
寄付総額
目標金額 1,800,000円
- 寄付者
- 392人
- 募集終了日
- 2023年5月31日
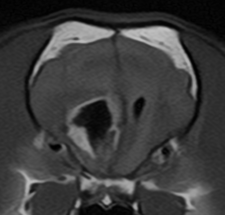
ついに1症例目の手術が行われました。
皆様ご無沙汰しておりました。というのもなぜかこの研究が始まると同時にグリオーマの試験適応例がどこの病院にも来なくなってしまって・・・まさか年内1例もないのではと少々研究の行き先が不安になっていたところでしたが(皆様もどうなっているんだと思われてたことと思いますが)・・・
ついに昨日、京都のKyotoAR(神志那先生)にて岡山にお住まいのフレンチブルさん(7歳;手術前の画像を載せます)の前頭葉内に発生したグリオーマに対し摘出手術が行われ、皆様のご寄付により購入したカルムスチン脳内留置剤が使用されました。手術は大変うまく行われていました(手術後の画像は研究結果としての報告が控えておりますのでまだ公開はできません。すみません)。経過についてはまたいずれ。。。
この症例を皮切りに少しずつだと思いますが、症例を積み重ねていきたいと思っています。獣医師の先生も飼い主さんもグリオーマのワンコがいましたら、本研究への参加をご検討ください。
ギフト
5,000円+システム利用料
5,000円コース|犬の脳腫瘍治療に新たな一手を
・お礼のメール
・活動報告レポート
・寄付金領収書
※領収書の日付はREADYFORから日本獣医生命科学大学に入金がある2023年7月の日付になり、7〜8月を目途にお届けします。
※寄附金領収書のお名前は、ギフト送付先にご登録いただいたお名前となります。
- 申込数
- 100
- 在庫数
- 制限なし
- 発送完了予定月
- 2025年5月
10,000円+システム利用料
10,000円コース|犬の脳腫瘍治療に新たな一手を
・お礼のメール
・活動報告レポート
・寄付金領収書(※1)
・活動報告レポートへのお名前掲載(希望制)
・日本獣医生命科学大学HPにお名前掲載(希望制)
※1
・領収書の日付はREADYFORから日本獣医生命科学大学に入金がある2023年7月の日付になり、7〜8月を目途にお届けします。
・寄附金領収書のお名前は、ギフト送付先にご登録いただいたお名前となります。
- 申込数
- 185
- 在庫数
- 制限なし
- 発送完了予定月
- 2025年5月
5,000円+システム利用料
5,000円コース|犬の脳腫瘍治療に新たな一手を
・お礼のメール
・活動報告レポート
・寄付金領収書
※領収書の日付はREADYFORから日本獣医生命科学大学に入金がある2023年7月の日付になり、7〜8月を目途にお届けします。
※寄附金領収書のお名前は、ギフト送付先にご登録いただいたお名前となります。
- 申込数
- 100
- 在庫数
- 制限なし
- 発送完了予定月
- 2025年5月
10,000円+システム利用料
10,000円コース|犬の脳腫瘍治療に新たな一手を
・お礼のメール
・活動報告レポート
・寄付金領収書(※1)
・活動報告レポートへのお名前掲載(希望制)
・日本獣医生命科学大学HPにお名前掲載(希望制)
※1
・領収書の日付はREADYFORから日本獣医生命科学大学に入金がある2023年7月の日付になり、7〜8月を目途にお届けします。
・寄附金領収書のお名前は、ギフト送付先にご登録いただいたお名前となります。
- 申込数
- 185
- 在庫数
- 制限なし
- 発送完了予定月
- 2025年5月

僕たちがほじょ犬になるために。マンスリーサポーター募集!
- 総計
- 32人

KSPCAサポーター募集|飼主のいない犬猫達も幸せに暮らせるように
- 総計
- 44人

JWCサポーター大募集中!傷付いた野生動物を救いたい
- 総計
- 253人

【継続支援のお願い】高齢、障がいの保護犬が穏やかに過ごせますように
- 総計
- 193人

2026 アルペンU16チームとともに日本スキー界の未来を変える!
- 現在
- 800,000円
- 支援者
- 55人
- 残り
- 53日

東京国立博物館|価値ある文化財を救い出す。源氏物語図屏風、修理へ
#伝統文化
- 現在
- 61,720,000円
- 寄付者
- 2,857人
- 残り
- 29日

大阪・北摂地域の未来の命をつなぐ。17年走り続けた救急車更新へ!
- 現在
- 9,335,000円
- 支援者
- 73人
- 残り
- 36日













