
支援総額
目標金額 9,000,000円
- 支援者
- 2,058人
- 募集終了日
- 2025年1月24日
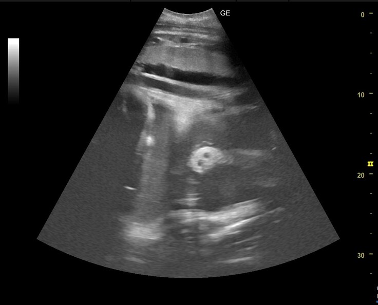
【メイちゃんの近況報告⑧】超音波で見えたものは??2月5日の検査
安佐動物公園のクラウドファンディングに多くのご支援・ご声援をいただきありがとうございました。
クラウドファンディングは1月24日に終了しましたが、ゾウ達の様子やリターンの発送状況につきましては、今後も活動報告にて紹介させていただきます。
2月5日に、メイの超音波検診を行いました。
今回はお腹の中の胎子がよく動いていて、お願い止まってと念じながらの検査でした。
そんな動き回る胎子をなんとか確認していたところ、見ていた職員がお!と声をあげました。
見えたものがこちらです。

写真中央やや右に見える、白い楕円と中の二つの穴。胎子の鼻の断面だと考えています。
サイズは長径が4㎝程度、短径が3㎝程度でした。長い鼻のどの部分かはわかりません。これまでの検診ではじめて、わかりやすい「ゾウらしい形」を捉えることができました。
動き回る胎子の診断は難しかったのですが、へその緒の様子から胎子はちゃんと生きていることが確認できました。
リターンの「赤ちゃんゾウの成長報告」では、もう少し詳しい診察結果や、メイの最近の様子、出産に向けての準備などを紹介させていただく予定です。第1回目の報告まで少し時間をいただきますが、楽しみにお待ちください。
リターン
5,000円+システム利用料

【寄附金控除対象】メイちゃんの出産お祝いコース
●メイちゃんへの出産祝い
いただいたご寄附の額に応じてゾウのメイちゃんに好物のおやつ(リンゴ・スイカ・さとうきび)をプレゼント&食べている様子を動画でご送付します。
※最終的に集まったご支援総額に応じて、おやつの種類及び数を決定します。
※おやつの給餌は、出産後に実施予定です。
※頂いたご支援をもとに、職員がメイちゃんにおやつをあげる内容となります。支援者によるおやつあげ体験等は実施致しませんので予めご了承下さいませ。
●赤ちゃんゾウの成長報告
赤ちゃんゾウの成長過程をメールマガジンでCF終了後から約1年間お届けします。
生まれるまでの経過や生まれた後の様子について配信予定です。
(不定期:2ヶ月に一回、6回以上発行予定)
※万が一、妊娠の中断や個体の死亡等により報告が続けられなくなった場合には、1年間を待たず配信が中止する場合がございます
※配信が中止となった場合でも返金はできませんのでご了承くださいませ
=上記に加え=
●お礼のメール
●寄附金受領証明書
※ 一度に複数口でのご寄附も可能です
- 申込数
- 700
- 在庫数
- 制限なし
- 発送完了予定月
- 2026年3月
5,000円+システム利用料

CF限定!【グッズで応援】ゾウのイラスト・写真入りポストカード
●CF限定!ゾウのポストカード
マルミミゾウ「メイ」と「ダイ」の愛らしい姿を収めたCF限定のポストカードです。
※画像は制作中のイメージです。実際の完成品とは異なる場合がございます。
●赤ちゃんゾウの成長報告
※詳細は「メイちゃんの出産お祝いコース」または「全力応援コース1万円」を参照ください
=上記に加え=
●お礼のメール
※ 一度に複数口でのご支援も可能です
- 申込数
- 145
- 在庫数
- 制限なし
- 発送完了予定月
- 2026年3月
5,000円+システム利用料

【寄附金控除対象】メイちゃんの出産お祝いコース
●メイちゃんへの出産祝い
いただいたご寄附の額に応じてゾウのメイちゃんに好物のおやつ(リンゴ・スイカ・さとうきび)をプレゼント&食べている様子を動画でご送付します。
※最終的に集まったご支援総額に応じて、おやつの種類及び数を決定します。
※おやつの給餌は、出産後に実施予定です。
※頂いたご支援をもとに、職員がメイちゃんにおやつをあげる内容となります。支援者によるおやつあげ体験等は実施致しませんので予めご了承下さいませ。
●赤ちゃんゾウの成長報告
赤ちゃんゾウの成長過程をメールマガジンでCF終了後から約1年間お届けします。
生まれるまでの経過や生まれた後の様子について配信予定です。
(不定期:2ヶ月に一回、6回以上発行予定)
※万が一、妊娠の中断や個体の死亡等により報告が続けられなくなった場合には、1年間を待たず配信が中止する場合がございます
※配信が中止となった場合でも返金はできませんのでご了承くださいませ
=上記に加え=
●お礼のメール
●寄附金受領証明書
※ 一度に複数口でのご寄附も可能です
- 申込数
- 700
- 在庫数
- 制限なし
- 発送完了予定月
- 2026年3月
5,000円+システム利用料

CF限定!【グッズで応援】ゾウのイラスト・写真入りポストカード
●CF限定!ゾウのポストカード
マルミミゾウ「メイ」と「ダイ」の愛らしい姿を収めたCF限定のポストカードです。
※画像は制作中のイメージです。実際の完成品とは異なる場合がございます。
●赤ちゃんゾウの成長報告
※詳細は「メイちゃんの出産お祝いコース」または「全力応援コース1万円」を参照ください
=上記に加え=
●お礼のメール
※ 一度に複数口でのご支援も可能です
- 申込数
- 145
- 在庫数
- 制限なし
- 発送完了予定月
- 2026年3月

ごかつら池どうぶつパーク|命を守り、次世代へ繋ぐ小さな動物園の挑戦
- 現在
- 5,604,000円
- 支援者
- 344人
- 残り
- 36日

アムールトラ「ショウヘイ」に、みんなでつくるおもちゃ箱をプレゼント
#観光
- 現在
- 4,240,000円
- 支援者
- 255人
- 残り
- 71日

JWCサポーター大募集中!傷付いた野生動物を救いたい
- 総計
- 253人

絶滅の危機に瀕しているシマアオジ 彼らのいる景色を取り戻したい
#国際協力
- 現在
- 4,166,400円
- 寄付者
- 343人
- 残り
- 17時間

アルパカ・タックの膝の健康を守る!ときわ動物園の挑戦
- 現在
- 2,121,000円
- 支援者
- 155人
- 残り
- 22日

絶滅危惧種ツシマヤマネコを守るために!月々のご支援で安定的な整備を
- 総計
- 147人

野生に帰れない猛禽類のために|猛禽類医学研究所マンスリーサポーター
- 総計
- 523人

青木村で採集の森を体感する麦酒醸造所のテイスティングルーム完成へ
- 支援総額
- 4,235,000円
- 支援者
- 197人
- 終了日
- 6/6

広島県出身ミヤトのNEWシングル「指切りげんまん」を届けたい!
- 支援総額
- 52,000円
- 支援者
- 7人
- 終了日
- 4/30

ミャンマーNgweSaungにGayの方対象の老後施設を造る
- 支援総額
- 0円
- 支援者
- 0人
- 終了日
- 7/31

世界のみんなとオリジナルかるたを作って、かるた取りをしたい!
- 支援総額
- 526,000円
- 支援者
- 50人
- 終了日
- 12/20

佐賀の伝統工芸×バルーン!豪雨を乗り越え、未来へ繋ぐご支援を
- 支援総額
- 2,065,000円
- 支援者
- 126人
- 終了日
- 10/27










