
支援総額
目標金額 200,000円
- 支援者
- 57人
- 募集終了日
- 2024年12月24日

置き去りにされた猫に手術を行いたい
#地域文化
- 現在
- 372,000円
- 支援者
- 65人
- 残り
- 1日

42匹の保護猫達を助けて下さい‼️
#動物
- 現在
- 730,500円
- 支援者
- 110人
- 残り
- 1日

行き場のない猫たちに幸せな明日を届けたい。保護猫たちの医療費支援を
#動物
- 現在
- 1,933,000円
- 支援者
- 147人
- 残り
- 27日

老病ねこたちが最後まで安心して過ごせるおうちを守っていきたい!
#医療・福祉
- 現在
- 2,129,000円
- 支援者
- 170人
- 残り
- 6日

にゃんこのしっぽサポーター募集★石垣島の捨てられた猫たちに治療を!
#動物
- 総計
- 124人

交通事故にあった野良猫「ミケコちゃん」の治療費をご支援ください
#動物
- 現在
- 299,000円
- 支援者
- 62人
- 残り
- 28日

ジジを助けたいです。元野良猫ジジのFIP治療費のお願い。
#動物
- 現在
- 536,000円
- 支援者
- 95人
- 残り
- 2日
プロジェクト本文
終了報告を読む
㊗️目標金額達成🎉
11/15に開始したプロジェクトですが、皆さまからのたくさんのご支援のおかげで遂に目標金額に到達いたしました!
こんなにも沢山の方に見ていただけてとても嬉しいです😭
本当にありがとうございます🙇♀️
れんの現状ですが跛行は変わらず、前脚をかけてジャンプも試みますが後ろ脚が上がりきらない状態で、寝ていることが多いです。
かかりつけの病院で相談したところ、骨頭がない分、筋力で補わなくてはならないようで、リハビリを勧められました。
正直、どれくらいの料金や期間を要するのか全く想像がつきませんが、れんのためになるなら自分がやれることをやってみようと思います。
そこで残りの期間、ネクストゴールを設定させていただきたく思います!
目標金額は25万、全額れんのリハビリ通院費に充てさせていただきたいと思います。(かかりつけ病院ではリハビリは行っていないとのことで、手術をした紹介先の病院へ通院予定です)
仮にネクストゴールの金額を達成できなかった場合も、自己資金を元に実施はさせていただく予定ですが、皆様からの多くのご支援いただけますと幸いです。
皆さまのご支援、ご協力をどうぞよろしくお願いいたします🙇♀️
プロジェクトページには一部、動物がケガをしている画像等センシティブな内容が含まれています。
▼自己紹介
はじめまして。この度は、数あるプロジェクトの中からご覧いただき、誠にありがとうございます。
初めてのクラウドファンディング、拙い文章で申し訳ございませんが、ご一読いただけると幸いです。
北海道で保護猫4匹と暮らしております。
もともと犬派でしたが、初めて猫を保護してから猫の虜になってしまいました。
我が家の愛猫達を少しだけご紹介いたします(о´∀`о)
おたま
我が愛猫たちの長女です。痩せ細った状態で近所に現れ、保護しました。この子をきっかけに、猫好きが開花しました。現在推定18歳、最近寝ていることが増え、食べる量も減ってきました。1日2回ラプロスをウェットに混ぜて与え、時々ステロイド注射をしています。
あずき
おたまが1匹で寂しいかもしれないと思い、個人で保護猫活動されている方から譲渡していただきました。推定12歳。人見知りせず温厚で、1番ぽっちゃりしています。よく食べますがかなり便秘症で、餌や薬など色々試していますがあまり効果がなく、時々摘便や浣腸をしています。
こむぎ&れんげ
あずき同様、個人で保護猫活動されているか方から2匹一緒に譲渡していただきました。推定9歳。上記の2匹と比べるとまだまだ若く活発です。兄弟ではありませんが、子猫の時期から一緒にいるため仲良しです。
▼プロジェクトを立ち上げたきっかけ
8月上旬、自宅の庭でれんげが近所の猫に襲われ、予想外の診断、治療費に途方にくれていました。そんな時、TVでクラウドファンディングと言う言葉を見て、今回プロジェクトを立ち上げさせていただきました。
▼プロジェクトの内容
元野良猫だからでしょうか、みんな外に出るのが大好きで、暖かい時期は庭の周りに柵を取り付け外で遊ばせています。
柵には返しをつけており、脱走できないよう工夫しています。
8月9日、いつも通りれんげを外に出していました。突然、猫の唸り声が聞こえ庭を見ると、近所の猫が柵内に入ってきており、れんげと対峙していました。
過去の写真や動画を見る限り、4年程前から現れるようになった猫でした。首輪をつけており近所の飼い猫だと思っていました。
うちの猫たちが庭に出ている時は、柵内に入ってくることはなかったので油断していました。
窓を開けて「コラ!」と大きな声を出しましたが逃げていかず、庭に出ようとしたところで近所の猫がれんげに飛びかかり、れんげは避けようとして車庫に激突し落下、動かなくなってしまいました。
近所の猫は逃げて行きましたが、れんげは自宅に入れても歩こうとせず、歩いたと思ったら左後脚を引きずるようになりました。
↑直後の写真です。自力歩行ができず、オムツをつけました。
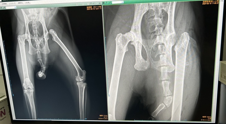
かかりつけの病院が閉まる頃だったので、その日は一晩様子を見ました。翌朝も歩き方は変わらずかかりつけへ受診、レントゲンを撮ると左股関節が脱臼していました。
先生には「麻酔をかけて整復はできるけど、腱や靱帯が伸びたり切れたり関節包が破れたりしていると思うから、整復してもその日のうちに再脱臼する可能性はある。その度に麻酔をかけて整復するよりは、骨頭を切除してしまった方が良い」と言われました。
人間のように整復して固定しても、その後安静を保つ事ができないため、外科的な治療を勧められました。かかりつけの病院の手術枠に空きがなく、別の病院を紹介していただき、その日のうちに手術、翌日退院となりました。
←術前 術後→
完全に元通りにはならないかもだけど、走ったりジャンプもできるようになると聞いていましたが、今も引きずって歩いている状態です。経過観察のため、半年に一度受診を勧められました。
8/10 かかりつけ病院受診 レントゲン検査→紹介へ
8/11 紹介先病院で手術 退院へ
(※私が仕事で迎えに行けず、領収書は母の名前になっています)
8/17 かかりつけ病院受診 創部チェック
今回は怪我で済みましたが、手術中に亡くなってしまう可能性もありました。
保険にも入っていないため、治療費の捻出は非常に厳しく、まずは加害猫の飼い主を一軒一軒回り探しました。
飼い主は見つかりましたが、治療費の負担については断られています。
自宅の庭から首輪が見つかっており、おそらく争った際に落としたのではと思います(我が家の猫たちは首輪をつけていません)。
その後電話でもやり取りしましたが、謝罪もありません。
確かに状況証拠しかありませんが、愛猫が襲われている状況で誰が動画を撮るんでしょうか…(;_;)
警察や弁護士にも相談しましたが、泣き寝入りするしかないようで、今回クラウドファンディングで皆様からご支援をいただけたらと思い、このプロジェクトを立ち上げさせていただきました。
今回目標金額は200,000円、全額紹介先病院での治療費に充てさせていただきます。
かかりつけ病院
4,950円+550円=5,500円
紹介先病院
232,180円+4000円(診断書代)=236,180円
合計約240,000円ほど治療費として支払い済みです。
クラウドファンディング目標金額200,000円
手数料(税別)14%-28,000円
税 10%-2,800円
振込金額169,200円 となっております。
▼終わりに
ここまで読んでいただき、本当にありがとうございます。
今回は無事に手術を終え、回復傾向にありますが、もし命を落としていたとしても、所詮ただの猫同士の喧嘩として処理され、襲ってきた猫の飼い主はお咎め無しなのだと思います。
れんげは病院で怖くて痛い思いをしたのに…悔しさと悲しさでいっぱいです(;_;)
自分の庭であっても、外に出すのは危険だと言う事を知る機会となりました。
何か今後の対策など、ご助言いただけますと幸いです。
皆さまのお力添えをどうぞよろしくお願いいたします。
<プロジェクトについて>
(1)資金の使途
全額れんげの治療費に充てさせいただきます
(2)目標金額と資金の内訳
目標金額:20万円
資金の内訳:紹介先での治療費
(3)集める資金を使用しての治療期間
2024年8月10日〜2024年8月17日
<ご支援にあたっての注意事項>
▶︎ 1. ペット保険についてペット保険による補償の有無:無し
▶︎ 2. 万が一の場合の代替の資金使途について
万が一、れんげが亡くなってしまった場合、いただいた支援金については、返金はせずこれまでの治療費に当てさせていただきます。
▶︎ 3. 問い合わせ先について
本クラウドファンディングに関するお問合せは以下までご連絡ください。
38cas2@gmail.com
▶︎ 4. 掲載している資料についてページ上に掲載している診断書や診療明細書などの資料は全て動物病院から掲載の許諾を得ております。
▶︎ 5. 治療方針などが変更になった場合についてプロジェクト実施完了までの間に、治療方針や治療の要否に変更が生じた場合、支援者の皆様、READYFOR事務局に速やかにお伝えします。
▶︎ 6. READYFOR事務局からのご連絡ペットの治療費用を集めるクラウドファンディングに関しては、以下のガイドラインもご確認ください。
【ペットの治療費用を集めるクラウドファンディングに関する当社の考え】https://legal.readyfor.jp/guidelines/launching_project/pet_care/
- プロジェクト実行責任者:
- 櫻庭紗也佳
- プロジェクト実施完了日:
- 2024年12月24日
プロジェクト概要と集めた資金の使途
愛猫が近所の猫に襲われ、左股関節脱臼、骨頭切除の手術をしました。すでに支払い済みですが、集まった20万は全額れんげの病院代に充てさせていただきます。
リスク&チャレンジ
- プロジェクトに必要な金額と目標金額の差額について
- 必要金額と目標金額の差額は自己資金で補填いたします。
あなたのシェアでプロジェクトをさらに応援しよう!
プロフィール
猫4匹と暮らしています。 特に皆様に誇れるような活動はしていませんが、みんな保護猫です。 妹と平屋を購入して、たくさんの猫と暮らす計画をしています(*´꒳`*) 猫を愛す皆様と繋がれたら嬉しいです!よろしくお願いします。
あなたのシェアでプロジェクトをさらに応援しよう!
リターン
1,000円+システム利用料

リターン不要な方
ありがとうございます☻
ご支援ご協力に感謝いたします!
- 申込数
- 22
- 在庫数
- 制限なし
- 発送完了予定月
- 2025年2月
1,000円+システム利用料

1000 ご支援ご協力に感謝いたします☻
近況報告、写真と共に感謝のメールを送らせていただきます☻
- 申込数
- 9
- 在庫数
- 制限なし
- 発送完了予定月
- 2025年2月
1,000円+システム利用料

リターン不要な方
ありがとうございます☻
ご支援ご協力に感謝いたします!
- 申込数
- 22
- 在庫数
- 制限なし
- 発送完了予定月
- 2025年2月
1,000円+システム利用料

1000 ご支援ご協力に感謝いたします☻
近況報告、写真と共に感謝のメールを送らせていただきます☻
- 申込数
- 9
- 在庫数
- 制限なし
- 発送完了予定月
- 2025年2月
プロフィール
猫4匹と暮らしています。 特に皆様に誇れるような活動はしていませんが、みんな保護猫です。 妹と平屋を購入して、たくさんの猫と暮らす計画をしています(*´꒳`*) 猫を愛す皆様と繋がれたら嬉しいです!よろしくお願いします。








