
支援総額
目標金額 400,000円
- 支援者
- 115人
- 募集終了日
- 2023年6月15日
🏥悪性リンパ腫発症から1年が経過しました😸🍀
こんばんは🌛お久しぶりの投稿となってしまいました︎😖՞ ՞そして、年明けに新年のご挨拶と共に龍風のモカちゃん画像を貼り付けて投稿していたつもりだったのに…下書き保存されたままで反映されていませんでした😭ショック!!
空白となってしまった12月以降の経過まとめは、また別日に投稿させて頂きます🥺

✧• ───── ✾ ───── •✧
2023年2月15日
悪性リンパ腫と診断され緊急入院となってしまったあの魔の日から…遂に1年が経過し、モカちゃん毎日とっても元気に過ごしてくれております~!!!!😭🙌✨
1年前のあの日は、朝方がピークに具合が悪くて、声をかけても反応が薄く明らかにぐったりして窓際に横たわっていたモカちゃん💦ちょうど朝一で予約の日だったので連れて行くと、
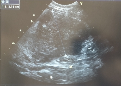
10日前に気になる腫れがあると言われていた腸に3cm越えの異物がゴロゴロ出来ていて、ほぼ間違いなく腫瘍ですと…それも増殖スピードが異常に早いので、このままだと2~3日で食べられなくなり、1週間も持たないかもしれない…
そんな信じられない言葉を告げられ、生検結果は悪性リンパ腫……(血液の癌)

🔺最大サイズだった時の腫瘍
10日前の診察時には存在すらしなかったのに…凄まじい成長スピードでした💦
当時のモカの状態的に、抗がん剤が効くかどうかもわからない。効いたとしても悪い反応が起きることもあり、また元気な姿で会えるかどうかもわからない。あと何日一緒に居られるかもわからない…
そんな絶望的な状況で緊急入院が決まり、モカの生命力に賭け、辛く長い治療が始まりました︎︎😖

🔺抗がん剤治療後のモカ
辛そうに過ごすことが多く、本当によく頑張ってきてくれたなと😭
これまでの治療スケジュールは決して順調な道のりとは言えませんでしたが、一歩ずつ一歩ずつ乗り越え、沢山の奇跡を起こし続け、寛解まで辿り着き、1年経った今、こんなに元気な姿で同じ日を迎えられるなんて思っていませんでした🥺
最近のモカちゃんは「おはよう🌞」と声をかけるとゴロン!とお腹を出し、もこもこふわふわの温かいマシュマロボディでゴロゴロゴロ…毎日とってもご機嫌です😽💕


現在も月に一度定期検診は続けており、血液検査・エコー検査共に問題はなく、再発の影はありません!!🙌✨👏
ただ、時々唇周りに腫れが出来てしまい、まだまだステロイド卒業は程遠く、何だかんだ追加通院したり、今も週に1度水素治療は継続していますが、とにかくモリモリ食べ元気いっぱいで、何よりご機嫌なのが本当に嬉しいです😭目もキラキラしていて、体調が良いのだと思います︎💕︎💕
先日実はモカの加入しているペット保険から保障打ち切りの連絡がきてしまい(慢性疾患扱いとなり、9月の更新時以降は対象外にされてしまうそうです😭)まだまだ通院も続くし、これから何があるかもわからないので、何のための保険だったのだろう…とかなりショックでしたが💦長い目で見てモカのことを支え続けていけるよう、これからも頑張ります︎😖
今後は、リンパ腫関連や持病に関しては無保険状態となってしまいますが💦一番大変な時に支えて頂いたことに感謝の思いでいっぱいです😭
また、クラウドファンディングを通して応援して下さった皆様のお陰で、こうして治療を続け寛解し、1年生存率20%以下の悪性リンパ腫という病気を乗り越えることが出来ました🥺
改めまして、皆様本当に本当にありがとうございます😭🙇♀️ ̖́-
これからも生涯モカを守り続けて参ります!!(🔥口🔥)و*更新も、頻度は少ないですが続けて参りますので、引き続きモカの猫生を一緒に見守って頂けましたら嬉しいです☺
2024年が皆様にとっても実りある穏やかで素敵な1年となりますように🙏
病気の子たちや、頑張っている子たちが幸せな時間を沢山過ごしていけますように🙏
一平杏子&モカ
リターン
500円+システム利用料

頑張れ!モカ【500円】
⚫感謝のメールと活動報告をお送りします。
※頂いた支援金は全て治療費に当てさせて頂きますので、費用のかからないリターンとなること、お許しください。
- 申込数
- 5
- 在庫数
- 制限なし
- 発送完了予定月
- 2023年7月
500円+システム利用料

負けるな!モカ【500円リターン不要】
リターン不要の場合はこちらをお選びください。お心遣い本当にありがとうございます。
- 申込数
- 7
- 在庫数
- 制限なし
- 発送完了予定月
- 2023年7月
500円+システム利用料

頑張れ!モカ【500円】
⚫感謝のメールと活動報告をお送りします。
※頂いた支援金は全て治療費に当てさせて頂きますので、費用のかからないリターンとなること、お許しください。
- 申込数
- 5
- 在庫数
- 制限なし
- 発送完了予定月
- 2023年7月
500円+システム利用料

負けるな!モカ【500円リターン不要】
リターン不要の場合はこちらをお選びください。お心遣い本当にありがとうございます。
- 申込数
- 7
- 在庫数
- 制限なし
- 発送完了予定月
- 2023年7月

置き去りにされた猫に手術を行いたい
- 現在
- 366,000円
- 支援者
- 63人
- 残り
- 2日

42匹の保護猫達を助けて下さい‼️
- 現在
- 688,000円
- 支援者
- 101人
- 残り
- 2日

猫伝染性腹膜炎を患ったポンちゃんの明日をつないで頂けないでしょうか
- 現在
- 198,000円
- 支援者
- 45人
- 残り
- 13時間

シンデレラサポーター募集「飼い主のいない猫」から「幸せな飼い猫」へ
- 総計
- 62人

動物愛護の啓発、犬猫保護や地域猫活動にご協力ください
- 総計
- 4人

【4歳10ヶ月悪性リンパ腫】愛猫きなこの抗がん剤治療のためのご支援
- 現在
- 215,000円
- 支援者
- 55人
- 残り
- 33日

ねこたまごサポーター募集|殺処分対象の猫達を救いたい!
- 総計
- 13人










