新型コロナウィルスによる肺炎を早期発見する為の低線量CT導入

支援総額
目標金額 1,000,000円
- 支援者
- 5人
- 募集終了日
- 2020年10月30日

サンタがやってくるクリスマス。高知のひとり親家庭に、特別な思い出を
#地域文化
- 現在
- 114,000円
- 支援者
- 13人
- 残り
- 27日

あしながサンタ2025|笑顔を灯すエールをこどもたちに届けたい
#子ども・教育
- 現在
- 595,000円
- 寄付者
- 63人
- 残り
- 33日

“子どもの未来を守る”『JAFこども安全ベスト』製作プロジェクト
#子ども・教育
- 現在
- 1,525,000円
- 支援者
- 121人
- 残り
- 9日

物価高でごはん食べられない若者に今すぐ食糧を|緊急支援2025冬
#子ども・教育
- 現在
- 11,885,000円
- 寄付者
- 323人
- 残り
- 28日

貧困・虐待などで親を頼れない若者に伴走支援を|若者おうえん基金
#子ども・教育
- 現在
- 7,260,000円
- 支援者
- 344人
- 残り
- 5日

Kansaiわんスリーサポーター!~盲導犬の育成にご支援を~
#医療・福祉
- 総計
- 60人

児童養護施設平安養育院|子どもたちの「もっと遊びたい!」を叶えたい
#子ども・教育
- 現在
- 9,760,000円
- 寄付者
- 145人
- 残り
- 7日
プロジェクト本文
▼プロジェクトの内容
新型コロナウイルスが世界中で猛威を振るっています。
新型コロナウイルスは重篤な肺炎を引き起こし、最悪の場合、死に至ります。
世界中で研究が行われていますが、現時点では有効なワクチンや治療薬はありません。
緊急事態宣言が解除後も夏のあいだですら、感染者数は増加傾向です。発病者も増加することが予測され、冬になるとさらに重症者が増加する可能性があると危惧されています。
今から、冬の流行に備える必要があります。
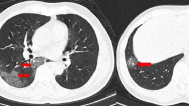
重症化を防ぐためには、早期に肺炎を発見する必要がありますが、胸部レントゲンでは早期の肺炎を発見するのは困難です。(お示しの胸部CT像のように肝臓や心臓の裏に隠れた微細な肺炎の場合、胸部レントゲンのみでの診断は困難を極めます)
その為、肺炎を早期に発見するにはCTが有効です。
ただ、CTはレントゲンに比べて、被ばく線量が多いことが問題でした。
CT1回はレントゲン約70回分に相当します (胸部レントゲン0.1mSv 胸部CT約7mSv)
そこで、当クリニックは、新型コロナウィルスによる肺炎を早期に発見する為、従来のCTに比べてずっと被ばく線量の少ない、最新のCTを導入しようとしています。
最新のCTは、従来のCTの1/10以下の被ばく線量で検査ができるのです。
▼自己紹介
名前:石垣貴彦(いしがきたかひこ)
大阪府八尾市立龍華中学校、金光八尾高校、関西医科大学、和歌山県立医科大学附属病院、市立堺病院、八尾徳洲会総合病院。鹿児島県の沖永良部島に滞在し島唯一の病院で外来・往診・手術などを行う。医療資源や医師不足の中で離島医療の過酷な状況も経験。
現場の医療知識や技術だけではなく社会全体として医療の問題を解決すべく大阪大学へ。
大阪大学大学院医学系研究科 科目等履修生、石垣クリニック 現在に至る

高校時代のラグビー部での様子(左から3人目。中学・高校・大学とラグビー部に所属)

離島時代の様子(前列左から3人目)

手術中の様子
▼プロジェクトを立ち上げたきっかけ
新型コロナウィルス感染拡大防止と重症化を防ぐためCT(コンピューター断層撮影)の導入を予定しています。このCTの特徴は低線量(放射能被ばくが極端に少ないこと)であり、健診などで皆さんが経験のある胸部レントゲン数枚程度と変わらない被ばく量で撮影可能なことです。
これは、成長期の子ども達や妊娠希望の女性にとってもほとんど影響がない被ばく量です。
しかし、導入には3000万円以上の費用が必要です。
新型コロナウィルスは今年の冬にも必ず同じような感染拡大が予想されます。
ただでさえ冬の間に肺炎患者が増加するにもかかわらず、新型コロナウィルスも加わり重症化する患者数の増加が予想されます。早期に肺炎を発見し重症化させないことが“救命の第一歩”となります。

日本経済新聞より引用(https://www.nikkei.com/article/DGXMZO61521480U0A710C2I00000/)

西日本新聞より引用(https://www.nishinippon.co.jp/image/168840/)
▼プロジェクトの展望・ビジョン
一人の患者さんを救うだけではありません。
新型コロナウイルス感染症の早期像を低被ばくの胸部CTでとらえることができれば、たくさんのデータを集めることができ、次の患者さんを救うことにもなります。 知らないうちに感染を広げてしまうことも防ぐことができます。
日本の、世界の感染拡大を防ぐことになるのです。

時事通信より引用(https://sp.m.jiji.com/article/show/2372782)
・プロジェクトの終了要項
オープン完了予定日
2020年11月1日
建築・改修場所
大阪府八尾市春日町1-4-4
建築・改修後の用途
コロナ肺炎の早期発見や地域の救急医療を担う施設
あなたのシェアでプロジェクトをさらに応援しよう!
プロフィール
あなたのシェアでプロジェクトをさらに応援しよう!
リターン
1,000円
第2波コロナウィルス肺炎早期発見の為のCT導入基金
救命できた方の報告書(メールにてお送りします)
- 申込数
- 0
- 在庫数
- 制限なし
- 発送完了予定月
- 2021年1月
5,000円
第2波コロナウィルス肺炎早期発見の為のCT導入基金
救命できた方の報告書(メールにてお送りします)
竣工時の記念品
- 申込数
- 3
- 在庫数
- 制限なし
- 発送完了予定月
- 2021年1月
1,000円
第2波コロナウィルス肺炎早期発見の為のCT導入基金
救命できた方の報告書(メールにてお送りします)
- 申込数
- 0
- 在庫数
- 制限なし
- 発送完了予定月
- 2021年1月
5,000円
第2波コロナウィルス肺炎早期発見の為のCT導入基金
救命できた方の報告書(メールにてお送りします)
竣工時の記念品
- 申込数
- 3
- 在庫数
- 制限なし
- 発送完了予定月
- 2021年1月












