
支援総額
目標金額 500,000円
- 支援者
- 73人
- 募集終了日
- 2024年1月31日
🏥12/24 通院してきました💊
本日の通院の結論からお伝えしますが、
リンパ腫が腎臓に転移しており、食欲不振が続きご飯をあまり食べなかったようです。
連日の通院が難しいため、本日から28日まで入院することになりました。
食欲増進剤を飲ませても、いまいち食い付きが良くない状態でした。
でも、ご飯の催促する行動はしていました。
毎日食べていた大好きなカリカリも、朝晩出してあげても完食する日が無くなり、チュールも結局2/3程しか食べなかったり。
今日は昼に娘がヨーグルトを食べたので、容器に残ったちょっとのヨーグルトを舐めてくれてはいたので、全く食べられないわけでは無さそうでした。
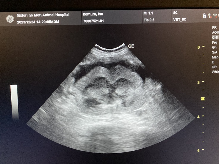
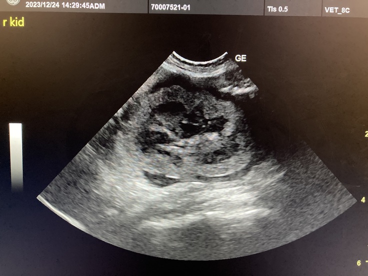
病院に到着して問診と診察を受け、食欲不振の原因が分からないので血液検査とエコー検査をしてもらい、原因が判明しました。

血液検査の結果で腎臓の数値が上がっていて、炎症もしているとの事でした。
左右両方の腎臓のエコー写真も見せて頂きました。
この影響で食欲不振になっていると担当獣医師が教えてくれました。
白血球の数値も少し上がってしまっているので、注射をして抗がん剤を投与することにしました。
入院の費用も、1日10000円程かかると教えてもらいました。
検査などは極力最低限にするようにしますとも言われました。
とても良心的な動物病院でここに通い始めて良かったと心底思いました。
正直、転移した事はまだ受け入れられていない状況です…
もしかしたら、大学病院で放射線治療を受ける前から、見えない大きさで転移していたのかもしれないと言われました。
体重も測定したら、3.12kgと2週間前よりも0.5kg以上減っていました。
今日は、動物病院でチュールを食べさせて貰ったようで、病院のLINEで写真が送られてきました。

つーちゃんが無事に元気に戻ってこれるように、私はどうしたらいいのか…
元気になって!!と祈ることしかできないのがとても辛いです…
リターン
1,000円+システム利用料

感謝のメール1
感謝のメールと活動報告をさせていただきます
- 申込数
- 33
- 在庫数
- 制限なし
- 発送完了予定月
- 2024年2月
3,000円+システム利用料

感謝のメール2
感謝のメールと活動報告をさせていただきます
- 申込数
- 22
- 在庫数
- 制限なし
- 発送完了予定月
- 2024年2月
1,000円+システム利用料

感謝のメール1
感謝のメールと活動報告をさせていただきます
- 申込数
- 33
- 在庫数
- 制限なし
- 発送完了予定月
- 2024年2月
3,000円+システム利用料

感謝のメール2
感謝のメールと活動報告をさせていただきます
- 申込数
- 22
- 在庫数
- 制限なし
- 発送完了予定月
- 2024年2月

【4歳10ヶ月悪性リンパ腫】愛猫きなこの抗がん剤治療のためのご支援
- 現在
- 214,000円
- 支援者
- 54人
- 残り
- 33日

老病ねこたちが最後まで安心して過ごせるおうちを守っていきたい!
#医療・福祉
- 現在
- 2,039,000円
- 支援者
- 161人
- 残り
- 7日

至急『猫の気管内リンパ腫』リエル君の治療費ご支援お願いいたします。
- 現在
- 14,000円
- 支援者
- 4人
- 残り
- 38日

猫伝染性腹膜炎を患ったポンちゃんの明日をつないで頂けないでしょうか
- 現在
- 193,000円
- 支援者
- 44人
- 残り
- 16時間

地域の野良猫を守りたい!小さな命にTNRと医療を届けるプロジェクト
- 現在
- 40,000円
- 支援者
- 15人
- 残り
- 2日

出会った命を守りたい!マンスリーサポーター募集中!
- 総計
- 160人

高齢の保護犬を救う!シニアドッグ・サポーター制度を応援してください
- 総計
- 18人

「自然×防災×教育」和歌山で新しいカタチの防災キャンプを!
- 支援総額
- 124,000円
- 支援者
- 12人
- 終了日
- 8/15
秋田犬が看板犬!ペットを同伴できるレストランを再開したい!
- 支援総額
- 1,320,000円
- 支援者
- 111人
- 終了日
- 3/5
コロナ禍で生活に困ったママを救うネットショップのプロジェクト
- 支援総額
- 32,000円
- 支援者
- 11人
- 終了日
- 12/12

海をこえて熊野を伝えたい。映画「熊野伝説」をアメリカで上映!
- 支援総額
- 260,000円
- 支援者
- 23人
- 終了日
- 10/9

子どもたちが心から満たされる教育を!こうのとりパパの挑戦
- 支援総額
- 30,000円
- 支援者
- 4人
- 終了日
- 4/26

海のない岡山県北の新見市で「サップヨガ」を楽しんでほしい!
- 支援総額
- 36,000円
- 支援者
- 5人
- 終了日
- 11/29









