脳腫瘍のモカを助けたい!ご支援お願いいたします

支援総額
目標金額 900,000円
- 支援者
- 10人
- 募集終了日
- 2023年3月1日

Protectyou~保護犬猫の医療と介護の継続サポーター募集
#動物
- 総計
- 347人

ファシリティドッグ ドリーム☆サポーターを募集中!
#子ども・教育
- 総計
- 462人

【継続支援のお願い】高齢、障がいの保護犬が穏やかに過ごせますように
#動物
- 総計
- 193人

ドッグレスキューハグサポーター『桜を咲かせ隊』募集中!
#動物
- 総計
- 53人

『どの子も幸せに』を目標に!MOKOん家サポーターさん募集
#動物
- 総計
- 121人

小さな命を救いたい!殺処分0目指すMikiJapanサポーター募集
#まちづくり
- 総計
- 45人

結んだ絆、ほどけないように。リーフノットサポーター募集中!
#子ども・教育
- 総計
- 107人
プロジェクト本文
▼自己紹介
はじめまして、埼玉県在住の柴田と申します
当プロジェクトを目に止めて頂きましてありがとうございます
この度ご支援をお願いしたいのはトイプードルのモカです
モカは現在脳腫瘍が診断されており、その治療に踏み切れず、経過観察の状態にあります
最初に発覚までの経緯と記事を投稿させて頂くまでの経緯についてお話させてください
少し長くなってしまいますが、ご一読頂ければ幸いです
▼モカのこれまでの歩み
モカを飼ったきっかけは、当時中学に入学した直後に体調を崩してしまい登校も外出も難しくなってしまった息子に光を届けてくれるかもしれないと思ったからでした
モカはやんちゃながらも元気いっぱい
思い描いていた通り家族に癒しを齎してくれて、家族の中で掛け替えのない存在になっていきます
その小さな癒しを糧に仕事に励む中、帰宅すると出迎えてくれるモカは唯一とも言える心の支えでした
普段と変わらない生活を過ごす中、時は流れ2022年10月末
11歳になったモカ、いつもより元気がないような…?モカに異変を感じ動物病院へ連れて行くことに
検査の結果はなんと急性膵炎で一刻を争う事態に
膵炎の治癒を頑張るモカ
数週間の治療を重ねた甲斐もあり、なんとか元気になってくれたモカ
夜通しフゥーンと鳴いたりよろめいたりとハラハラでしたがこれで一安心
ブレンダZと言う新薬があるとは言え非常に危ない疾患なので乗り越えてくれたことが嬉しかったです
今まで通りの元気な姿を見せてくれたこともあり、安心しきっていました
膵炎の治癒後にリラックスするモカ
▼脳腫瘍の発覚
12月の中盤、年末のムードを過ごす中でそれは突然起こります
普段通り一緒の布団に入りさあ寝よう、そう思っていた時に布団の上で突如転び目を見開き痙攣…
数十秒で起き上がるもキョロキョロとしながら動き回り落ち着かない様子
この年齢でてんかんはあり得ないと思いすぐに動物病院へ
脳疾患が疑わしいとの説明を受け強い発作が起きた時用の座薬(ダイアップ)を処方して頂き帰宅
それ以降、1日~2日に数回程度の頻度で急に転んで痙攣を起こしたりする発作が起こり始めます
さらに深夜になると息を荒げて興奮してしまい落ち着かない様子
何度か急患で夜間の動物病院を受診し、発作を抑える為のフェノバールを処方して頂き投薬を開始
その後も何日かは発作が続きましたが、薬が効いてくれたのか発作の頻度はかなり落ちてくれます
ですが効果の代償の副作用なのか、歩行がおぼつかず部屋を徘徊してはよろめくを繰り返すモカ
怪我をしないようペットサークルを購入、日中から深夜まで家族で交代しながらの看病をしていきます
朦朧としているのか虚ろになり徘徊と回転運動が目立つモカ
再度動物病院を受診し、MRI検査をしてあげたいとの旨を伝えすぐに予約
治療費が高額過ぎる故に殆ど治療に踏み切る人はいないと言われる中で、発覚したのは脳腫瘍でした
しかしながら治療の手段とおおよその費用を提示され呆然、急性膵炎の治療でかかったコストもあり、その日は涙しながらもモカを連れて帰宅
家族に光を与えてくれたモカ、まだ生きてくれるはずなのに何もしてやれないのが悔しいです
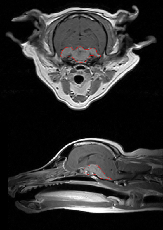
診断書とMRIに写る腫瘍
病理組織を取れない以上は断定できないものの、疑われたのは髄膜種でした
獣医師によるとどれ程の余命かは予見し辛く、腫瘍の成長速度も個体差が大きいとのこと
積極的な治療を行わない場合、再び発作を繰り返すようになり薬も効かなくなってしまうようで…
腫瘍の位置的に手術は難しく治療を行うなら放射線治療が第一選択になるとの話もあり、
現状はフェノバールとプレドニゾロンを投与して発作を抑える為の対症療法を継続している状態です
腫瘍の大きさは非常に大きく、予断を許さない状態にあります
放置した場合は脳ヘルニア等を併発し急速に死亡してしまうケースもあり基本的には予後不良とのこと
頻繁に転んでしまう為、サークルから出たがった時には帽子を被らせています
飼い始めた当初の希望も虚しく息子が中学の頃に患った体調不良はその後も良くならず、
モカが来てからもあちこちの病院にかかっていましたが、7年程後になってようやく脳脊髄液減少症と言う病名が明らかになり、現在まで治療を繰り返しているものの難治例では改善が難しく、未だ日常生活が困難で頻繁に横にならなければならない日々を過ごしています(参考資料)
就労が困難であり、体が健康なら協力できたはずと悔いている姿を見るのは親としても辛いです
さらにはモカの面倒を見るあまり悪化してしまい、家族全体が絶望の淵に立たされてしまうことに…
自宅の同じ景色ばかりを見る十数年間、その中でのモカの存在はきっととても大きかったはず
私自身シングルマザーでもありモカは掛け替えのない存在です
普段は医療関係の事務仕事に勤めているのもあり脳神経科の先生とも話す機会があるのですが、
これまた珍しいのを引いてしまったねとの一言…
それもそのはず、犬が脳腫瘍を罹患する確率はなんと約0.02%(出典:脳疾患/脳腫瘍:神経外科/内科)
多くの不運が重なってしまい、お手上げの状態です
治療してあげたい、悔しさを残したくないと思う中で辿り着いたのがクラウドファンディングでした
家族にとっての光であるモカを救う為に、どうかご支援についてご一考の程をお願いします
▼プロジェクトの内容
◆モカの脳腫瘍に対する放射線治療(照射回数未定)
必要金額:100万円~120万円
◆治療に際して併発疾患が生じたり追加の投薬が必要であった場合はそれらの治療
必要金額:必要性の有無と必要金額共に不定
◆当プロジェクトの内訳
目標金額:900,000円
手数料及び税:ReadyFor手数料(12%)+消費税(10%)+早期振込オプション
目標金額到達時点での受け取り金額:748,200円
当プロジェクトはAll-or-Nothing方式であり、1円でも目標金額に到達しない場合はご支援を受けることができず、全額支援者様に返金される仕組みです
▼プロジェクトの展望・ビジョン
目標支援額を達成次第、早急に治療先の動物病院に連絡し治療計画を実行します
モカの状態を常に気にかけ、可能な限りモカが苦しまない治療計画を選択していくつもりです
元気だった頃のモカの姿をもう一度見れるよう最善を尽くしていきます
元気だった頃のモカ(2022年夏頃撮影)
▼ご支援いただいた資金利用の信頼性確保について
プロジェクトを遂行するにあたって、ご支援金を消費する際は可能な限りその透明性の確保に努めます
具体的な手段は以下の通りです
①ご支援者様に対し、検査や治療に伴う明細書等の開示を行います
②開示の際、モカが存命し入院や絶対安静等を要していない場合はモカと一緒に写るように撮影します
③明細書等に病院名や獣医師名が記載されている場合は、その部分のみ伏せさせていただきます
④これらのご報告は新着情報やメッセージ及び外部サービスを併用するなどして行わせていただきます
また、当プロジェクトはReadyForが定める【動物の治療費を集めるプロジェクト】を公開予定の方へのガイドラインに従い必要書類を提出し、厳正なる審査を通過した上で公開されています
資金が準備できていないこともあり担当獣医師との間で確定的な治療計画を立てられている訳ではありませんが、クラウドファンディングを行うことと資金が集まった場合には放射線治療を行うこと、必要額等の大まかな部分はしっかりと話し合った上でプロジェクトを掲載しております
<ご支援にあたっての注意事項>
▶︎ 1. ペット保険について
①ペット保険による補償の有無:無し
②補填対象の治療名と金額:無し
▶︎ 2. 万が一モカが亡くなってしまった場合の代替の資金使途について
万が一治療中または治療直前にモカが亡くなってしまった場合や、モカの体調が思わしくなく放射線治療の実行に際して大きなリスクが生じる可能性が高いと獣医師からその断念を推奨された等の理由で放射線治療を中断する必要が生じた場合には、返金はせずにそれまでに発生した治療費や緩和治療等の内科的治療の費用に充てさせていただきます
当初は亡くなってしまうか放射線治療の継続を断念する必要が生じた時点での残額は全て他のユーザー様による犬の治療を募るプロジェクトに寄贈させていただくつもりでプロジェクトの申請を行っておりましたが、あらかじめ寄贈先のプロジェクトを決定する必要があるとの連絡を受けたこと、その際に相手先のプロジェクト実行者様からの許可を得る等のプロセスが必須であり、また対象が生き物である為に常にプロジェクトが停止する可能性がある等の複雑さを伴う可能性があること、何よりモカのプロジェクトの公開が遅れてしまうことが予想された為このようにさせていただく事になりました
大変恐縮ではありますが、ご理解の程をお願い申し上げます
▶︎ 3. 問い合わせ先について
本クラウドファンディングに関するお問合せは以下までご連絡ください。
連絡先:mocha.dekapu@gmail.com
▶︎ 4. 掲載している資料について
掲載している診断書や診療明細書などの資料は全て動物病院から掲載の許諾を得ております。
▶︎ 5.治療方針などが変更になった場合について プロジェクト実施完了までの間に、治療方針や治療の要否に変更が生じた場合、支援者の皆様、READYFOR事務局に速やかにお伝えします。
▶︎ 6.READYFOR事務局からのご連絡
ペットの治療費用を集めるクラウドファンディングに関しては、以下のガイドラインもご確認ください。
ペットの治療費用を集めるクラウドファンディングに関する当社の考え
https://legal.readyfor.jp/guidelines/launching_project/pet_care/
- プロジェクト実行責任者:
- 柴田 美紀
- プロジェクト実施完了日:
- 2023年2月28日
プロジェクト概要と集めた資金の使途
モカの脳腫瘍に対する放射線治療及び併発疾患が発覚した場合はその治療を行わせていただきます。 獣医師の推奨等により治療を断念しなければならない状況が生じた場合には死亡までの緩和治療を行わせていただきます。 その他の用途は、"万が一の場合の代替の資金使途について"の項に記された通りに使わせていただきます。 プロジェクト実施完了日は治療予定の動物病院様と打ち合わせを行った結果の目安である為、実際の実施日は前後する可能性があることをご了承ください。
リスク&チャレンジ
- リターンを実施する上でのリスクについて
- 治療計画日時は前後する可能性があり、それに伴いリターンの履行が遅れる可能性があります
- プロジェクトに必要な金額と目標金額の差額について
- 必要金額と目標金額の差額は自己資金にて補填いたします。 万が一自己資金による補填が困難になった場合は、照射回数を減らすなど担当の獣医師と相談した上で、可能な限り獣医師から提示されたプラン通りに治療を遂行できるよう努めさせていただきます。
あなたのシェアでプロジェクトをさらに応援しよう!
プロフィール
飼っているトイプードルのモカが脳腫瘍を患ってしまった為登録しました よろしくお願いいたします。
あなたのシェアでプロジェクトをさらに応援しよう!
リターン
1,000円+システム利用料

モカ応援コース・A
感謝のメッセージと経過報告をさせて頂きます
- 申込数
- 3
- 在庫数
- -
- 発送完了予定月
- 2023年4月
1,000円+システム利用料

モカ応援コース・A(リターン不要)
リターン不要の場合はこちらをご選択ください
- 申込数
- 2
- 在庫数
- -
- 発送完了予定月
- 2023年4月
1,000円+システム利用料

モカ応援コース・A
感謝のメッセージと経過報告をさせて頂きます
- 申込数
- 3
- 在庫数
- -
- 発送完了予定月
- 2023年4月
1,000円+システム利用料

モカ応援コース・A(リターン不要)
リターン不要の場合はこちらをご選択ください
- 申込数
- 2
- 在庫数
- -
- 発送完了予定月
- 2023年4月
プロフィール
飼っているトイプードルのモカが脳腫瘍を患ってしまった為登録しました よろしくお願いいたします。













