
支援総額
目標金額 300,000円
- 支援者
- 43人
- 募集終了日
- 2025年8月30日
退院後、2度目の🏥
ご支援・ご協力いただきました皆様へ
温かい応援ありがとうございます。
一昨日、みかんの退院後から2度目の受診に行ってまいりました。
結果としては順調でホッとしています。
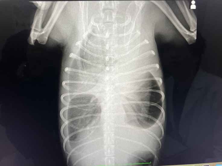
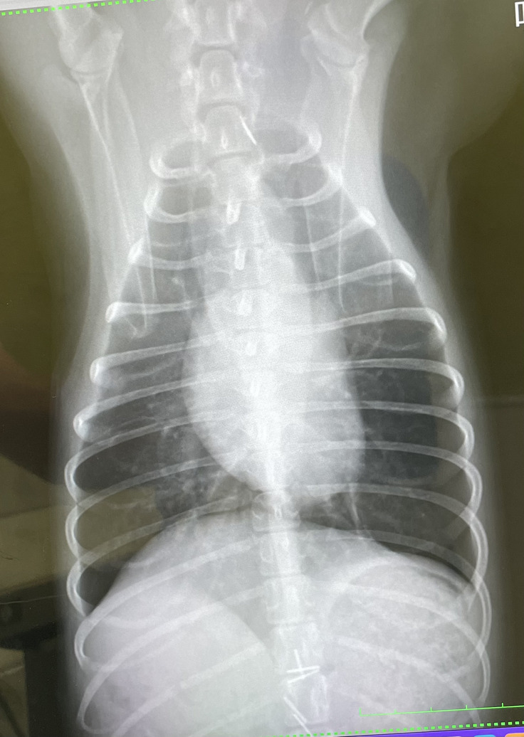
今回もレントゲンとエコーで経過を確認いただきましたが、今回は先生にお願いしてレントゲンの写真を撮影させていただきました。
7月中旬に初めて受診した際に撮影したレントゲンと比較すると一目瞭然で違いがわかり、やはり当初は相当悪かったんだなと思い知らされます。
【最初のレントゲン】胸水で真っ白です。そのせいで肺の形までくっきり・・

【一昨日のレントゲン】全体的に白かった部分がなくなり黒い部分が目立つように。

見比べると非常に改善していることが分かるようになりました。
最初は見えてしまっていた肺も見えなくなり、ほぼ正常な状態になってきました。
エコーでの確認では多少の胸水が見られるものの生理現象のレベルのようで順調に回復してきました。
これで散歩時間延長や食べ物(おやつ)などを与えても良いのでは・・と期待しましたが、そこはまだまだ甘くなく散歩も引き続き短め。食べ物に関しては今後含めて低脂肪食は継続させて欲しいとの事でした。
食欲が出てきているので物欲しそうな目で見つめられると沢山食べさせたくなりますが、引き続き我慢です。。
受診に関しては、次は1ヶ月後。ここで完治ですと言ってもらえるように引き続き見守って行きたいと思います。
クラウドファンディングも残す所、あと2週間を切りました。
正直驚くような治療費を前に一瞬たじろぎましたが、こうやって元気な姿を見れると元気になってくれてよかったと思います。
皆様からご支援をいただき、現在38%の達成率となっております。本当に有り難うございます。
残り日数を考慮すると非常に達成が難しくなってきました。
改めてのお願いとなりますが、ぜひ情報拡散にお力添え、よろしくお願い致します。
次回受診はクラウドファンディング終了後となりますが、またみかんの様子などご報告させていただきます。
引き続きよろしくお願い致します。
リターン
500円+システム利用料

がんばれ!みかんちゃん応援コース①(応援のみ・リターンなし)
このリターンには物品等の返礼はございませんが、飼い主からの感謝の気持ちを込めて、心より御礼のメッセージをお送りします。
支援金はすべて、みかんの治療に必要な費用としてのみ使わせていただきます。
- 申込数
- 0
- 在庫数
- 制限なし
- 発送完了予定月
- 2025年11月
1,000円+システム利用料

がんばれ!みかんちゃん応援コース②(応援のみ・リターンなし)
このリターンには物品等の返礼はございませんが、飼い主からの感謝の気持ちを込めて、心より御礼のメッセージをお送りします。
支援金はすべて、みかんの治療に必要な費用としてのみ使わせていただきます。
- 申込数
- 22
- 在庫数
- 制限なし
- 発送完了予定月
- 2025年11月
500円+システム利用料

がんばれ!みかんちゃん応援コース①(応援のみ・リターンなし)
このリターンには物品等の返礼はございませんが、飼い主からの感謝の気持ちを込めて、心より御礼のメッセージをお送りします。
支援金はすべて、みかんの治療に必要な費用としてのみ使わせていただきます。
- 申込数
- 0
- 在庫数
- 制限なし
- 発送完了予定月
- 2025年11月
1,000円+システム利用料

がんばれ!みかんちゃん応援コース②(応援のみ・リターンなし)
このリターンには物品等の返礼はございませんが、飼い主からの感謝の気持ちを込めて、心より御礼のメッセージをお送りします。
支援金はすべて、みかんの治療に必要な費用としてのみ使わせていただきます。
- 申込数
- 22
- 在庫数
- 制限なし
- 発送完了予定月
- 2025年11月

ジジを助けたいです。元野良猫ジジのFIP治療費のお願い。
- 現在
- 530,000円
- 支援者
- 94人
- 残り
- 2日

13年ケージに入れられていたチワワに手術を受けさせたい
- 現在
- 181,000円
- 支援者
- 24人
- 残り
- 13日

命の危機が迫っています!僧帽弁閉鎖不全症・三尖弁閉鎖不全症
- 現在
- 737,000円
- 支援者
- 64人
- 残り
- 16日

【進行性脊髄軟化症】2度大手術をしたイブラへ、治療費ご支援のお願い
- 現在
- 239,000円
- 支援者
- 36人
- 残り
- 12日

遺されたニャンズにより良い生活環境を…
- 現在
- 63,500円
- 支援者
- 13人
- 残り
- 17日

ごかつら池どうぶつパーク|命を守り、次世代へ繋ぐ小さな動物園の挑戦
- 現在
- 5,877,000円
- 支援者
- 371人
- 残り
- 34日

【尿管閉塞】愛猫ノエルくんに治療費のご支援をお願い致します。
- 現在
- 166,000円
- 支援者
- 29人
- 残り
- 8日











