
支援総額
目標金額 1,650,000円
- 支援者
- 348人
- 募集終了日
- 2024年10月8日
検査結果① “弁”について
いつも温かいご支援や応援、本当にありがとうございます。感謝の気持ちでいっぱいです。
昨日の検査の結果についてです。
いつも病院ではエコー、レントゲン、血液検査を受けます。
昨日は手術の予約をしたこともあり、血液型の判定を受けました。普段の血液検査と血液型はまた別の検査だと聞き驚きました。
今日は心臓の“僧帽弁”についてです。
・まずは手術を済ませてほぼ正常になったワンちゃん心臓のエコーから

緑色の部分が血液の逆流です。
・こちらはももこのエコー

ご覧の通り緑の部分がかなり多いです。
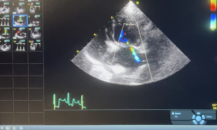
次は"僧帽弁"の画像です。
・昨日のももの僧帽弁です
左の赤丸の部分が"弁"です。正常な心臓はこれがパタパタと開閉しながら血液を送ります。しかし弁がもろくなったりしきちんと閉じなくなると、その隙間から右のように血液が逆流していきます。
この逆流した血液の量が増えると、行き場を失い肺に流れます。肺に流れた血液も増え過ぎると血液中の水分が肺に溢れ出します。その状態がいわゆる肺水腫です。
12歳を過ぎたマルチーズが、僧帽弁閉鎖不全症に限らず循環器系の疾患にかかる確率は50%だそうです。
キャバリア、チワワ、ポメラニアン、シーズーなどもかかりやすいそうです。
リターン
1,000円+システム利用料

ももこのご支援①
ご支援、誠にありがとうございます。
★もも子の写真を添えて感謝のメッセージをメール、もしくはSNSのDMでお送りさせていただきます。
★もも子の近況をInstagramでご報告いたします。
ご支援に見合ったお礼ができず、大変申し訳ありません。
- 申込数
- 125
- 在庫数
- 制限なし
- 発送完了予定月
- 2024年11月
3,000円+システム利用料

ももこご支援②
ご支援、誠にありがとうございます。
★もも子の写真を添えて感謝のメッセージをメール、もしくはSNSのDMでお送りさせていただきます。
★もも子の近況をInstagramでご報告いたします。
ご支援に見合ったお礼ができず、大変申し訳ありません。
- 申込数
- 105
- 在庫数
- 制限なし
- 発送完了予定月
- 2024年11月
1,000円+システム利用料

ももこのご支援①
ご支援、誠にありがとうございます。
★もも子の写真を添えて感謝のメッセージをメール、もしくはSNSのDMでお送りさせていただきます。
★もも子の近況をInstagramでご報告いたします。
ご支援に見合ったお礼ができず、大変申し訳ありません。
- 申込数
- 125
- 在庫数
- 制限なし
- 発送完了予定月
- 2024年11月
3,000円+システム利用料

ももこご支援②
ご支援、誠にありがとうございます。
★もも子の写真を添えて感謝のメッセージをメール、もしくはSNSのDMでお送りさせていただきます。
★もも子の近況をInstagramでご報告いたします。
ご支援に見合ったお礼ができず、大変申し訳ありません。
- 申込数
- 105
- 在庫数
- 制限なし
- 発送完了予定月
- 2024年11月

命の危機が迫っています!僧帽弁閉鎖不全症・三尖弁閉鎖不全症
- 現在
- 736,000円
- 支援者
- 63人
- 残り
- 18日

救う命を選ばない。どんな犬猫も保護し続け福岡の里親さんを増やしたい
#動物
- 現在
- 3,003,000円
- 支援者
- 282人
- 残り
- 1日

絶滅の危機に瀕しているシマアオジ 彼らのいる景色を取り戻したい
#国際協力
- 現在
- 4,166,400円
- 寄付者
- 343人
- 残り
- 18時間

老病ねこたちが最後まで安心して過ごせるおうちを守っていきたい!
- 現在
- 1,893,000円
- 支援者
- 143人
- 残り
- 8日

行き場のない猫たちに幸せな明日を届けたい。保護猫たちの医療費支援を
- 現在
- 1,745,000円
- 支援者
- 133人
- 残り
- 29日

【4歳10ヶ月悪性リンパ腫】愛猫きなこの抗がん剤治療のためのご支援
- 現在
- 179,000円
- 支援者
- 48人
- 残り
- 34日

猫伝染性腹膜炎を患ったポンちゃんの明日をつないで頂けないでしょうか
- 現在
- 151,000円
- 支援者
- 41人
- 残り
- 1日












