
寄付総額
目標金額 7,000,000円
- 寄付者
- 239人
- 募集終了日
- 2022年3月18日
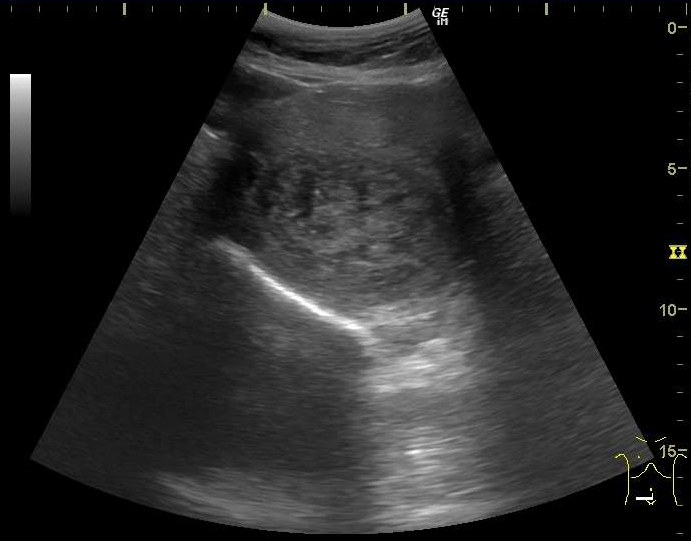
チンパンジー・ボノボ病院から(5)
これまでの超音波画像診断装置(エコー)を使った健診の様子、第5回は、チンパンジーのアキナです。

アキナ(チンパンジー、32歳、女)

子宮筋腫の超音波断層像
子宮筋腫は多くの高齢雌に見られますが症状は様々で、ひどい場合はうずくまって歩けなくなることもあります。
ギフト
5,000円
5千円|応援コース
・お礼のメール
・活動報告レポート
・寄附金領収証書
・京大基金HPにご芳名を掲載 ※希望者のみ
<ご留意事項>
※HPへのお名前掲載について、万が一公序良俗に反するなど掲載が不適当であると判断できる場合、掲載を取り下げとする可能性がありますのでご了承ください。
- 申込数
- 79
- 在庫数
- 制限なし
- 発送完了予定月
- 2022年10月
10,000円
1万円|熊本サンクチュアリオンラインツアーコース
・熊本サンクチュアリオンラインツアー
※熊本サンクチュアリの様子を録画した動画URLを10月頃にご送付いたします。
・チンパンジー・ボノボの写真
- - - こちらもお届け - - -
・お礼のメール
・活動報告レポート
・寄附金領収証書
・京大基金HPにご芳名を掲載 ※希望者のみ
<ご留意事項>
※HPへのお名前掲載について、万が一公序良俗に反するなど掲載が不適当であると判断できる場合、掲載を取り下げとする可能性がありますのでご了承ください。
- 申込数
- 131
- 在庫数
- 制限なし
- 発送完了予定月
- 2022年10月
5,000円
5千円|応援コース
・お礼のメール
・活動報告レポート
・寄附金領収証書
・京大基金HPにご芳名を掲載 ※希望者のみ
<ご留意事項>
※HPへのお名前掲載について、万が一公序良俗に反するなど掲載が不適当であると判断できる場合、掲載を取り下げとする可能性がありますのでご了承ください。
- 申込数
- 79
- 在庫数
- 制限なし
- 発送完了予定月
- 2022年10月
10,000円
1万円|熊本サンクチュアリオンラインツアーコース
・熊本サンクチュアリオンラインツアー
※熊本サンクチュアリの様子を録画した動画URLを10月頃にご送付いたします。
・チンパンジー・ボノボの写真
- - - こちらもお届け - - -
・お礼のメール
・活動報告レポート
・寄附金領収証書
・京大基金HPにご芳名を掲載 ※希望者のみ
<ご留意事項>
※HPへのお名前掲載について、万が一公序良俗に反するなど掲載が不適当であると判断できる場合、掲載を取り下げとする可能性がありますのでご了承ください。
- 申込数
- 131
- 在庫数
- 制限なし
- 発送完了予定月
- 2022年10月

アムールトラ「ショウヘイ」に、みんなでつくるおもちゃ箱をプレゼント
#観光
- 現在
- 4,359,000円
- 支援者
- 265人
- 残り
- 71日

ごかつら池どうぶつパーク|命を守り、次世代へ繋ぐ小さな動物園の挑戦
- 現在
- 5,617,000円
- 支援者
- 346人
- 残り
- 36日

にゃんこのしっぽサポーター募集★石垣島の捨てられた猫たちに治療を!
- 総計
- 124人

「なまけものの通りみち」となる生物回廊農園を共に作り育てましょう!
- 総計
- 58人

【緊急支援|大分市 大規模火災へのご支援を】
#医療・福祉
- 現在
- 3,269,000円
- 寄付者
- 387人
- 残り
- 41日

入院する子どもたちを笑顔に!ファシリティドッグ育成基金2025
#子ども・教育
- 現在
- 6,867,000円
- 支援者
- 550人
- 残り
- 25日

緊急支援|被災重なるフィリピン、台風25号被害へのご支援を
- 現在
- 571,000円
- 寄付者
- 65人
- 残り
- 36日










