
支援総額
371,000円
目標金額 300,000円
- 支援者
- 90人
- 募集終了日
- 2021年8月25日
https://readyfor.jp/projects/moontyan?sns_share_token=&utm_source=pj_share_url&utm_medium=social
2021年08月08日 02:46
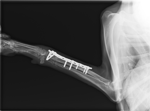
足のレントゲン写真です

1番最近のレントゲン写真です!
真っ白く写る、足先側の洗濯バサミのような器具の形の下あたりが折れた部分なのですが、隙間がほとんどわからないぐらい骨がくっついています!
骨は繋がらないかも…と言われていたので、この結果はとても嬉しいです!ムーンちゃんもご飯をいっぱい食べて頑張ってくれました(^^)
ただ、まだ足先が曲がらず歩く際につま先立ちのようになりフラつくので、リハビリを継続し、お外のお散歩をめざしていきます!
リターン
1,000円
1 感謝のメールまたはお手紙
●感謝のメールまたはお手紙をお送りさせていただきます。
もしお送りまでに車椅子が不要になっていればその旨も合わせてご報告させていただきます。
- 申込数
- 43
- 在庫数
- 制限なし
- 発送完了予定月
- 2021年9月
3,000円
2 感謝のメールまたはお手紙
●感謝のメールまたはお手紙をお送りさせていただきます。
もしお送りまでに車椅子が不要になっていればその旨も合わせてご報告させていただきます。
- 申込数
- 26
- 在庫数
- 制限なし
- 発送完了予定月
- 2021年9月
1,000円
1 感謝のメールまたはお手紙
●感謝のメールまたはお手紙をお送りさせていただきます。
もしお送りまでに車椅子が不要になっていればその旨も合わせてご報告させていただきます。
- 申込数
- 43
- 在庫数
- 制限なし
- 発送完了予定月
- 2021年9月
3,000円
2 感謝のメールまたはお手紙
●感謝のメールまたはお手紙をお送りさせていただきます。
もしお送りまでに車椅子が不要になっていればその旨も合わせてご報告させていただきます。
- 申込数
- 26
- 在庫数
- 制限なし
- 発送完了予定月
- 2021年9月
1 ~ 1/ 7
このページを見た人はこんなプロジェクトもチェックしています
一般社団法人 まあくんハウス
NPO法人 青い鳥動物愛護会
ピースウィンズ・ジャパン
NPO法人セブンデイズ
NPO法人 インドネシア路上猫の楽園
大久保智穂(社)アニマルパレス
一般社団法人まあくんの家

【まあくんハウスマンスリーサポーター】保護した野犬・成犬に未来を
継続寄付
- 総計
- 71人

青い鳥サポーター募集中〜殺処分ゼロを守り抜くためのご支援を〜
継続寄付
- 総計
- 75人

【緊急支援|大分市 大規模火災へのご支援を】
#医療・福祉
475%
- 現在
- 4,752,000円
- 寄付者
- 518人
- 残り
- 40日

救う命を選ばない。どんな犬猫も保護し続け福岡の里親さんを増やしたい
#動物
108%
- 現在
- 3,256,000円
- 支援者
- 310人
- 残り
- 7時間

インドネシア路上猫の楽園|継続ご支援募集始めました
継続寄付
- 総計
- 17人

一般譲渡ができない犬猫たちを救い続ける|アニパレサポーター募集
継続寄付
- 総計
- 174人

“まあくんの家“応援隊募集‼︎行き先のない子達の医療と継続のために
継続寄付
- 総計
- 189人
最近見たプロジェクト
下畑浩二(しもちゃん)
新関 江里子
NPO法人しんぐるまざあす・ふぉーらむ・福島
STANCE PUNKS
白井勇
山城裕之
関根 健次

エゾシカ問題を無料のヒーローショーで伝え故郷の自然を守れ!
- 支援総額
- 70,000円
- 支援者
- 3人
- 終了日
- 4/30

暮らしに不安を抱えている人へ安心を
- 支援総額
- 138,000円
- 支援者
- 13人
- 終了日
- 5/17

福島のひとり親家庭・貧困家庭の子ども達に学習支援塾を!
- 支援総額
- 69,000円
- 支援者
- 7人
- 終了日
- 12/28
成立

17年目の音楽イベント、ロックの日をファンと作って存続したい!
170%
- 支援総額
- 631,000円
- 支援者
- 36人
- 終了日
- 5/31

10周年!しんゆり駅前のイルミネーションを今年も継続させたい!
- 支援総額
- 382,000円
- 支援者
- 22人
- 終了日
- 11/7
成立

川名雄生選手のプロ修斗世界チャンピオンへの道を応援したい!
111%
- 支援総額
- 334,000円
- 支援者
- 25人
- 終了日
- 4/19

未来の世代のため日本の再生可能エネルギーシフトを実現しよう!
- 支援総額
- 142,000円
- 支援者
- 8人
- 終了日
- 1/9








