
支援総額
目標金額 600,000円
- 支援者
- 142人
- 募集終了日
- 2021年7月25日

たんぽぽの里サポーター募集中!保護活動に必要な費用にご支援を
#地域文化
- 総計
- 122人

絶滅危惧種ツシマヤマネコを守るために!月々のご支援で安定的な整備を
#地域文化
- 総計
- 147人

老病ねこたちが最後まで安心して過ごせるおうちを守っていきたい!
#医療・福祉
- 現在
- 2,039,000円
- 支援者
- 161人
- 残り
- 7日

シンデレラサポーター募集「飼い主のいない猫」から「幸せな飼い猫」へ
#動物
- 総計
- 62人

【緊急支援|大分市 大規模火災へのご支援を】
#医療・福祉
- 現在
- 4,224,000円
- 寄付者
- 511人
- 残り
- 40日

入院する子どもたちを笑顔に!ファシリティドッグ育成基金2025
#子ども・教育
- 現在
- 7,269,000円
- 支援者
- 582人
- 残り
- 24日

至急『猫の気管内リンパ腫』リエル君の治療費ご支援お願いいたします。
#医療・福祉
- 現在
- 14,000円
- 支援者
- 4人
- 残り
- 38日
プロジェクト本文
終了報告を読む
▼自己紹介
初めまして、シャディ(ペルシャ猫、雌、1歳)の家族のTANAKA KATSUYUKI(パパ)、TANAKA AZUNA(長女)と申します。シャディは昨年の4月に誕生し、11月8日に我が家の6人目の家族としてやってきました(5人目は同じペルシャ猫雄のマディ)。
家の中の見つけにくい箇所に潜んだりする少々怖がりな性格ですが、マディと仲良く遊んだり、長女(大学2年生)と次女(高校3年生)の腕の中で安心してくつろぐことが大好きな大人しい雌猫です。
*右側がシャディです
*日向ぼっこ大好き
▼プロジェクトを立ち上げたきっかけ
このプロジェクトをやろうと思った理由(経過)我が家に来た時から細く多少体の弱いシャディでしたが、約5週間前から活動が減り、食欲も失せ、眼が充血し、寝たきりになってしまいました。
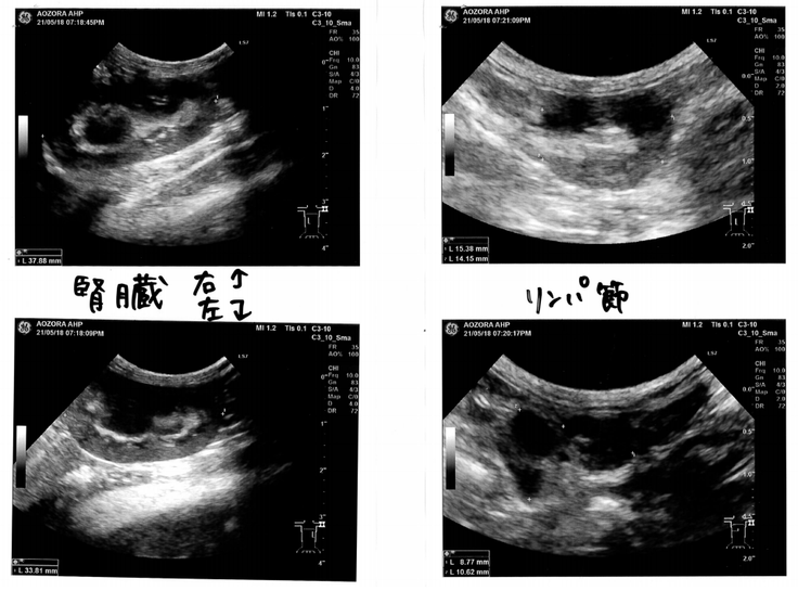
5月11日にA動物病院に連れていき血液検査から5月16日に猫伝染性腹膜炎(FIP)のドライ型だろうという検査結果を受けました。念のため別の動物病院(あおぞら動物病院)でも5月18日診察に伺い、下記検査結果の「ALB(アルブミン)/GLB(ブロブリン)比が目安となる0.45未満の0.38で猫伝染性腹膜炎(FIP)」と診断されました。
リンパ腺も約3倍に腫れておりました。
猫伝染性腹膜炎 (FIP)とは下記のような病気です。
・不治の病・病気の進行がとても早い
・治療法は確立していない
つまり治療は所謂「延命治療」しかなく、海外ではFIPを発症した猫に「安楽死」を勧めている事例もあると説明を受けました。幸いにもあおぞら動物病院(千葉県船橋市)では約80%が改善した治療方法があるとのことで藁にも縋る思いで院長先生に治療をご相談しました。
しかしながら非常に高額な治療方法で改善が見込めるまで総額約150万円弱がかかることが分かりました。 飼い主なので責任を持って自己対処すべきとは自分自身も思いますが、長女の私立大学学費、次女の来年私立大学入学という家計出費が重なる時期にFIPの治療費は私達の想定を遥かに超える金額でした。検査費用、交通費等を全て自己負担出来たとしても全額払うのは経済的に厳しい状況です。
このような状況下、娘たちが探索したのがこのクラウドファンディングでした。シャディと同じような境遇の猫がたくさんいる事を知ると同時に、多くの類似クラウドファンディングが成功されているのを拝見し「この方法を使えばシャディを助けられるかもしれない」と自信を貰い本プロジェクトを立ち上げました。 幸いシャディは5月18日の治療後2日目に少し元気を取り戻しはじめたので、今ならまだ間に合う状況です。シャディの顔を見ていると救えるかもしれない命を目の前にすると、どうしても諦める事ができませんし、娘たちもシャディを助けたい気持ち一杯で涙ぐむ日々を送り、学業にも支障が出ることを心配しております。
シャディの命をどうにかして救い、もう一度娘たちとシャディが笑顔溢れる日々を送って欲しい、その一心です。 飼い主として大変恥ずかしい限りですが、どうか皆さんのお力を貸して頂けますようお願い申し上げます。
*診察中のシャディ
▼プロジェクトの内容
皆様から頂いた支援金は全てあおぞら動物病院の治療費用に充てさせて頂きます。治療は12週間連続投与が絶対条件であり、2週間に1回行う体重計測と検査の結果によって投薬する量が変わっていきます。途中で中断したりすると、1週目からやり直しになってしまいます。12週間の投薬が終了したのち、血液検査等の結果で正常値を保つことが出来ていると、FIPが再発しにくくなり完治という事になります。
シャディは1.8㎏あり、その時点での1日あたりの薬の投与量は350mg=9,800円(税込み)でした。 *あおぞら動物病院での処方明細の通り
体重や緩やかに増加すると共に1日あたりの投与量が増える想定を、
14日目まで 9,800円×14日=137,200円
35日目まで 12,600円×21日=264,600円
56日目まで 15,400円×21日=323,400円
77日日まで 18,200円×21日=382,200円
84日日まで 21,000円×7日=147,000円
としますと合計1,254,400円となります。自己負担で75万円を充当できましたので、残額である約50万円に検査代+交通費+診察代+その他薬+クラウドファンディング手数料等を勘案し計60万円としました。
・治療費5月18日分 69,310円(あおぞら動物病院)
・治療費5月20日分 49,530円(あおぞら動物病院)
▼ 今後の治療につきまして
一刻も早く治療を始めなければいけない状況だったため、5月18日治療し経過が良好だったため引き続き5月20日に治療しました。以降、1週、2週、4週間毎に検査、治療をしながら快復を目指しており経過は良好です。また、経過状況や定期的検査の結果また出資明細は「活動報告」にて随時ご報告させて頂きます。
*投薬中のシャディ
▼最後に
シャディがFIPを発症してから、日々シャディと娘たちとの強い絆を感じると共に、飼い主としての重い責任を痛感しております。気持ち的にも身体的にも辛い瞬間を感じる時もありますが、家族全員でシャディの看病をし、娘たちは通学・勉強以外はシャディに愛情を注ぎ、投薬や検温等を役割分担しております。
シャディの命を救うことが翻って家族一人一人の心の成長の糧になっていることに気付かされますし、この経験を皆様方からのご支援を経て、次の方々に役立つようバトンタッチ出来ればとも願っております。
改めて図々しいお願いであるのは重々承知の上ですが、どうか皆さんのご協力をお願い致します。
※万が一途中で治療をやむ終えない悲しい理由で終了する、もしくは皆様からのご支援が募集金額を超えた場合には、(現段階で寄付先等が決めれないため)大変申し訳ござませんが今まで掛かった費用に充当させて頂きたくご理解の程何卒お願い申し上げます。(その際には、皆様にお知らせ致します。) 最後まで読んで頂き本当にありがとうございました。コロナ禍ではありますがご自愛ください。
【プロジェクト終了要項】
●治療・手術対象
シャディ(ペルシャ猫、雌、1歳)
●治療・手術内容
猫伝染性腹膜炎(FIP)への治療
●治療・手術完了予定日
2021年8月9日
あなたのシェアでプロジェクトをさらに応援しよう!
プロフィール
あなたのシェアでプロジェクトをさらに応援しよう!
リターン
500円
リターン1
・心を込めたお礼のメール
・シャディの画像1枚(メール送信)
*なお現在コロナウイルスの影響により本プロジェクトもしくはリターンが遅延する可能性があると事務局から聞いております。遅延の可能性がある旨と遅延した場合の対応につきましては随時本プロジェクト上でご説明申し上げます。
- 申込数
- 26
- 在庫数
- 制限なし
- 発送完了予定月
- 2021年8月
1,000円
リターン2
・心を込めたお礼のメール
・シャディの画像2枚(メール送信)
*なお現在コロナウイルスの影響により本プロジェクトもしくはリターンが遅延する可能性があると事務局から聞いております。遅延の可能性がある旨と遅延した場合の対応につきましては随時本プロジェクト上でご説明申し上げます。
- 申込数
- 64
- 在庫数
- 制限なし
- 発送完了予定月
- 2021年8月
500円
リターン1
・心を込めたお礼のメール
・シャディの画像1枚(メール送信)
*なお現在コロナウイルスの影響により本プロジェクトもしくはリターンが遅延する可能性があると事務局から聞いております。遅延の可能性がある旨と遅延した場合の対応につきましては随時本プロジェクト上でご説明申し上げます。
- 申込数
- 26
- 在庫数
- 制限なし
- 発送完了予定月
- 2021年8月
1,000円
リターン2
・心を込めたお礼のメール
・シャディの画像2枚(メール送信)
*なお現在コロナウイルスの影響により本プロジェクトもしくはリターンが遅延する可能性があると事務局から聞いております。遅延の可能性がある旨と遅延した場合の対応につきましては随時本プロジェクト上でご説明申し上げます。
- 申込数
- 64
- 在庫数
- 制限なし
- 発送完了予定月
- 2021年8月









