
支援総額
目標金額 400,000円
- 支援者
- 115人
- 募集終了日
- 2023年6月15日
経過観察⑤・⑥10.13~11.10→11.11~12.8間


今日はクリスマス・イヴですね🎅🎄.*
今年はサンタさんのケーキにしました🎂
トラお姉ちゃんにも美味しいおやつを︎💕
生前よく食べてくれていたシリーズです😋🍴
モカちゃんにももちろんお裾分け😸

そうそう!!先日モカちゃん4歳のお誕生日でした🎂🎊🎉12月21日生まれ!!

無事にこの日を迎えられて本当に嬉しいです😭✨
悪性リンパ腫になったのは今年の2月15日...あれから約10ヶ月︎😖
今も経過観察で通院は続いてますし、これからも日々油断はできませんが、迎えられない可能性があったお誕生日を、こうして元気に迎えられたことに感謝をしながら、これからも一緒に頑張っていきます☺😸︎💕
✧• ───── ✾ ───── •✧
ちょっと長いですが、更新できていなかった経過観察の記録です🏥↓↓↓
💊10.13~11.10間

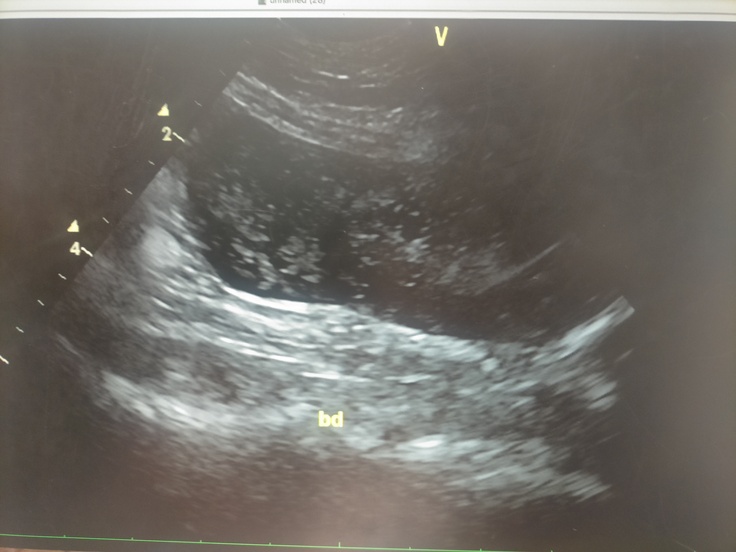
血液検査、エコー検査共にクリア!!👏
腫瘍らしき病変は全く見受けられず、全体の白血球数は少々下がってはいるものの(逆に上がっているとリンパ腫的には炎症が起きていることになるので良くない💦)総合的には全て平均値内で、非常に優秀な成績を収めることができました!!👏
前回プチダイエットに成功し、7kgオーバーだった体重が6.88kgになり→今回は6.65kg!
とてもスムーズな体重ダウンとのことで、これも褒められました👏👏👏
ステロイド卒業に向けてまた一歩前進し、今度は1/4錠を2日に1回ペースに!!(今までは1日1回だった💊)
念には念をでこれを2ヶ月続け、2ヶ月後に問題がなければ晴れてお薬から卒業です!!!😭
ただ、前々回鼻下+上唇裏の腫れがあり診てもらった部分、あの時は特に塗り薬を塗る間もなく自然に治ったものの…また同じ所がぷっくり腫れ始めました💦
おもちゃで蹴ったのかな疑惑が出てましたが、この1~2ヶ月使ってないので、やっぱりちょっとしたバイ菌なのか何なのか...?︎😖՞ ՞
✧• ───── ✾ ───── •✧
💊11.11~12.8間
年内ラストの検査通院!!🏥😸
体重は変わらずキープ!!
経過もとても良好で、リンパ節の腫れは一切なく、再発の影はゼロと!!😭👏👏👏※2週間前に追加通院し、血液検査はしてるので今日はなしでしたが、口元の痒みのぶり返し等もなく全身状態が落ち着いているので問題なしと✨


ただ、膀胱にまた謎の白モヤが沢山あり(本来は真っ黒で写る)今回も脂肪説が濃厚ではあるものの、男の子なのでそもそも結石等が出来るリスクも高いし、以前特に利尿器系のトラブルはないのに炎症が起きていて、膀胱に浮遊物(ふわ~と動くので、今日のとはまた違う)が写っていたこともありお薬を飲んだり…なんて経緯もあるので、
定期的に尿検査もしていこうね!と💉
ステロイド卒業問題に関しては(減薬の過程でまた炎症が起きてしまい、中々投薬を終えられず💦)
年末年始も挟むので、今月は冒険はなしでこのまま1/4錠を毎日続けて、もしまた何か症状が出たら少し増やす→徐々に減らすで様子を見ながら、来年は1/6錠毎日コースに変えたり、週1~2回だけ休薬する日などを設けてみるのは有りかも!!と✍️
1/8錠毎日案も出ましたが、
1/4錠を2日に1回にしたら症状が出たので、結局同じことになりそうかなと💦

ステロイドと違い副作用の少ない【アトピカ】という免疫抑制剤があり、それを交互に飲ませたり、アトピカのみに切り替える案も出ていましたが、
アトピカだと併用するしないに関わらず毎日飲ませなければならないらしく←最終的に数日置きにしていくことは出来ても道のりは長い💊
モカの体重だと飲ませる量も多く中々の高額になってしまうので、その案は見送りに︎😖
でも全体的にとにかく元気に過ごしてくれていて、過去のエコー検査データを見比べる為に4月頃のを先生と一緒に見ていたのですが、
この頃はまだまだ腫瘍があって、リンパ節の部分に印がついていて…
👩⚕️「モカちゃん本当に頑張ったねぇ」と言って頂けました😭
トラお姉ちゃんをはじめ、色々な子たちのことを思い浮かべながら「効かない子も…いますもんね…」なんてお話したら
👩⚕️「むしろ効かない子の方が多いんだよ💦」と。そして
👩⚕️「私たち獣医師ですら、一緒に暮らしている子たちの異変に気づけなくて気づいた時には…ってことが本当に多いから、初期で見つけるのって本当に難しいことなんだよね」とも😭
改めて、今この瞬間も、1日1日も、本当に奇跡の連続で成り立っているのだなと感じました🥺これからも支え、守り続けます!!(🔥口🔥)و*
✧• ───── ✾ ───── •✧
次の検査通院は1月5日です🏥🚗³₃
READYFORの投稿も年内はこれがラストになると思うので、皆さま良いお年を!!☺
2023年は本当に皆様に支えられた1年となりました😭ありがとうございます✨
来年も、モカをはじめ闘病中の子たちが元気いっぱい幸せに日々を過ごしていけますよう、願いを込めて(*˘︶˘*).。.:*
2023年12月24日
プロジェクト実行者
一平杏子
モカ
リターン
500円+システム利用料

頑張れ!モカ【500円】
⚫感謝のメールと活動報告をお送りします。
※頂いた支援金は全て治療費に当てさせて頂きますので、費用のかからないリターンとなること、お許しください。
- 申込数
- 5
- 在庫数
- 制限なし
- 発送完了予定月
- 2023年7月
500円+システム利用料

負けるな!モカ【500円リターン不要】
リターン不要の場合はこちらをお選びください。お心遣い本当にありがとうございます。
- 申込数
- 7
- 在庫数
- 制限なし
- 発送完了予定月
- 2023年7月
500円+システム利用料

頑張れ!モカ【500円】
⚫感謝のメールと活動報告をお送りします。
※頂いた支援金は全て治療費に当てさせて頂きますので、費用のかからないリターンとなること、お許しください。
- 申込数
- 5
- 在庫数
- 制限なし
- 発送完了予定月
- 2023年7月
500円+システム利用料

負けるな!モカ【500円リターン不要】
リターン不要の場合はこちらをお選びください。お心遣い本当にありがとうございます。
- 申込数
- 7
- 在庫数
- 制限なし
- 発送完了予定月
- 2023年7月

置き去りにされた猫に手術を行いたい
- 現在
- 366,000円
- 支援者
- 63人
- 残り
- 2日

42匹の保護猫達を助けて下さい‼️
- 現在
- 688,000円
- 支援者
- 101人
- 残り
- 2日

猫伝染性腹膜炎を患ったポンちゃんの明日をつないで頂けないでしょうか
- 現在
- 198,000円
- 支援者
- 45人
- 残り
- 13時間

シンデレラサポーター募集「飼い主のいない猫」から「幸せな飼い猫」へ
- 総計
- 62人

動物愛護の啓発、犬猫保護や地域猫活動にご協力ください
- 総計
- 4人

【4歳10ヶ月悪性リンパ腫】愛猫きなこの抗がん剤治療のためのご支援
- 現在
- 215,000円
- 支援者
- 55人
- 残り
- 33日

ねこたまごサポーター募集|殺処分対象の猫達を救いたい!
- 総計
- 13人










