
寄付総額
目標金額 1,800,000円
- 寄付者
- 392人
- 募集終了日
- 2023年5月31日
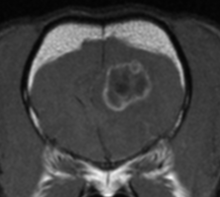
2例目
昨日KyotoAR(神志那先生)にて2例目の手術が行われました.今回もフレンチブル(5歳)さんです.
このまま少しずつ症例が増えていくと思います.
ここからは代表者のつぶやきですが・・・この時期(年末年始)はなぜか脳腫瘍症例の手術が増えます.私のところでも今回の臨床研究(BCNU脳内留置)の適応例ではありませんが,何例もの相談や手術予定が入ります.なんなんでしょう・・・また他の大型連休前後(春休みとかGWとか)にも多い様に感じます😅
ギフト
5,000円+システム利用料
5,000円コース|犬の脳腫瘍治療に新たな一手を
・お礼のメール
・活動報告レポート
・寄付金領収書
※領収書の日付はREADYFORから日本獣医生命科学大学に入金がある2023年7月の日付になり、7〜8月を目途にお届けします。
※寄附金領収書のお名前は、ギフト送付先にご登録いただいたお名前となります。
- 申込数
- 100
- 在庫数
- 制限なし
- 発送完了予定月
- 2025年5月
10,000円+システム利用料
10,000円コース|犬の脳腫瘍治療に新たな一手を
・お礼のメール
・活動報告レポート
・寄付金領収書(※1)
・活動報告レポートへのお名前掲載(希望制)
・日本獣医生命科学大学HPにお名前掲載(希望制)
※1
・領収書の日付はREADYFORから日本獣医生命科学大学に入金がある2023年7月の日付になり、7〜8月を目途にお届けします。
・寄附金領収書のお名前は、ギフト送付先にご登録いただいたお名前となります。
- 申込数
- 185
- 在庫数
- 制限なし
- 発送完了予定月
- 2025年5月
5,000円+システム利用料
5,000円コース|犬の脳腫瘍治療に新たな一手を
・お礼のメール
・活動報告レポート
・寄付金領収書
※領収書の日付はREADYFORから日本獣医生命科学大学に入金がある2023年7月の日付になり、7〜8月を目途にお届けします。
※寄附金領収書のお名前は、ギフト送付先にご登録いただいたお名前となります。
- 申込数
- 100
- 在庫数
- 制限なし
- 発送完了予定月
- 2025年5月
10,000円+システム利用料
10,000円コース|犬の脳腫瘍治療に新たな一手を
・お礼のメール
・活動報告レポート
・寄付金領収書(※1)
・活動報告レポートへのお名前掲載(希望制)
・日本獣医生命科学大学HPにお名前掲載(希望制)
※1
・領収書の日付はREADYFORから日本獣医生命科学大学に入金がある2023年7月の日付になり、7〜8月を目途にお届けします。
・寄附金領収書のお名前は、ギフト送付先にご登録いただいたお名前となります。
- 申込数
- 185
- 在庫数
- 制限なし
- 発送完了予定月
- 2025年5月

僕たちがほじょ犬になるために。マンスリーサポーター募集!
- 総計
- 32人

KSPCAサポーター募集|飼主のいない犬猫達も幸せに暮らせるように
- 総計
- 44人

JWCサポーター大募集中!傷付いた野生動物を救いたい
- 総計
- 253人

【継続支援のお願い】高齢、障がいの保護犬が穏やかに過ごせますように
- 総計
- 193人

2026 アルペンU16チームとともに日本スキー界の未来を変える!
- 現在
- 800,000円
- 支援者
- 55人
- 残り
- 53日

東京国立博物館|価値ある文化財を救い出す。源氏物語図屏風、修理へ
#伝統文化
- 現在
- 61,720,000円
- 寄付者
- 2,857人
- 残り
- 29日

大阪・北摂地域の未来の命をつなぐ。17年走り続けた救急車更新へ!
- 現在
- 9,335,000円
- 支援者
- 73人
- 残り
- 36日

水田を果樹園へ!誰でも気軽においしい果実を食べられる未来を作りたい
- 支援総額
- 609,000円
- 支援者
- 31人
- 終了日
- 9/30

過去最大!第15回秋田県アームレスリング選手権を盛り上げたい!
- 支援総額
- 1,099,000円
- 支援者
- 57人
- 終了日
- 4/24

近江日野商人邸宅『桟敷窓土塀』を修復して、町並みを守ろう!!
- 支援総額
- 1,024,000円
- 支援者
- 62人
- 終了日
- 5/19

宮城の知られざる魅力伝えるカレンダーを作りたい!
- 支援総額
- 50,000円
- 支援者
- 14人
- 終了日
- 9/29











