
支援総額
1,664,000円
目標金額 1,500,000円
- 支援者
- 237人
- 募集終了日
- 2025年4月23日
https://readyfor.jp/projects/Sutella?sns_share_token=&utm_source=pj_share_url&utm_medium=social
2025年08月03日 13:10
ステラを病院に連れて行きました。
前回の血液検査をしてから2週間以上がたったので、
今日はステラを病院に連れて行きました。
少し、肝臓の数値や白血球の数値のほうに異常は出ているものの
以前のように緊急を要するような状態ではないということでした。
現在は抗がん剤パラディアを3日に1回に変えているので
このままのペースで続けることになりました。
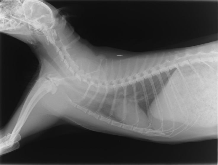
また今日はレントゲンもとりました。
肺の状態も心配だったのですが、
特に悪そうな感じもなく、ほっと一安心しました。
近いうち、全身検査をする予定です。
このまま安定して薬と上手に付き合いながら
またステラの負担にもならないように今の状態を続けさせてあげられたらと思います。
ステラは最近、洗濯機の上のコンボのえさがお気に入りのようです。
いつもステラのことを見守ってくださり
本当にありがとうございます。
検査結果や明細書などもアップさせていただきますね。










リターン
1,000円+システム利用料

ステラAコース
お礼のメールを送ります。
- 申込数
- 82
- 在庫数
- 制限なし
- 発送完了予定月
- 2025年7月
3,000円+システム利用料

ステアBコース
お礼のメールを送ります。
- 申込数
- 59
- 在庫数
- 制限なし
- 発送完了予定月
- 2025年7月
1,000円+システム利用料

ステラAコース
お礼のメールを送ります。
- 申込数
- 82
- 在庫数
- 制限なし
- 発送完了予定月
- 2025年7月
3,000円+システム利用料

ステアBコース
お礼のメールを送ります。
- 申込数
- 59
- 在庫数
- 制限なし
- 発送完了予定月
- 2025年7月
1 ~ 1/ 7
このページを見た人はこんなプロジェクトもチェックしています
itk311208
チョロ飼い主
老ねこケアホームしっぽのおうち 代表 千葉 ...
東山 真理
NPO法人セブンデイズ
島猫利尻 安達雅枝
にゃんこのしっぽ(栗原 真弓)

ジジを助けたいです。元野良猫ジジのFIP治療費のお願い。
64%
- 現在
- 500,000円
- 支援者
- 86人
- 残り
- 4日

13年ケージに入れられていたチワワに手術を受けさせたい
16%
- 現在
- 176,000円
- 支援者
- 22人
- 残り
- 15日

老病ねこたちが最後まで安心して過ごせるおうちを守っていきたい!
75%
- 現在
- 1,893,000円
- 支援者
- 143人
- 残り
- 8日

命の危機が迫っています!僧帽弁閉鎖不全症・三尖弁閉鎖不全症
105%
- 現在
- 736,000円
- 支援者
- 63人
- 残り
- 18日

救う命を選ばない。どんな犬猫も保護し続け福岡の里親さんを増やしたい
#動物
99%
- 現在
- 2,973,000円
- 支援者
- 281人
- 残り
- 1日

利尻 島猫サポーター募集!利尻島の不幸な野良猫を”ゼロ”に!!
継続寄付
- 総計
- 28人

にゃんこのしっぽサポーター募集★石垣島の捨てられた猫たちに治療を!
継続寄付
- 総計
- 124人
最近見たプロジェクト
中辻 博(認定NPO法人量子化学研究協会)
クランピング・パークくろひめプロジェクト
池野順子
保護ねこ広場にゃん福
LXDESIGN 金谷智
NPO法人 犬の命を守る会・わんわんライフ
らいとまま
成立

化学・物質・生物の支配方程式 神の方程式を解いて化学を予言する
89%
- 寄付総額
- 8,036,000円
- 寄付者
- 102人
- 終了日
- 6/1
成立
コロナ禍で苦しむキャンプ場と子どもをつなぐプレイパークをつくりたい
235%
- 支援総額
- 3,536,000円
- 支援者
- 223人
- 終了日
- 6/7
成立
スポーツができるウィッグと、ウィッグを快適にするキャップを届けたい
250%
- 支援総額
- 750,000円
- 支援者
- 90人
- 終了日
- 2/9
成立

助けを待つ保護猫達に医療を。治療を諦めないシェルター運営を目指して
180%
- 支援総額
- 5,426,000円
- 支援者
- 328人
- 終了日
- 7/11
ウィズコロナ時代にも、社会と繋がり、学び合う機会を提供したい
- 寄付総額
- 475,000円
- 寄付者
- 8人
- 終了日
- 12/18
成立

「ふわりちゃん」「リオちゃん」の治療費のご協力をお願いします。
104%
- 支援総額
- 524,000円
- 支援者
- 56人
- 終了日
- 2/19
成立

漏斗胸と呼吸器不全に苦しむ保護子猫を助けたい!
133%
- 支援総額
- 400,882円
- 支援者
- 94人
- 終了日
- 11/6











