使わせて頂きます。
- 申込数
- 154
- 在庫数
- 制限なし
- 発送完了予定月
- 2024年1月
3,000円+システム利用料

こむぎへの支援2
こむぎへのご支援ありがとうございます。心より感謝致します。
・感謝の気持ちを込めてメールと写真を送付させて頂きます。
・Instagramにてこむぎの日常や経過報告をさせて頂きます。
緊急につきリターンに費用を掛けられず申し訳ありません。
皆様からの支援は大切に全てこむぎの手術費用に使わせて頂きます。
- 申込数
- 166
- 在庫数
- 制限なし
- 発送完了予定月
- 2024年1月
プロフィール
初めまして栗原と申します。愛犬こむぎに「僧帽弁閉鎖不全症」という心臓病が突然降りかかりました。手術で命の危機から脱し、以前と同じようにお外で全力で遊べるように、一緒に遠くへおでかけ出来るように、皆様の温かいご支援・ご協力をお願い致します。













