
支援総額
目標金額 500,000円
- 支援者
- 67人
- 募集終了日
- 2024年12月14日

命の危機が迫っています!僧帽弁閉鎖不全症・三尖弁閉鎖不全症
#医療・福祉
- 現在
- 737,000円
- 支援者
- 64人
- 残り
- 17日

ジジを助けたいです。元野良猫ジジのFIP治療費のお願い。
#動物
- 現在
- 518,000円
- 支援者
- 93人
- 残り
- 3日

【進行性脊髄軟化症】2度大手術をしたイブラへ、治療費ご支援のお願い
#医療・福祉
- 現在
- 239,000円
- 支援者
- 36人
- 残り
- 13日

にゃんこのしっぽサポーター募集★石垣島の捨てられた猫たちに治療を!
#動物
- 総計
- 124人

猫伝染性腹膜炎を患ったポンちゃんの明日をつないで頂けないでしょうか
#動物
- 現在
- 198,000円
- 支援者
- 45人
- 残り
- 2時間

13年ケージに入れられていたチワワに手術を受けさせたい
#動物
- 現在
- 181,000円
- 支援者
- 24人
- 残り
- 14日

救う命を選ばない。どんな犬猫も保護し続け福岡の里親さんを増やしたい
#動物
- 現在
- 3,286,000円
- 支援者
- 317人
- 残り
- 2時間
プロジェクト本文
終了報告を読む
▼自己紹介
はじめまして。
この度は数あるクラウドファンディングの中からこの投稿を見て頂きありがとうございます。
最後まで読んでいただけたら幸いです。よろしくお願いします。
私は妻と子の3人家族で、二匹の愛犬と毎日過ごしております。
まずはリック8歳・♂
そしてロッキー(生後9か月・♂)
ロッキーとの出会いは、、、
ある日、あるペットショップを通りかかった際に
他のわんちゃんたちとは違い、毛があまりカットされていない、当時すでに7か月のトイプードルがいました。
「この子を連れて帰ってあげたい!」の一心で家に戻り、
お兄ちゃん犬のリックといざ会わせてみると…
すぐにお互いにお尻の匂いを嗅ぎ、相性は驚くほどバッチリでした。
この子をリックと一緒に幸せにしてあげたいと思いお迎えすることにしました。
脚が痛くなる前
ドックランへ行ったり
お散歩へ行ったりと
とても元気でした
▼プロジェクトを立ち上げたきっかけ
ロッキーの脚の痛みを手術で治してまた元気に走り回れるようにしてあげたい!!
我が家にお迎えしてすぐに、後ろ脚の歩き方に違和感を覚えました。
ちょうど[ペット保険]に申し込みをしようとしていたところではありましたが、
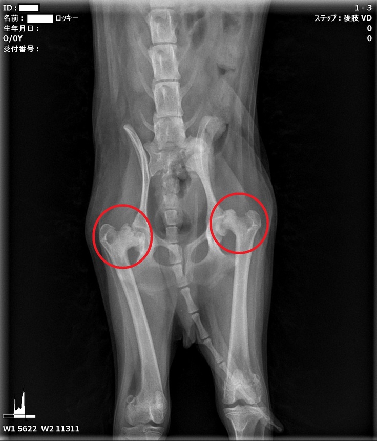
心配でしたので、すぐにかかりつけの動物病院でレントゲンを撮ってもらったところ、
「股関節に異常がありそう」と言われてしまいました。
まだロッキー自身も大きな痛みも感じて無さそうだったので、その日は診断名を断定せずに様子をみましょうとのことでした。
しかし、それから1か月半後、リックと普段の様にじゃれて遊んでいた際に
突然キャンキャンと泣き出し、後ろ両足で歩けなくなってしまいました。
急いで受診したところ
≪両脚のレッグペルテス≫で【とても状態が悪い】とのことでした。
動物病院2か所で診てもらい、どちらも状態が悪いとの診断で、痛み止めの処方では改善しないと言われてしまいました。
レッグペルテスとは
現在の様子は毎日痛み止めは飲んでいますが
ご飯やトイレなどでしかあまり立ち上がらず、歩くときも痛みが少ない方の後ろ脚を使い、三足で歩いています。
食欲も無くなってしまい、少しでも食べてもらおうと工夫してなんとか食べさせています。
ロッキーは生後7か月でお迎えし、生後9か月で脚が痛くなってしまったので、
ドックランやお散歩にもたったの2ヶ月間しか行けていません。
1日でも早く治してあげたいです。
治療費について
本来であれば、私たち自身で準備してあげるべき治療費ですが、
ロッキーをお迎えして2週間ほどで、
ペット保険に入る前に異常が見つかってしまう…
ということになり、
高額な治療費(60万円前後)を準備してあげることができませんでした。
すぐに病気が見つかる想定ができていなかったこと、ペット保険にすぐに入っていなかったこと、を反省しております。
どんどん症状が進行してきているので、最悪歩けなくなってしまうとのことでしたので、
まずは早急に片脚の手術を予約しましたが、
このままではもう片脚の手術ができそうにありません…。
なんとかしたいと思い、皆さまにご支援をお願いしたく、立ち上げさせていただきました。
クラウドファンディングは初めてではありますが、
ご支援いただいた方への感謝を決して忘れずに過ごしていこうと思っておりますので、
どうか皆様のお力を貸して頂けないでしょうか。
どうぞよろしくお願いいたします。
▼プロジェクトの内容
トイプードル♂(9か月)の脚の手術(右後脚と左後脚の大腿骨頭切除関節形成術)をします。
手術等日程
左後脚手術 11/6入院(当初11/13予定でしたが、とても痛そうにしているので日程を早めていただけました。とても優しい先生です。)
退院日 未定(1週間~10日の入院と言われています)
↓
左後脚リハビリ
↓
右後脚:手術 未定(左後脚のリハビリ完了後)
↓
右後脚リハビリ
↓
治療終了
金額(手術・入院)
右後脚:30万円弱
左後脚:30万円弱
合計 60万円弱の予定と言われています。
その他リハビリ・通院費用がかかりますが、 手術日程も含め、詳細わかり次第、活動報告させていただきます。
まだ小さなロッキーがまた歩けるように助けて頂けないでしょうか。
ご支援のほど、どうぞよろしくお願いいたします。
▼プロジェクトの展望・ビジョン
プロジェクトの展望としまして、私はロッキーと出会うまで<レッグペルテス>という名前すら知りませんでした。
今回、私が経験したことや今後のリハビリで知り得た情報を皆様に共有していきたいと考えております。
私がどんなにロッキーの事を想いやっていても現実問題、医療費を目の当たりにするとサポートしてあげる範囲が
限られてしまう事に葛藤はあります。
特にロッキーは家に来てからわずか2ヶ月でしたがハーネスを口に加えてくるぐらい散歩が大好きなったばかりなので、また散歩をできる日を願って今回皆様からの支援を賜りたいと思います。
今後ロッキーが元気に遊べるように皆様のご支援をお願い致します。
<プロジェクトについて>
(1)資金の使途
ロッキーのレッグヘルペスの今後の治療費にあてます
(2)目標金額と資金の内訳
目標金額:50万円
(資金の内訳)
今後の治療費:手術費(50万円~60万円) リハビリ(金額未定)の一部に充てさせていただきます
(3)集める資金を使用しての治療期間
2024年11月6日〜2025年10月31日
※治療内容や治療費、治療期間は動物病院の確認が取れています。
<ご支援にあたっての注意事項>
▶︎ 1. ペット保険について
1)ペット保険による補償の有無:無し
2)補填対象の治療名と金額:無し
▶︎ 2. 万が一の場合の代替の資金使途について
万が一、ロッキーが亡くなってしまった場合、いただいた支援金については、返金はせずこれまでの治療費に当てさせていただきます。
▶︎ 3. 問い合わせ先について
本クラウドファンディングに関するお問合せは以下までご連絡ください。
連絡先:hayato_0517@yahoo.co.jp
▶︎ 4. 掲載している資料について
ページ上に掲載している診断書や診療明細書などの資料は全て動物病院から掲載の許諾を得ております。
▶︎ 5. 治療方針などが変更になった場合について
プロジェクト実施完了までの間に、治療方針や治療の要否に変更が生じた場合、支援者の皆様、READYFOR事務局に速やかにお伝えします。
▶︎ 6. READYFOR事務局からのご連絡
ペットの治療費用を集めるクラウドファンディングに関しては、以下のガイドラインもご確認ください。
【ペットの治療費用を集めるクラウドファンディングに関する当社の考え】
https://legal.readyfor.jp/guidelines/launching_project/pet_care/
- プロジェクト実行責任者:
- 篠崎 隼人
- プロジェクト実施完了日:
- 2025年10月31日
プロジェクト概要と集めた資金の使途
ロッキーのレッグペルテスの手術を行う。それに伴う手術・入院費、リハビリ費等に充てます。
リスク&チャレンジ
- プロジェクトに必要な金額と目標金額の差額について
- 必要金額と目標金額の差額は、自己資金にて補填いたします。
あなたのシェアでプロジェクトをさらに応援しよう!
プロフィール
あなたのシェアでプロジェクトをさらに応援しよう!
リターン
1,000円+システム利用料

感謝のメールとロッキーの写真
感謝のメールとロッキーの写真をお送りさせていただきます。
- 申込数
- 7
- 在庫数
- 制限なし
- 発送完了予定月
- 2025年2月
1,000円+システム利用料
リターン無し 1
個人情報の入力不可の方やリターン不要の方はこちらよりご支援お願いいたします。
- 申込数
- 27
- 在庫数
- 制限なし
- 発送完了予定月
- 2025年2月
1,000円+システム利用料

感謝のメールとロッキーの写真
感謝のメールとロッキーの写真をお送りさせていただきます。
- 申込数
- 7
- 在庫数
- 制限なし
- 発送完了予定月
- 2025年2月
1,000円+システム利用料
リターン無し 1
個人情報の入力不可の方やリターン不要の方はこちらよりご支援お願いいたします。
- 申込数
- 27
- 在庫数
- 制限なし
- 発送完了予定月
- 2025年2月









