【がん治療】0歳の子猫ルルくんにご支援お願い致します。

支援総額
目標金額 450,000円
- 支援者
- 21人
- 募集終了日
- 2022年8月30日

救う命を選ばない。どんな犬猫も保護し続け福岡の里親さんを増やしたい
#動物
- 現在
- 3,212,000円
- 支援者
- 303人
- 残り
- 13時間

保護猫応援ファームのサポーター募集中!保護猫活動の継続支援を!
#子ども・教育
- 総計
- 13人

殺処分ゼロ!保護猫救援のための「にゃんこサポーター」様募集!
#動物
- 総計
- 88人

42匹の保護猫達を助けて下さい‼️
#動物
- 現在
- 688,000円
- 支援者
- 101人
- 残り
- 2日

飼い主のいない猫達に無料で避妊去勢が受けられるしくみサポーター募集
#まちづくり
- 総計
- 59人

長崎県の離島、五島列島で生きていけない猫達を救いたい
#まちづくり
- 総計
- 22人

小さなお寺の大切なたからものを一緒に守り、伝えていただけませんか
#地域文化
- 総計
- 145人
プロジェクト本文
▼自己紹介
初めまして、ルルの家族の北村と申します。
この度はご覧頂き誠にありがとうございます。
▼ルルの自己紹介
年齢 : 10ヶ月
性別 : 男の子
誕生日 : 9/2
疾患名:縦隔型悪性リンパ腫、腎臓リンパ腫
▼プロジェクトを立ち上げたきっかけ
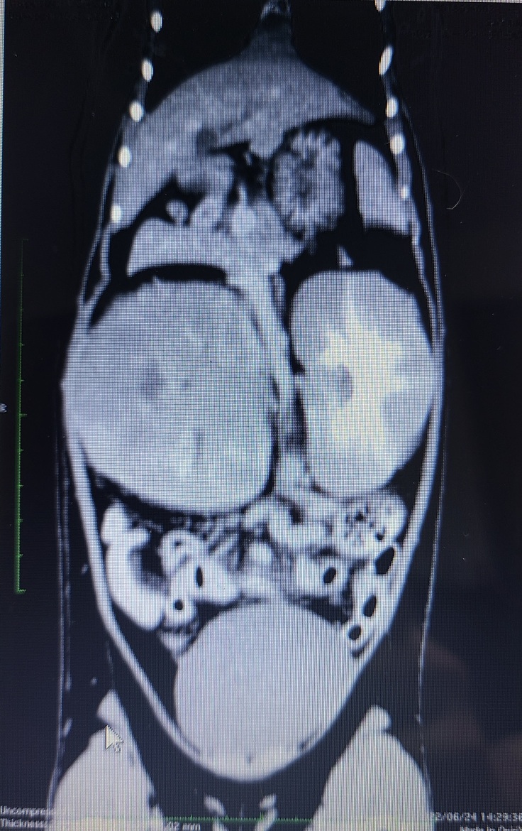
6/22の夜、ルルの呼吸がいつもより速く、苦しいのか時々大きく息をしていることに気づき夜間救急病院受診しました。胸水(リンパ液)が溜まっているとのことで肺が圧迫され呼吸困難となっていたようで、酸素濃度の高い部屋に入院することとなりました。数日にわたりレントゲンやCT、エコー、採血などの検査をしてもらった結果、縦隔型悪性リンパ腫、腎臓リンパ腫と診断されました。その日は、飼い主としてもっと早くルルの病気に気づいてあげられたらルルは苦しい思いをせずに済んだと思い涙が止まりませんでした。
リンパ腫の原因として、若齢の猫の場合、猫白血病ウイルス感染症(FeLV)の陽性率が高いのが特徴と獣医師さんに言われましたが、検査の結果陰性。猫免疫不全ウイルス(FIV)の感染も陰性で、原因不明とのことでした。当時まだ9ヶ月の子猫のルルがこのような大病を患いつらそうにしている姿は本当に可哀想でなりません。
▲腫瘍により胸水貯留と腎臓が大きく肥大している写真
獣医師さんには1日で100mlほどの胸水が溜まっている状態で、定期的に針を刺して水を抜いても数ヶ月の命で、助かるためには早急に抗がん剤治療を行う必要があると宣告されました。幸い白血病ウイルスが原因のリンパ腫ではないことから、抗がん剤の効き目がよく長期生存する猫もいると獣医師さんに教えてもらいました。「助かる可能性があるのに治療せずこのままルルを死なせるわけにはいかない」、「ルルの家族としてルルを幸せにするんだ」という思いから、ルルのがんが完治することを信じて抗がん剤治療を行うことを決意しました。
治療で投薬を開始しましたが、想像を超える治療費に飼い主として大変恥ずかしながら、お金を工面する事が難しい状況となってしまいました。知人に相談した際にクラウドファンディングを知りました。
このままだと治療を継続することが難しい為、皆様にご支援のご協力をしていただきたくプロジェクトを立ち上げさせて頂きました。大変恐縮ではございますが、ご支援のご協力お願い致します。
※動物病院から掲載許諾を得ています。
▼プロジェクトの内容
抗がん剤治療は1週間に1度、4週連続行い1週間休み、これを1クールとし計4クール行うため、半年近く掛かる長期戦となります。1回抗がん剤を打つごとに23,650円程かかります。
◎目標金額の設定について
現在治療している段階で正確な治療費を計算することが難しいため、大まかに計算した金額から、今回の目標金額を設定していますのでご了承ください。
◎現在までの支払い
6/23 103,891円 (内、アニコム損保10,000円)
6/25 142,120円 (内、アニコム損保20,000円)
6/26 17,677円 (内、アニコム損保8,839円)
6/28 8,437円 (アニコム損保利用なし)
7/2 23,650円 (内、アニコム損保10,000円)
合計 295,775円 (内、アニコム損保48,839円)
◎目標金額 45万円の内訳
・7/2から抗がん剤治療を開始していますので、13,650円(23,650-10,000円)を基準として4クール分計算すると、抗がん剤治療だけで13,650円×16回=218,400円
・その他治療中に定期的にかかるCT検査代費用も必要です。
現在までにかかった支払いと合わせると、治療費の合計は50万円以上となる予想です。
目標金額45万円のうち、手数料12%(54,000円)+税(5,400円)で引かれるため、手元に残るのは390,600円を想定しています。
※動物病院から掲載許諾を得ています。
▼プロジェクトの展望・ビジョン
2022年7月2日 抗がん剤治療1クール目開始
2022年8月上旬 抗がん剤治療2クール目開始
2022年9月上旬 抗がん剤治療3クール目開始
2022年10月下旬 抗がん剤治療4クール目開始
2022年11月下旬 抗がん剤治療4クール終了
その後、がんの状態によっては治療を継続していくことのなります。
▼現在の経過について
8/29現在抗がん剤治療2クール目をしているところです。いまのところ元気に遊び周ることはできていますが、吐き気止めを飲んでも吐いてしまったり、毛が抜けてきてしまったりしている状況です。
がん細胞が完全に消えることを信じてこれからも治療を続けていきたいと思っています。
※現在までの経過について進展があり次第追加していく予定です。
どうか、小さな命を助けてください。
▶︎ ペット保険による補償の有無。補償がある場合は、補填対象の治療名と金額:
【有(アニコム損保)。治療費の半額、もしくは入院1日10,000円が補填されるため、残りの金額をクラウドファンディングで集めます。】
▶︎ 万が一ルルくんが亡くなってしまった場合の資金使途:
【返金はせず、亡くなるまでに発生した治療費に充てさせていただきます。】
プロジェクト実施完了までの間に、治療方針や治療の要否に変化が生じた場合、支援者の皆様、READYFOR事務局に速やかにお伝えします。
▶︎ 本クラウドファンディングに関するお問合せは以下までご連絡ください。
連絡先:instagram【https://www.instagram.com/ememeanimal2021/】
READYFOR事務局:ペットの治療費用を集めるクラウドファンディングに関しては、以下のガイドラインもご確認ください。
ペットの治療費用を集めるクラウドファンディングに関する当社の考え
https://legal.readyfor.jp/guidelines/launching_project/pet_care/
- プロジェクト実行責任者:
- 北村知也
- プロジェクト実施完了日:
- 2022年12月3日
プロジェクト概要と集めた資金の使途
集まった資金の使い道は、すべてルルの治療費に当てさせていただきます。
リスク&チャレンジ
- プロジェクトに必要な金額と目標金額の差額について
- 必要金額と目標金額の差額は自己資金にて補填します。
あなたのシェアでプロジェクトをさらに応援しよう!
プロフィール
あなたのシェアでプロジェクトをさらに応援しよう!
リターン
500円+システム利用料

リターンなし(500円)
リターンなし(500円)
リターン不要の方はこちらをご利用下さい。
- 申込数
- 2
- 在庫数
- 制限なし
- 発送完了予定月
- 2022年12月
1,000円+システム利用料

リターンなし(1000円)
リターンなし(1000円)
リターン不要の方はこちらをご利用下さい。
- 申込数
- 3
- 在庫数
- 制限なし
- 発送完了予定月
- 2022年12月
500円+システム利用料

リターンなし(500円)
リターンなし(500円)
リターン不要の方はこちらをご利用下さい。
- 申込数
- 2
- 在庫数
- 制限なし
- 発送完了予定月
- 2022年12月
1,000円+システム利用料

リターンなし(1000円)
リターンなし(1000円)
リターン不要の方はこちらをご利用下さい。
- 申込数
- 3
- 在庫数
- 制限なし
- 発送完了予定月
- 2022年12月










