
支援総額
目標金額 1,500,000円
- 支援者
- 156人
- 募集終了日
- 2024年4月19日

命の危機が迫っています!僧帽弁閉鎖不全症・三尖弁閉鎖不全症
#医療・福祉
- 現在
- 737,000円
- 支援者
- 64人
- 残り
- 17日

13年ケージに入れられていたチワワに手術を受けさせたい
#動物
- 現在
- 181,000円
- 支援者
- 24人
- 残り
- 14日

猫伝染性腹膜炎を患ったポンちゃんの明日をつないで頂けないでしょうか
#動物
- 現在
- 198,000円
- 支援者
- 45人
- 残り
- 12時間

ジジを助けたいです。元野良猫ジジのFIP治療費のお願い。
#動物
- 現在
- 510,000円
- 支援者
- 91人
- 残り
- 3日

救う命を選ばない。どんな犬猫も保護し続け福岡の里親さんを増やしたい
#動物
- 現在
- 3,215,000円
- 支援者
- 304人
- 残り
- 12時間

【4歳10ヶ月悪性リンパ腫】愛猫きなこの抗がん剤治療のためのご支援
#医療・福祉
- 現在
- 217,000円
- 支援者
- 57人
- 残り
- 33日

【進行性脊髄軟化症】2度大手術をしたイブラへ、治療費ご支援のお願い
#医療・福祉
- 現在
- 229,000円
- 支援者
- 35人
- 残り
- 13日
プロジェクト本文
終了報告を読む
▼自己紹介
初めまして。数あるページの中から、プッチのページに目を止めていただきありがとうございます。
香川県在住の佐藤と申します。
最後までご覧いただけると幸いです。
◆名前 プッチ
◆病名僧帽弁閉鎖不全症 ステージC(一度肺水腫で入院しているため)
◆犬種 チワワ
◆性別 女の子
◆体重 2.5kg(現在)
◆生年月日 2010年 1月 1日◆年齢 14歳
◆ドッグランなどにいくと各家庭に一周ご挨拶してきます。
愛想がよく、高齢ですがまだ遊ぶのが好きな元気な子です。
▼プロジェクトを立ち上げたきっかけ
毎年健康診断に行っています。
2年前の健康診断で心臓が少し悪いけど薬を飲むほどでないと言われました。
とある事情で去年の健康診断(9月)では別の病院にいきました。
【かなり悪くなっており、いつ肺水腫になってもおかしくない】と言われ投薬治療が始まりました。
投薬治療が始まり進行を抑え、できるだけ長生きしてほしいと願い過ごしてきました。
↑旅行に行くときもいつも一緒です。
今年の1月2日、誕生日の次の日の夜中に激しい咳をしたあと、呼吸が荒く座ることもできない状態に
なり緊急で病院を探し酸素室での入院治療となりました。
診断は肺水腫でほぼ間違いないでしょうとの事でした。
5日間の入院でようやく呼吸が落ち着き退院となりましたが、余命は半年~1年だと言われました。
なんとかできることはないのかと調べたところ外科手術にて根治できると知りましたが、
手術費用・通院費用などなど合わせて200万前後の金額が必要となるとしり絶望していたところ
クラウドファンディングを知り、最後の希望にと思いプロジェクトの立ち上げをさせて頂きました。
14歳という高齢犬です。周りの方からも寿命だと思って受け入れればと言われます。
肺水腫で死亡する場合 陸にいながら呼吸困難になりすごく苦しい死に方になるとのこと。
お散歩も大好きです、咳が出てしまうためあまり激しくは動けないですがまだまだ元気です。
最後につらい思いをさせたくない。できることはできる限りしてあげたいと思い今回のプロジェクトを
立ち上げました。
自分勝手な理由での立ち上げになりますがどうかお力をお貸しいただきたいです。
どうかよろしくお願いいたします。
現在通院している病院では手術ができない(四国内で手術できる病院がない)
ため京都の病院にて手術予定です。
レントゲン・エコー・血液検査のデータを送り、zoomにて院長と面談をして手術可能だと
説明を受けました。
資金が準備でき次第予約を取り一刻でもはやく手術を受けたいと思っています。
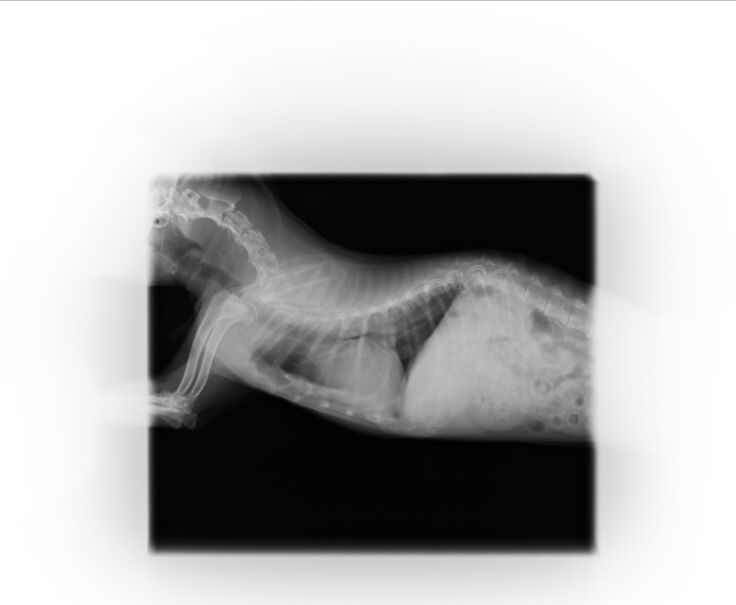
ーーーーー以下参考資料ーーーー
現在通院している病院の物です。
以下レントゲン写真
手術を受ける病院の診断書
〜代理支援のご案内〜
READYFORへの会員登録の方法がわからない方や登録するのに抵抗がある方向けにPayPayやゆうちょ銀行、三井住友銀行へのお振込みでご協力していただける”代理支援”という方法がございます!
◇PayPay ID putti_0101
※PayPay マネーライトは現金として引き出せないため、PayPay マネーでのご支援をお願い申し上げます。
◆SMBC 三井住友銀行支店名:岡山支店口座番号:7303865
口座名義:サトウユウタ
◇ゆうちょ銀行
ゆうちょ銀行からお振込
記号:12130
番号:91614131
他行からのお振込
店名:二一八(ニイチハチ)店番:218口座番号:9161413
送金いただきました支援金は、責任を持って、READYFORへ代行して入金させていただきます。READYFORへの反映は、一週間ほどのお時間をいただいております。READYFORへ反映された際には、プロジェクトのコメント欄に掲載させていただきます。※プロジェクトが達成出来ず不成立となってしまった場合、いただいたご支援金はプッチの治療費に充てさせていただきますので、ご理解いただいた上でご支援いただければ幸いです。プッチに手術を受けさせてあげたいので、どうかご支援、ご協力をよろしくお願いいたします。
▼プロジェクトの内容
皆様からお力添えをいただき、プッチにに1日でも早く僧帽弁閉鎖不全症の手術を受けさせていただきたいです。
温かいご支援を頂けますと幸いです。
【料金詳細】
手術費用が最低でも159万
定期検査8万
交通費12万
かかるとのことでしたので下記目標を立てさせていただきました。
-------------------------------------------------------------
クラウドファンディング達成時の金額見込み目標金額と同額が集まったと仮定した場合の金額
クラウドファンディング目標金額1,500,000円
手数料(税別)12%-180,000円
早期入金オプション(税別)3% -45,000円
税 10%-22,500円
振込金額1,252,500円
--------------------------------------------------------------
手数料等で振込金額が手術費用には足りませんが。
手術特化の保険に加入しており50万は保険金が下ります。
それでも少し足りませんが、少しでも自分でも何とかしたくこの金額を設定させていただきました。
尚、資金が集まり次第すぐ(1週間以内)に手術の日程を決めご報告させていただくことを必ずお約束いたします。
どうかお力添えを宜しくお願い致します。
▼プロジェクトの展望・ビジョン
このプロジェクトを絶対に成功させたいです。
高齢犬であり様々な意見もあるとは思いますが、大切な家族であり私たちの子供であることには
変わりありません。
手術をしても元気に走ったり遊んだりは高齢犬なので出来ないかもしれません。
それでもできることはしてあげたい。
肺水腫で苦しい思いをしながら死んでしまう未来を変えたいです。
▼リターンについて
大変心苦しいのですが、治療費等で精一杯であるため、素敵なリターンをご用意することが出来ません。申し訳ございません。しかしご支援いただいた皆様には一生感謝を忘れず、今後のプッチの元気になった姿などをインスタなどで公開していきます。
<プロジェクトについて>
(1)資金の使途
愛犬プッチ僧帽弁閉鎖不全症の今後の治療費にあてます。
(2)目標金額と資金の内訳
目標金額:150万円
(資金の内訳)
僧帽弁閉鎖不全症:手術入院費159万円
術後定期検査6万円
移動費15万(手術含む定期検査のため)香川県から京都4回往復分
(3)集める資金を使用しての治療期間
2024年6月1日〜2024年8月1日
※資金が準備でき次第予約を取ります。2か月待ちといわれています。
手術開始~入院10日~14日 定期検査数回
※治療内容や治療費、治療期間は動物病院の確認が取れています。
<ご支援にあたっての注意事項>
▶︎ 1. ペット保険について
①ペット保険による補償の有無:有
②補填対象の治療名と金額:有、手術費用50万円補填されますので残りの費用を集めます。
▶︎ 2. 万が一の場合の代替の資金使途について
万が一、愛犬ぷっちが亡くなってしまった場合、いただいた支援金については、返金はせずこれまでの治療費に当てさせていただきます。
▶︎ 3. 問い合わせ先について
本クラウドファンディングに関するお問合せは以下までご連絡ください。
連絡先:yuta-sato@crostate.jp
▶︎ 4. 掲載している資料について
ページ上に掲載している診断書や診療明細書などの資料は全て動物病院から掲載の許諾を得ております。
▶︎ 5. 治療方針などが変更になった場合について
プロジェクト実施完了までの間に、治療方針や治療の要否に変更が生じた場合、支援者の皆様、READYFOR事務局に速やかにお伝えします。
▶︎ 6. READYFOR事務局からのご連絡
ペットの治療費用を集めるクラウドファンディングに関しては、以下のガイドラインもご確認ください。
【ペットの治療費用を集めるクラウドファンディングに関する当社の考え】
https://legal.readyfor.jp/guidelines/launching_project/pet_care/
- プロジェクト実行責任者:
- 佐藤勇太
- プロジェクト実施完了日:
- 2024年8月31日
プロジェクト概要と集めた資金の使途
愛犬プッチの手術費を集めるプロジェクトです。
リスク&チャレンジ
- プロジェクトに必要な金額と目標金額の差額について
- 必要金額と目標額の差額は自己資金にて補填します。
あなたのシェアでプロジェクトをさらに応援しよう!
プロフィール
あなたのシェアでプロジェクトをさらに応援しよう!
リターン
1,000円+システム利用料

プッチを応援!1000
・プッチの近況や日常をInstagramにて発信いたします。
- 申込数
- 50
- 在庫数
- 制限なし
- 発送完了予定月
- 2024年6月
2,000円+システム利用料

プッチを応援!2000
・プッチの近況や日常をInstagramにて発信いたします。
- 申込数
- 22
- 在庫数
- 制限なし
- 発送完了予定月
- 2024年6月
1,000円+システム利用料

プッチを応援!1000
・プッチの近況や日常をInstagramにて発信いたします。
- 申込数
- 50
- 在庫数
- 制限なし
- 発送完了予定月
- 2024年6月
2,000円+システム利用料

プッチを応援!2000
・プッチの近況や日常をInstagramにて発信いたします。
- 申込数
- 22
- 在庫数
- 制限なし
- 発送完了予定月
- 2024年6月









