
支援総額
目標金額 1,790,000円
- 支援者
- 161人
- 募集終了日
- 2025年10月7日
🆘定期検診。もう時間がありません。🆘
皆様いつもご協力、応援またご支援本当にありがとうございます。
今日は凛ちゃんの定期検診に行ってきました。
レントゲンの結果肺水腫は起きていなかったのですが
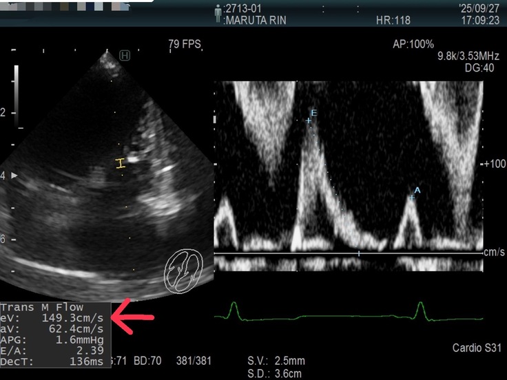
エコーの結果左心房圧が上昇しており肺水腫のリスクが高まっているみたいです。E波と言われるものが先週の126㎝から149.3㎝に上昇していました。(画像の矢印の数値)

その為に利尿剤の量が追加で増えてしまいました。
利尿剤の量が増えることでまた腎臓の数値が上がり腎不全になると、なにも食べれなく動くのすら厳しくなってしまいます。以前一度それで入院しました。
血液検査の腎臓の数値は先週より少し良くなったのですがまだまだ気が抜けません。
利尿剤が増えたのでまた体調がどうなるかわからないです。
腎臓をとるか肺水腫をとるか。
どちらが悪化しても凛ちゃんはとても苦しいです。
どちらも改善する為には手術しかありません。
残り10日となりました。
手術をすればりんちゃんはまた元気になれます。
延命のためではなく、完治のためです。
残り10日で達成率12%。
現状とても厳しい状態です。
凛ちゃんの普段の様子として見た目は落ち着いていますがいつもより甘えてくることがとても多いです。
辛いのでしょう。
どうか皆様のお力をお貸しください。
服薬での治療の限界です。
もしクラウドファンディングが失敗したら次手術できる可能性は低いです。
最初で最後のチャンスなのです。
まだ8歳の命。繁殖犬として頑張って生きてきて、我が家にきてからも心臓病で苦しむ毎日、どうかりんちゃんに苦しまず楽しい犬生を歩ませてください。
最後まで読んでいただきありがとうございます。
皆様の拡散、ご支援、あたたかいお言葉本当に感謝しております。
リターン
1,000円+システム利用料
感謝のメール&インスタグラムへお名前(イニシャル)の掲載(1,000円)
お礼として、感謝のメールとお名前(イニシャル)を凛のInstagramに掲載させていただきます。
※掲載するInstagram:https://www.instagram.com/rin_1015_?igsh=c2d6OWppM3BvaDNw&utm_source=qr
この様なことしか出来ず、大変大変申し訳ございません。
どうかご支援のほどよろしくお願いいたします。
- 申込数
- 50
- 在庫数
- 制限なし
- 発送完了予定月
- 2025年12月
3,000円+システム利用料
感謝のメール&インスタグラムへお名前(イニシャル)の掲載(3,000円)
お礼として、感謝のメールとお名前(イニシャル)を凛のInstagramに掲載させていただきます。
※掲載するInstagram:https://www.instagram.com/rin_1015_?igsh=c2d6OWppM3BvaDNw&utm_source=qr
この様なことしか出来ず、大変大変申し訳ございません。
どうかご支援のほどよろしくお願いいたします。
- 申込数
- 49
- 在庫数
- 制限なし
- 発送完了予定月
- 2025年12月
1,000円+システム利用料
感謝のメール&インスタグラムへお名前(イニシャル)の掲載(1,000円)
お礼として、感謝のメールとお名前(イニシャル)を凛のInstagramに掲載させていただきます。
※掲載するInstagram:https://www.instagram.com/rin_1015_?igsh=c2d6OWppM3BvaDNw&utm_source=qr
この様なことしか出来ず、大変大変申し訳ございません。
どうかご支援のほどよろしくお願いいたします。
- 申込数
- 50
- 在庫数
- 制限なし
- 発送完了予定月
- 2025年12月
3,000円+システム利用料
感謝のメール&インスタグラムへお名前(イニシャル)の掲載(3,000円)
お礼として、感謝のメールとお名前(イニシャル)を凛のInstagramに掲載させていただきます。
※掲載するInstagram:https://www.instagram.com/rin_1015_?igsh=c2d6OWppM3BvaDNw&utm_source=qr
この様なことしか出来ず、大変大変申し訳ございません。
どうかご支援のほどよろしくお願いいたします。
- 申込数
- 49
- 在庫数
- 制限なし
- 発送完了予定月
- 2025年12月

命の危機が迫っています!僧帽弁閉鎖不全症・三尖弁閉鎖不全症
- 現在
- 737,000円
- 支援者
- 64人
- 残り
- 18日

13年ケージに入れられていたチワワに手術を受けさせたい
- 現在
- 181,000円
- 支援者
- 24人
- 残り
- 15日

ジジを助けたいです。元野良猫ジジのFIP治療費のお願い。
- 現在
- 507,000円
- 支援者
- 89人
- 残り
- 4日

救う命を選ばない。どんな犬猫も保護し続け福岡の里親さんを増やしたい
#動物
- 現在
- 3,189,000円
- 支援者
- 300人
- 残り
- 1日

猫伝染性腹膜炎を患ったポンちゃんの明日をつないで頂けないでしょうか
- 現在
- 193,000円
- 支援者
- 44人
- 残り
- 1日

【4歳10ヶ月悪性リンパ腫】愛猫きなこの抗がん剤治療のためのご支援
- 現在
- 199,000円
- 支援者
- 50人
- 残り
- 34日

【尿管閉塞】愛猫ノエルくんに治療費のご支援をお願い致します。
- 現在
- 161,000円
- 支援者
- 28人
- 残り
- 10日

「にんげん力」を育てるために埼玉県吉川市でこどものまち作りを
- 支援総額
- 252,000円
- 支援者
- 18人
- 終了日
- 10/31

障がい者や高齢者にも着やすいシャツを!前田まゆみの挑戦!
- 寄付総額
- 611,000円
- 寄付者
- 40人
- 終了日
- 11/30

この夏、浴衣と一緒に。取り付け簡単な新商品「ネコの結び帯」
- 支援総額
- 742,000円
- 支援者
- 57人
- 終了日
- 7/21
鹿児島県鹿屋市に「だれもが活躍できる社会づくり」を実現!
- 支援総額
- 39,000円
- 支援者
- 6人
- 終了日
- 4/27

基地問題の場所じゃない、真っ直ぐな「HENOKO」で大学生ツアーを
- 支援総額
- 25,000円
- 支援者
- 5人
- 終了日
- 8/19

「足こぎ車いすのとらさん」の人生・命をかけた本気の挑戦!
- 支援総額
- 226,000円
- 支援者
- 28人
- 終了日
- 6/28

黒猫多頭飼育崩壊への医療費をご支援ください
- 支援総額
- 214,000円
- 支援者
- 33人
- 終了日
- 6/29









