支援総額
目標金額 25,000,000円
- 支援者
- 2,002人
- 募集終了日
- 2025年3月31日
被災地・能登から救った命〜移動手術車が必要な理由〜

保護後、福井県に移動してから緊急入院のくろちゃん

カテーテルで排尿を促しています

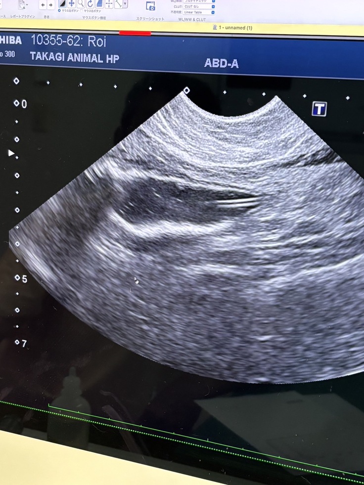
膀胱の中は砂だらけの様な尿石
何を食べていたのだろう・・・
避妊去勢手術は捕まえたから必ずするわけではありません
被災地・能登で保護した一匹の猫。くろちゃん。
捕獲するのに時間がかかり、冬を越すのも厳しい長毛の猫でした。
私たち「たんぽぽの里」が帰路についた後も、
「ねこさま王国」代表が粘り強く捕獲を試み、ようやく保護に成功しました。
私たち猫のボランティアは、自分たちが捕獲に至らなかった猫に関しては、
情報を共有して保護を足すくすことも少なくありません。
3日間で捕獲できなかった猫をねこさま王国が捕獲。
その猫は保護後もまったく食事を取らず、様子がどこかおかしい。
保護されたばかりの猫が環境の変化で食べないことは珍しくありませんが、
違和感を覚え、急いで動物病院へ。
そこで判明したのは尿道閉塞からの尿毒症でした。
すぐに二つの動物病院にかかり、緊急の処置を行い、
なんとか一命をとりとめました。
膀胱の中は、見たこともないほど細かい砂のような結石でいっぱい。
カテーテルで尿閉を解除しなければ、生きられない状態でした。
被災地の過酷な環境では、外で暮らす猫たちは適切な医療を受けられず、
尿閉からの尿毒症で命を落とす猫も少なくありません。
現場で血液検査ができない厳しい現実
被災地での保護活動では、十分な医療機器がなく、
視診だけで判断するしかないことが多々あります。
しかし、尿毒症のように、目に見えない異変が猫の体内で進行していることも。
今回のクラウドファンディングでは、
移動手術車に血液検査機器を導入することを目指しています。
「なんとなくおかしい」と感じた時、すぐに血液検査を行い、
早急な治療につなげる
それができるだけで、救える命が格段に増えるのです。
尿閉からの尿毒症は、決して珍しくありません
外で暮らす猫、多頭飼育の環境下にある猫は、
泌尿器系の病気になりやすく、手術が必要な場合も多い。
ですが、現場では手術に踏み切れない状況が多々あるのが現実です。
「安全に手術を受けられる環境をつくりたい」
「被災地の猫たちに、迅速な治療の選択肢を」
その思いから、今回の挑戦に至りました。
添付した写真は、今回の猫のエコー画像と、治療の様子です。
今、被災地で必要なのは、こうした医療機器。
そして、何よりも〜どこでも医療が届けられる「移動手術車」〜なのです。
どうか、この挑戦に力を貸してください。
救える命が、ここにあります。
大きな検査機器、手術に必要な機器です
このほかに、貧血や、白血球などを検査するカタリストという機器や
縫合糸、器具など多くのものが必要となっております
リターン
3,000円+システム利用料
全力応援|3千円
■お礼のメッセージ
- 申込数
- 980
- 在庫数
- 制限なし
- 発送完了予定月
- 2025年5月
10,000円+システム利用料
全力応援|1万円
■お礼のメッセージ
- 申込数
- 644
- 在庫数
- 制限なし
- 発送完了予定月
- 2025年5月
3,000円+システム利用料
全力応援|3千円
■お礼のメッセージ
- 申込数
- 980
- 在庫数
- 制限なし
- 発送完了予定月
- 2025年5月
10,000円+システム利用料
全力応援|1万円
■お礼のメッセージ
- 申込数
- 644
- 在庫数
- 制限なし
- 発送完了予定月
- 2025年5月

たんぽぽの里サポーター募集中!保護活動に必要な費用にご支援を
- 総計
- 122人

救う命を選ばない。どんな犬猫も保護し続け福岡の里親さんを増やしたい
#動物
- 現在
- 3,275,000円
- 支援者
- 314人
- 残り
- 3時間

老病ねこたちが最後まで安心して過ごせるおうちを守っていきたい!
#医療・福祉
- 現在
- 2,052,000円
- 支援者
- 163人
- 残り
- 7日

ゆきねこサポーター募集中|保護猫シェルター幸せの家へご支援を
- 総計
- 111人

にゃんこのしっぽサポーター募集★石垣島の捨てられた猫たちに治療を!
- 総計
- 124人

行き場のない猫たちに幸せな明日を届けたい。保護猫たちの医療費支援を
- 現在
- 1,927,000円
- 支援者
- 145人
- 残り
- 28日

JWCサポーター大募集中!傷付いた野生動物を救いたい
- 総計
- 253人







.png)










