
寄付総額
目標金額 3,000,000円
- 寄付者
- 443人
- 募集終了日
- 2020年4月17日
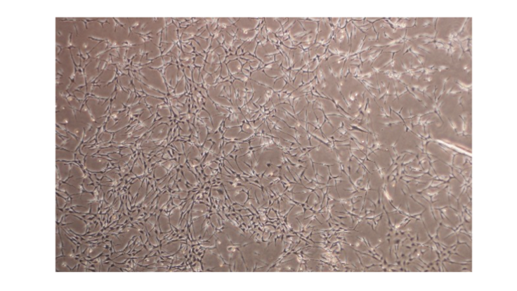
歯周細胞の分離について
本日は、低ホスファターゼ症の子どもたちからご提供いただいた検体から細胞分離をしていただいている、本院口腔治療科の岩山智明先生に歯周細胞の分離についてご解説をいただきましたので、ご紹介させていただきます。
私たちは仲野和彦教授、大川玲奈講師と協力し、低ホスファターゼ症の子どもたちから抜けそうな乳歯を提供して頂き、乳歯の周りについている細胞を分離して培養することで、歯科治療法の開発のための研究に用います。
村上伸也教授率いる私たちの研究室では歯周病の研究を専門に行っており、これまで同様の方法で歯の周りについている細胞を分離し、様々な研究成果を挙げてきました。
たくさんの細菌が存在するくちの中から、細菌のいない培養状態にすることは簡単ではありませんが、様々な工夫を行い、すでにいくつかの乳歯からの細胞培養に成功しています。これら細胞を用いた実験により低ホスファターゼ症の効率的な歯科治療法の開発につながることを期待しています。より多くの皆様のご支援をよろしくお願い致します。


ギフト
5,000円
Aコース
・研究報告書(PDFの形でのメール送付)
・プロジェクトホームページに寄付者のお名前を掲載(ご希望の方のみ)
・寄付控除証明
(2020年6月末までに送付します。領収書の日付は大阪大学に入金がある2020年5月の日付になります。宛名はリターン送付先にご登録いただいたお名前になります。)
- 申込数
- 160
- 在庫数
- 制限なし
- 発送完了予定月
- 2021年3月
10,000円
Bコース
・研究報告書(PDFの形でのメール送付)
・プロジェクトホームページに寄付者のお名前を掲載(ご希望の方のみ)
・寄付控除証明
(2020年6月末までに送付します。領収書の日付は大阪大学に入金がある2020年5月の日付になります。宛名はリターン送付先にご登録いただいたお名前になります。)
- 申込数
- 172
- 在庫数
- 制限なし
- 発送完了予定月
- 2021年3月
5,000円
Aコース
・研究報告書(PDFの形でのメール送付)
・プロジェクトホームページに寄付者のお名前を掲載(ご希望の方のみ)
・寄付控除証明
(2020年6月末までに送付します。領収書の日付は大阪大学に入金がある2020年5月の日付になります。宛名はリターン送付先にご登録いただいたお名前になります。)
- 申込数
- 160
- 在庫数
- 制限なし
- 発送完了予定月
- 2021年3月
10,000円
Bコース
・研究報告書(PDFの形でのメール送付)
・プロジェクトホームページに寄付者のお名前を掲載(ご希望の方のみ)
・寄付控除証明
(2020年6月末までに送付します。領収書の日付は大阪大学に入金がある2020年5月の日付になります。宛名はリターン送付先にご登録いただいたお名前になります。)
- 申込数
- 172
- 在庫数
- 制限なし
- 発送完了予定月
- 2021年3月

ぬるぬるのお引越|万博・落合陽一 null²パビリオン次なる場所へ
- 現在
- 216,684,000円
- 支援者
- 12,280人
- 残り
- 30日

断らない救急を守る|一刻を争う命を支える、ハイブリッド手術室導入へ
- 現在
- 10,927,000円
- 支援者
- 172人
- 残り
- 2日

1頭1頭と向き合い続けるために。引退馬たちに安心安全な新厩舎建設へ
#観光
- 現在
- 73,873,000円
- 支援者
- 6,378人
- 残り
- 33日

何があっても、駆けつける。救急医療の生命線「病院救急車」の更新へ
- 現在
- 25,427,000円
- 寄付者
- 294人
- 残り
- 29日

学生が創る、新たなJUNKO
- 現在
- 1,030,000円
- 支援者
- 83人
- 残り
- 11日

緊急支援|フィリピン地震へのご支援を
- 現在
- 1,628,000円
- 寄付者
- 222人
- 残り
- 11日

患者さんの「時間」と「心」を大切に。“思いやり”でつなぐ医療!
- 現在
- 11,815,000円
- 寄付者
- 260人
- 残り
- 9日
入院中の子ども達へ笑顔を届ける「ハートフルカート」を作りたい!
- 寄付総額
- 2,099,000円
- 寄付者
- 190人
- 終了日
- 7/30
山梨県道志村に共有のキャンプスペースをイチから創りたい!
- 支援総額
- 1,555,000円
- 支援者
- 140人
- 終了日
- 1/15
「街の保健室」で「健康のリハビリプラットフォーム」を創る!
- 支援総額
- 110,000円
- 支援者
- 13人
- 終了日
- 3/31

バンビシャス奈良|B1昇格へ AMAZING PROJECT!
- 支援総額
- 1,945,000円
- 支援者
- 142人
- 終了日
- 8/20
災害による停電の危機から医療的ケア児の命を守る“K-DiPS”
- 支援総額
- 2,330,000円
- 支援者
- 199人
- 終了日
- 5/22
保護猫がのんびり余生を過ごせるケアハウス付きキャットランを!
- 支援総額
- 1,126,000円
- 支援者
- 67人
- 終了日
- 8/29
難病と闘う猫免疫介在性貧血(PIMA)の治療費の援助をお願いします
- 支援総額
- 340,000円
- 支援者
- 85人
- 終了日
- 9/10










